仿气腹25孔3单端腔镜训练箱训练用单针/双针带线【出售】-->外科训练模块总目录
「训练教具器械汇总」管理员微信/QQ12087382[问题反馈]
开启左侧

妊娠期子宫肌瘤退行性变破裂入腹腔:病例报告及文献综述

[复制链接]
发表于 3 小时前 | 显示全部楼层 |阅读模式

马上注册,结交更多好友,享用更多功能,让你轻松玩转社区。

您需要 登录 才可以下载或查看,没有账号?注册

×
一位38岁女性,孕1产1,妊娠38周时因急性剧烈盆腔疼痛入院。她既往无重大病史,此前妊娠过程顺利。无发热或其他伴随症状。患者临床情况稳定,生命体征正常。体格检查发现其右上腹压痛,未触及肿块或阴道出血。子宫柔软,无收缩,胎心率正常。血液检查结果无异常。

除超声检查显示FIGO 6级浆膜下肌瘤外,当时未进行其他影像学检查。由于无妊娠并发症,作者决定采取保守治疗。

妊娠39周时,患者临产。出现急性胎儿窘迫,遂行紧急剖宫产。

剖宫产术中发现子宫底肌层存在非典型肿块(图1)。由于该肿块具有非典型特征,故未行肌瘤切除术。术后超声检查显示子宫底肌瘤呈异质性,边界不规则,同时左侧髂窝壁下区可见回声相似的腹膜肿块(图2)。

图1.
1.jpg

术中可见非典型子宫肿块(白色箭头),伴有从肿块延伸出的瓣膜(黑色箭头)。

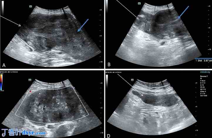
图2.
2.jpg

超声图像。(A) 巨大的浆膜下平滑肌瘤(白色箭头)推移子宫(蓝色箭头)。该肌瘤与子宫底壁无法分离。 (B)浆膜下平滑肌瘤穿孔(蓝色箭头),形成4厘米的缺损,坏死物质流入腹腔(白色箭头)。(C)浆膜下肌瘤内部无血流信号,提示肉样变性。(D)腹腔内可见坏死物质(箭头)。

术后第4天进行的MRI检查证实存在侧蒂浆膜下子宫底肌瘤,符合FIGO 6型。该肌瘤在T2加权像上呈异质性信号,在T1加权像上呈高信号,符合出血表现。肿块内未见对比增强。这些表现符合肌瘤的红色变性。

此外,肌瘤左侧表面可见4厘米的缺损,腹腔内可见异质性肌瘤碎片(图3)。

图 3.
3.jpg

MRI 图像。(A) 冠状位 T2 加权像显示腹膜下肌瘤(粗箭头),其上有一个 4 cm 的穿孔,异质性坏死组织(细箭头)渗漏至腹腔。(B) 轴位 T2 加权像显示浆膜下梗死性平滑肌瘤(粗箭头),异质性坏死组织从其左上缘发出(细箭头)。(C) 轴位 T1 加权像(脂肪抑制和对比剂增强)显示肌瘤无强化(粗箭头),提示红色变性,同时可见组织从穿孔处渗出(小箭头)。 (D)轴位脂肪抑制T1加权像显示肌瘤(粗箭头)弥漫性高至中高信号强度,其左上缘可见散在组织(细箭头),提示红色变性。(E)轴位T1加权像显示梗死肌瘤(箭头)弥漫性高至中高信号强度。
您需要登录后才可以回帖 登录 | 注册

本版积分规则

丁香叶与你快乐分享

微信公众号

管理员微信

服务时间:8:30-21:30

站长微信/QQ

← 微信/微信群

← QQ

Copyright © 2013-2025 丁香叶 Powered by dxye.com  手机版 
快速回复 返回列表 返回顶部