仿气腹25孔3单端腔镜训练箱训练用单针/双针带线【出售】-->外科训练模块总目录
「训练教具器械汇总」管理员微信/QQ12087382[问题反馈]
开启左侧

病例报告:宫腔镜子宫粘膜下子宫肌瘤切除术后播散性平滑肌瘤病的隐患

[复制链接]
发表于 3 小时前 | 显示全部楼层 |阅读模式

马上注册,结交更多好友,享用更多功能,让你轻松玩转社区。

您需要 登录 才可以下载或查看,没有账号?注册

×
一位35岁的东南亚女性,因严重月经过多经医生转诊至本院,诊断为多发性黏膜下和肌壁间子宫肌瘤,并导致慢性贫血。来院前,患者曾接受激素避孕药等保守治疗,但症状未得到缓解。患者无家族史,不吸烟、不饮酒,且既往未接受过手术。体格检查显示子宫增大。在接受促性腺激素释放激素激动剂戈塞林(Goserilin)3个月的药物治疗后,患者选择接受宫腔镜子宫肌瘤切除术。术前磁共振成像 (MRI) 显示患者有多发性黏膜下子宫肌瘤(图1)。

图 1.
1.jpg
轴向盆腔 MRI 扫描显示两个黏膜下肌瘤(标有星号),导致子宫内膜变形(箭头所示)。

患者在全身麻醉下接受宫腔镜检查。发现八个黏膜下肌瘤,大小从 2 到 4 厘米不等,位于子宫前壁、后壁和侧壁。宫颈管外观正常。使用 Myosure XL 刮除器(Hologic Inc.,美国马萨诸塞州马尔伯勒)完整切除七个肌瘤,并使用 Gynecare 双极电切镜(Ethicon Inc.,美国新泽西州萨默维尔)切除一个深部 FIGO 1 型肌瘤(图 2)。

图 2.
2.jpg
宫腔镜视图显示四个带星号的黏膜下子宫肌瘤。

腹腔镜探查时,发现子宫体积增大,内有多个子宫肌瘤。前壁子宫肌瘤包括一个 4 x 4 厘米的壁内 FIGO 3 型子宫肌瘤和一个 3 x 2 厘米的 5 型子宫肌瘤,位于左侧输卵管附近。此外,在子宫前后壁上均发现多个小的幼苗状病变。这些病变与可能在先前宫腔镜子宫肌瘤切除术后出现的寄生性子宫肌瘤相符。对这些病变进行了活检,然后切除并电灼治疗。组织病理学证实这些病变为良性平滑肌瘤(寄生性子宫肌瘤)(图 3、图 4)。

图 3.
3.jpg
腹腔镜子宫图像显示子宫表面多发性播散性平滑肌瘤病或寄生性子宫肌瘤,箭头所示。

图 4.
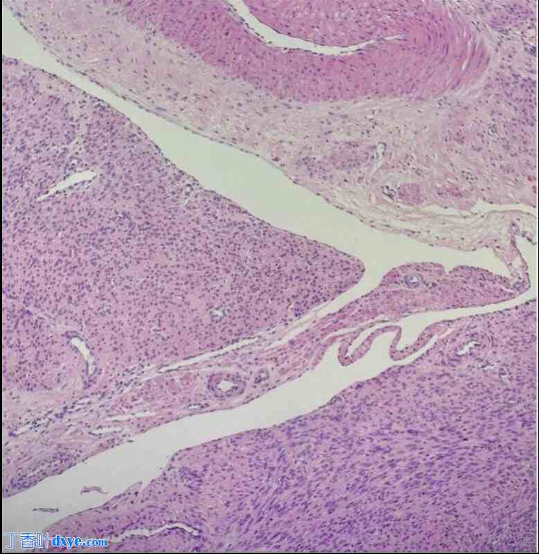
4.jpg
寄生性子宫肌瘤的组织病理学切片显示子宫平滑肌瘤的特征性特征,无异形性或明显的有丝分裂活动。

术后,患者月经周期恢复正常,出血量显著减少。术后八个月,患者通过体外受精成功受孕。由于既往有子宫肌瘤切除术史,患者在妊娠38+4周时接受了选择性下段剖宫产(LSCS)。患者产下一名体重2.9公斤的健康女婴。此时子宫表面外观正常,未发现子宫肌瘤(图 5)。

图 5
5.jpg
剖宫产术中子宫视图,显示子宫表面未见播散性平滑肌瘤病或寄生性子宫肌瘤。
您需要登录后才可以回帖 登录 | 注册

本版积分规则

丁香叶与你快乐分享

微信公众号

管理员微信

服务时间:8:30-21:30

站长微信/QQ

← 微信/微信群

← QQ

Copyright © 2013-2025 丁香叶 Powered by dxye.com  手机版 
快速回复 返回列表 返回顶部