仿气腹25孔3单端腔镜训练箱训练用单针/双针带线【出售】-->外科训练模块总目录
「训练教具器械汇总」管理员微信/QQ12087382[问题反馈]
开启左侧

肾盂鳞状细胞癌及经皮肾镜取石术治疗鹿角状结石后形成的经皮肾镜取石通道——手术技巧

[复制链接]
发表于 2025-11-11 21:00:00 | 显示全部楼层 |阅读模式

马上注册,结交更多好友,享用更多功能,让你轻松玩转社区。

您需要 登录 才可以下载或查看,没有账号?注册

×
一位54岁男性患者,既往无其他疾病,因右侧腰痛就诊。非增强CT检查证实其肾盂内有鹿角状结石,未见可疑肿块。随后,患者接受了两次经皮肾镜取石术(PCNL),直至结石完全取出。术后3个月,患者持续出现右侧腰痛和偶发性血尿,遂转诊至院。进一步行增强CT和磁共振成像(MRI)检查,发现右肾内存在一强化病灶,从肾盂延伸至PCNL手术通道,并伴有腔静脉后、主动脉腔静脉和腔静脉前淋巴结肿大(图1-4)。CT引导下穿刺活检证实为高级别鳞状分化癌。血尿素氮为30 mg/dL,肌酐为1.2 mg/dL,钙为9.2 mg/dL,磷酸盐为3 mg/dL。尿细胞学检查发现发育不良细胞,二乙烯三胺五乙酸(DTPA)检查显示患侧肾脏肾小球滤过率降低至20 mL/min,未见其他部位转移。因此,患者接受了根治性肾切除术,同时整块切除了两个经皮肾镜取石术(PCNL)通道、受累皮肤和侧腹肌,并进行了基于模板的腹膜后淋巴结清扫术,随后进行了网片重建。术后恢复顺利。最终的组织病理学检查结果显示,肾脏大小为15 × 8 × 8 cm,输尿管长12 cm,以及两块分别包含下方PCNL通道的皮肤,大小分别为8 × 3.5 × 5 cm和5 × 2.5 × 2 cm。显微镜检查显示肿瘤从肾盂浸润,穿过肾周脂肪组织延伸至经皮肾镜取石术(PCNL)通道直至皮肤,组织学特征提示为2级鳞状细胞癌(SCC)。所有切缘均未见肿瘤残留,也未见淋巴血管或神经周围浸润的证据。此外,29个清扫的淋巴结均未见转移。患者接受了辅助放疗,照射范围包括肿瘤床和腹主动脉旁淋巴结区域,总剂量为50.4 Gy,分28次完成。此外,患者还接受了为期12周的化疗,每周一次,方案为紫杉醇80 mg/m²联合卡铂(AUC 2)。随访2年后,患者仍无复发。

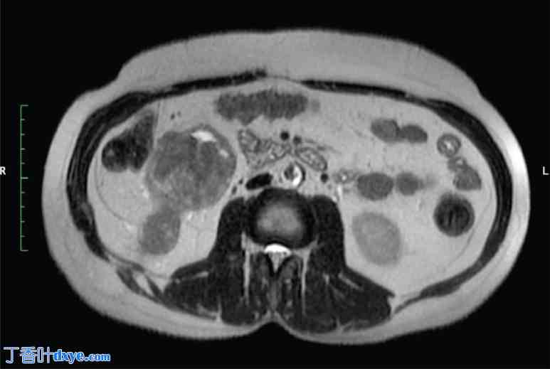
图1. 腹部MRI轴位T2加权像显示右肾下极肿瘤及PCNL通道。
1.jpg

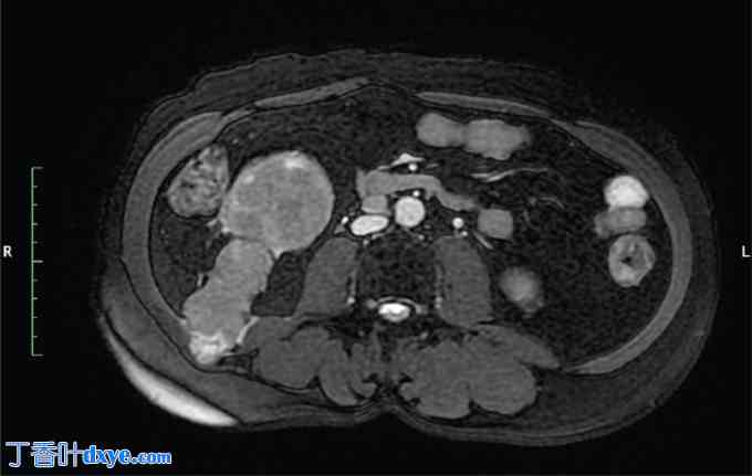
图 2. 腹部 MRI 轴位 T2 脂肪抑制序列图像显示经皮肾镜取石术 (PCNL) 从肾脏下极至腹肌的通道。
2.jpg

图 3. 腹部 MRI 冠状位 T2 图像显示右肾周围的通道。
3.jpg

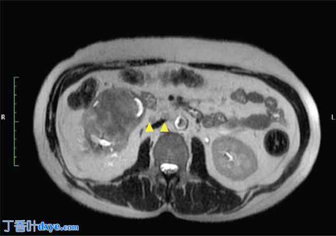
图 4. MRI T2 轴位图像显示右肾门淋巴结(黄色箭头)。
4.jpg

据作者所知,此前仅报道过一例此类病例,即起源于肾盂的鳞状细胞癌扩散至经皮肾镜取石术(PCNL)通道并侵犯皮肤。

手术方法

手术在全身麻醉和硬膜外麻醉下进行。

步骤 1

患者取半俯卧位,标记 PCNL 瘢痕(图 5),并沿边缘切开。通过切除下方的浅层和深层腹肌,将切口加深至腹膜腔。识别并切除两条含有肿瘤的 PCNL 通道(图 6 和图 7)。

图 5. 患者取半俯卧位。可见 PCNL 通道瘢痕。切口以瘢痕为中心,边缘1厘米。
5.jpg

图6. 切除的皮下组织及皮下组织。
6.jpg

图7. 切除的皮下组织及下方的腹壁肌肉。
7.jpg

步骤2

切除包含皮肤及斜行经皮肾镜取石术(PCNL)皮下组织的标本,并用足够的软组织覆盖周围组织,将其推入腹腔,以防止组织溢出(图8)。

图8. 完全切除的皮下组织及边缘组织和腹壁肌肉推入腹腔。
8.jpg

步骤3

对缺损处和皮肤进行网片修补,以便分层缝合(图9和图10)。

图9. 聚丙烯网片修补腹壁缺损。图 9.
9.jpg

图 10. 显示皮肤缝合后的切除部位。
10.jpg

步骤 4

患者被翻转至仰卧位。行腹部正中切口进入腹膜腔。行根治性肾切除术,并完整切除瘘管(图 11)。

图 11. 右侧根治性肾输尿管切除术后的手术视野,基于模板的腹膜后淋巴结清扫术。后方可见瘘管切除区域。
11.jpg

步骤 5

行基于解剖模板的腹膜后淋巴结清扫术,包括肾门淋巴结、腔静脉前淋巴结、腔静脉后淋巴结和主动脉腔静脉间淋巴结(图 11)。图 12 展示了右侧根治性肾切除标本以及切除的经皮肾镜取石术 (PCNL) 通道肿块。

图 12. 包含根治性肾输尿管切除标本以及 PCNL 通道肿块切除物。
12.jpg
您需要登录后才可以回帖 登录 | 注册

本版积分规则

丁香叶与你快乐分享

微信公众号

管理员微信

服务时间:8:30-21:30

站长微信/QQ

← 微信/微信群

← QQ

Copyright © 2013-2026 丁香叶 Powered by dxye.com  手机版 
快速回复 返回列表 返回顶部