仿气腹25孔3单端腔镜训练箱训练用单针/双针带线【出售】-->外科训练模块总目录
「训练教具器械汇总」管理员微信/QQ12087382[问题反馈]
开启左侧

丢失的胆结石:胆囊切除术后胸腔镜取出残留胆结石

[复制链接]
发表于 2025-10-18 16:00:01 | 显示全部楼层 |阅读模式

马上注册,结交更多好友,享用更多功能,让你轻松玩转社区。

您需要 登录 才可以下载或查看,没有账号?注册

×
患者为80岁男性,既往有心房颤动病史,正在服用艾乐妥(Eliquis),并有40包年的吸烟史,因鼻出血和咯血到急诊科(ED)就诊。患者最初于前一天因相同症状到急诊科就诊,但经过一段时间的临床改善、血液检查正常以及胸片检查未发现异常后,被认为可以安全出院回家。出院后,患者主诉咯血加重,并伴有镍币大小的血块。在此之前,患者在就诊前3周一直感到疲劳、湿咳并伴有白色痰液。患者否认发烧或发冷、头晕或头重脚轻。患者无体重减轻、盗汗或便血。复查胸片显示右叶有条纹状实变,提示肺不张。

除上述疾病外,患者既往病史还包括高血压、高脂血症、一个4.5厘米的胸主动脉瘤(正在监测中)以及胰岛素依赖型糖尿病。一年前,患者曾发生心源性栓塞事件,导致左下肢缺血。由于血管造影发现一个3.8厘米的腘窝动脉瘤,患者需要接受开放性股动脉栓塞切除术,并在膝上腘窝动脉植入支架。除服用艾乐妥(Eliquis)外,患者还服用81毫克的阿司匹林(Aspiring)作为抗血栓药物。患者依靠助行器行走,但在基线时功能独立。

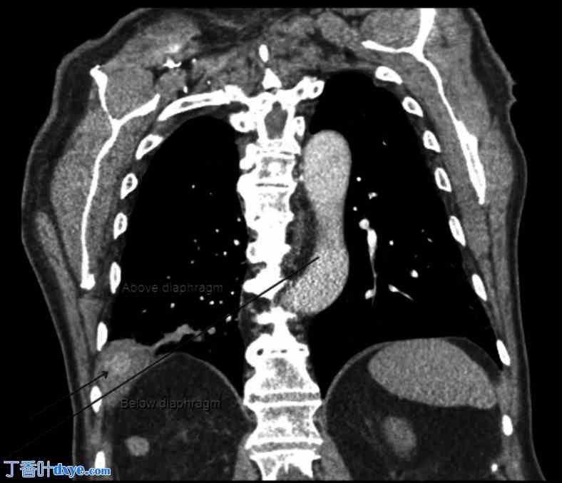
患者入院时血流动力学稳定。全血细胞计数未见白细胞增多,白细胞计数为1.02万/μL(4-1.1万/μL)。血红蛋白和血细胞比容与前一天相比保持稳定,分别为13.5 g/dL(13-17.7 g/dL)和41.9%。检查时,患者维持……。胸部增强CT扫描显示,腹部内有一复杂肿块,位于肝脏VII段附近,可能通过右半膈肌侵蚀至胸腔(图1)。右下肺叶邻近致密实变,累及外侧和后基底节段,肺动脉相应分支闭塞,中心有一2厘米高密度影。此外,还观察到一个大的右肺门淋巴结,被描述为恶性或反应性。

图1.
1.jpg
胸部CT扫描显示病变如黑色箭头所示,长线切开膈肌平面。

由于右侧胸部肿块病因不明,急诊科安排了多个医疗机构对该患者进行评估。最初,介入放射科被安排评估影像引导下活检的可能性,但最终放弃了这一计划。随后,胸外科普外科也进行了会诊。进一步询问后,医生确认患者近5个月前曾接受过一次颇具挑战性的腹腔镜胆囊切除术,术中胆囊破裂并回缩,由于技术上解剖学上的挑战,手术最终改为开放手术。这促使医生假设肿块是残留的胆结石,已侵蚀穿过横膈膜进入右侧胸腔。鉴于患者血流动力学稳定且无气道损害,医生将其收入重症监护病房并给予支持治疗。为防止出血,医生停用了艾乐妥(Eliquis)。患者的咳嗽和咯血症状有所改善,转至平卧位。

入院一周后,患者接受了胸腔镜下残留结石取出术。术中发现右下肺叶基底面与膈肌粘连。将粘连处切开,露出一个充满脓液的空腔,内含一颗绿褐色结石(图 2A、2B 和 2C)。术中发现穿过膈肌的通道被隔开,位于右下肺叶下方。在基底面放置一根 19 英寸的 French Blake 引流管,并置入一根后尖胸管。大体病理学检查证实为一颗 2.2 × 1.5 × 1.5 厘米的卵形胆结石(图 2D)。

图 2.
2.jpg
(A) 胆结石空腔初诊。(B) 疑似残留胆结石的空腔解剖图。 (C)进一步解剖胆结石腔。(D)取出胆结石。
您需要登录后才可以回帖 登录 | 注册

本版积分规则

丁香叶与你快乐分享

微信公众号

管理员微信

服务时间:8:30-21:30

站长微信/QQ

← 微信/微信群

← QQ

Copyright © 2013-2025 丁香叶 Powered by dxye.com  手机版 
快速回复 返回列表 返回顶部