仿气腹25孔3单端腔镜训练箱训练用单针/双针带线【出售】-->外科训练模块总目录
「训练教具器械汇总」管理员微信/QQ12087382[问题反馈]
开启左侧

腹腔镜胆囊切除术联合胆总管探查治疗胆总管完全反位患者胆总管结石 - 病例报告及文献

[复制链接]
发表于 昨天 12:16 | 显示全部楼层 |阅读模式

马上注册,结交更多好友,享用更多功能,让你轻松玩转社区。

您需要 登录 才可以下载或查看,没有账号?注册

×
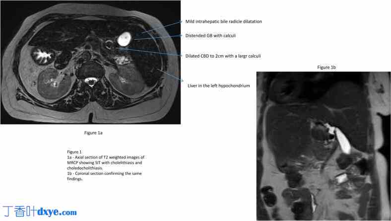
腹部超声显示左季肋部和上腹部肝脏回声正常,无局灶性病变,胆囊结石 1 cm,壁厚正常,超声墨菲征阳性。由于肠道气体过多,胆总管无法显影。MRCP 显示内脏反位特征,胆囊扩张,1.5 cm 大结石,胆总管扩张 2 cm,胆总管中部结石 1.8 cm,肝内胆管根扩张(图 1)。她最终被诊断为完全内脏反位、胆囊结石和胆总管结石,并伴有胆管炎阻塞性黄疸。鉴于胆管炎,她接受了肠外抗生素治疗,并计划进行 ERC、取石和胆道支架置入术。然而,由于十二指肠解剖结构改变和操作困难,她曾两次尝试ERC,均失败。随后,她被转诊至作者的外科胃肠病学团队,并决定进行手术干预。

图1
1.jpg
MRCP轴向和冠状切面显示胆结石和胆总管结石的内脏反位。

在全身麻醉下,如图2所示放置端口。采用开放式技术在脐下插入12毫米端口,用二氧化碳建立气腹,并引入3D腹腔镜。在直视下​​放置左腰5毫米端口、右直肠旁12毫米端口和5毫米上腹部端口。将胆囊向上和向侧方牵拉。粘连被松解。分离后腹膜层和前腹膜层,识别并结扎胆囊动脉。在胆囊管插入处下方 1 cm 处打开 CBD。取出两块 1 cm 的大结石,并进行彻底的生理盐水冲洗。将胆道镜插入 CBD,确认结石清除。胆囊管短而扩张。在漏斗部分离胆囊管,用带倒钩的可吸收缝合线(3-0)缝合关闭。用 PDS 3-0 缝线间歇修复 CBD。将胆囊从肝床解剖出来,并通过脐带孔放入取石袋中,连同 CBD 结石一起送出。在肝下间隙放置一根 16 French 负压引流管(图 3)。术后第一天 (POD) 开始口服,同一天进一步增加到软食。她的引流量保持在20-30毫升/天左右(浆液性),因此决定保留引流管。出院时的血液检查结果如表1所示。她的端口部位保持健康,出院时情况稳定,引流管仍在原位。1周后进一步随访,引流量减少至10毫升/天,最终拔除引流管。胆囊组织病理学检查显示慢性胆囊炎伴胆石症的特征。

图2
2.jpg
端口放置示意图。

图3
3.jpg
手术过程中的发现。
您需要登录后才可以回帖 登录 | 注册

本版积分规则

丁香叶与你快乐分享

微信公众号

管理员微信

服务时间:8:30-21:30

站长微信/QQ

← 微信/微信群

← QQ

Copyright © 2013-2025 丁香叶 Powered by dxye.com  手机版 
快速回复 返回列表 返回顶部