仿气腹25孔3单端腔镜训练箱训练用单针/双针带线【出售】-->外科训练模块总目录
「训练教具器械汇总」管理员微信/QQ12087382[问题反馈]
开启左侧

儿童肾盏憩室结石:经皮肾镜取石术诊断与治疗“病例报告”

[复制链接]
发表于 2025-10-18 15:00:02 | 显示全部楼层 |阅读模式

马上注册,结交更多好友,享用更多功能,让你轻松玩转社区。

您需要 登录 才可以下载或查看,没有账号?注册

×
一名非肥胖的 15 岁印度女孩到作者的泌尿外科门诊就诊,主诉为间歇性右侧腰痛,最近一次发作发生在入院前两个月。她没有其他症状。她没有血尿、排尿困难和尿路感染病史。右侧腰痛首次发作发生在 8 年前(7 岁);她接受了替代药物治疗,疼痛得到暂时缓解。她的家族史中没有肾囊性疾病、家族性综合征或已知的泌尿生殖系统异常。她的体格检查正常,没有腹部肿块或压痛。尿液检查和生化检查均正常。超声检查(图 1)显示右肾中盏扩张,与肾门处有狭窄的交通,并有类似的囊肿。它们合计大小为 2.8 × 1.6 厘米。在扩张的肾盏中可见一颗 5 毫米的结石。为了进一步评估,作者进行了增强计算机断层尿路造影 (CTU) 和锝-99m 二乙烯三胺五乙酸 (Tc-99m DTPA) 利尿扫描。CTU 显示右肾中极两个中盏/CD 局部扩张,共计 3.2 × 1.7 厘米,中盏内有一小块沉着结石,大小为 4 × 2 毫米(图 2)。Tc-99m DTPA 利尿扫描显示肾功能良好,左肾功能 51%,右肾功能 49%。首先进行了保守治疗,以观察其自然进展情况,以防病情好转。经过 18 个月的观察,患者仍然反复出现腰痛。增强磁共振尿路造影 (MRU) 证实右肾后极间区可见双叶囊性病变,内侧尺寸为 2× 1.5 厘米,外侧尺寸为 2× 1.3 厘米(图 3)。外侧囊肿显示沉着的碎片/结石,尺寸为 14×6 毫米。因此,CD(1.4 厘米 - 2 厘米)和结石(5 毫米 - 14 毫米)的尺寸均增大。因此需要进行手术干预。患者接受了内镜经皮肾镜取石术 (PCNL)(图 4)。首先将患者置于截石位。进行膀胱镜检查,插入右输尿管插管并放置 6Fr 输尿管导管。放置 14Fr 导尿管。然后让患者转为俯卧位。穿刺右侧 CD,并将管道扩张至 16Fr。置入15Fr Amplatz鞘管。进行肾镜检查并取出结石(图5)。使用球囊扩张器扩张憩室开口,可容纳12Fr 5/24 Fr的内镜。置入双J管支架。手术顺利。JJ支架置入6周。术后4个月随访时未见腰痛或其他异常。术后将进行长期严格随访,以确保肾盏漏斗部扩张持久。

图1.
1.jpg
超声检查显示右肾中盏(箭头所示)内有结石(十字交叉状),该结石扩张,并有狭窄通道,与肾门处类似囊肿。

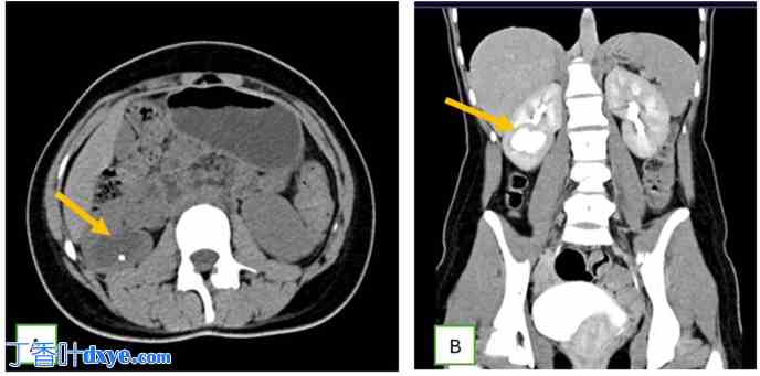
图 2.
2.jpg
(A) 横断面 CTU 扫描显示胆总管内有一小块下垂性结石(箭头)。(B) 冠状位增强 CTU 扫描显示胆盏中部有一处胆总管。

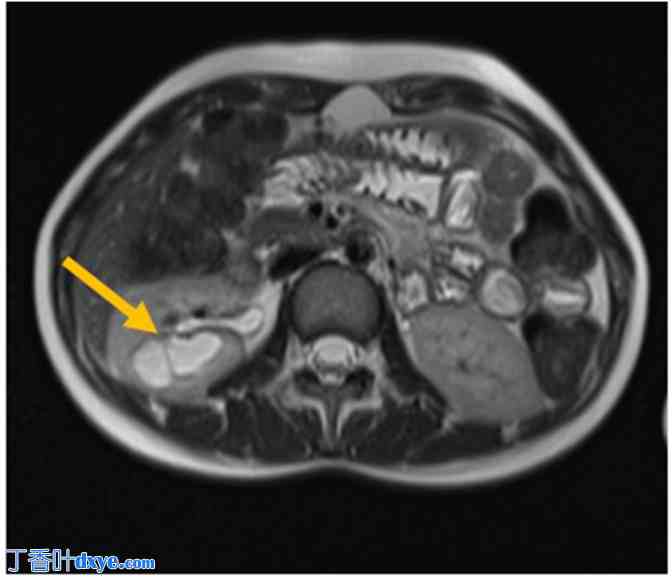
图 3.
3.jpg
注射造影剂后的横断面 MRU 图像显示双叶囊性病变已完全充盈(箭头)。

图 4.
4.jpg
经皮肾镜取石术 (A) 右侧胆总管穿刺 (B) 右侧胆总管肾镜检查。

图 5.
5.jpg
肾盏憩室结石外观。
您需要登录后才可以回帖 登录 | 注册

本版积分规则

丁香叶与你快乐分享

微信公众号

管理员微信

服务时间:8:30-21:30

站长微信/QQ

← 微信/微信群

← QQ

Copyright © 2013-2025 丁香叶 Powered by dxye.com  手机版 
快速回复 返回列表 返回顶部