仿气腹25孔3单端腔镜训练箱训练用单针/双针带线【出售】-->外科训练模块总目录
「训练教具器械汇总」管理员微信/QQ12087382[问题反馈]
开启左侧

肝右叶发育不全和坏疽性胆囊炎:外科意义及病例报告

[复制链接]
发表于 4 小时前 | 显示全部楼层 |阅读模式

马上注册,结交更多好友,享用更多功能,让你轻松玩转社区。

您需要 登录 才可以下载或查看,没有账号?注册

×
一名70岁男性,因前一天晚上突发剧烈上腹部疼痛,到急诊科就诊。患者已知患有甲状腺功能减退症,正在接受口服药物治疗,无其他相关内科或外科病史。疼痛自发病以来持续存在,呈锐痛,无放射性,镇痛药后略有缓解,且在进食高脂膳食后开始。检查时,患者感到不适,但生命体征稳定,无苍白或黄疸。腹部柔软松弛,上腹部压痛。墨菲征阴性,无脏器肿大。

实验室检查结果正常,包括全血细胞计数和肝功能检查。白细胞计数为 10.64 K/mm3(正常值为 3.9–9.8 K/mm3),血红蛋白为 16.3 g/dL(正常值为 13.5–17.6 g/dL),血小板计数为 233 K/mm3(正常值为 131–362 K/mm3)。

其他检查结果包括:总胆红素 1 mg/dL(正常值 0.3–1.4 mg/dL),直接胆红素 0.25 mg/dL(正常值 0–0.5 mg/dL),天冬氨酸氨基转移酶 21 U/L(正常值 10–35 U/L),丙氨酸氨基转移酶 22 U/L(正常值 5–35 U/L),γ-谷氨酰转移酶 45 U/L(正常值 12–64 U/L),碱性磷酸酶 97 U/L(正常值 40–150 U/L)。

腹部超声检查显示胆囊淤泥和多发性胆结石,其中一枚胆结石嵌顿于胆囊颈部。胆囊轻微扩张,壁轻微增厚,胆囊周围积液边缘薄,所有特征均提示急性胆囊炎。然而,胆囊并未处于其正常的解剖位置,因为它在右上腹的位置更靠外侧,几乎与腋前线齐平。

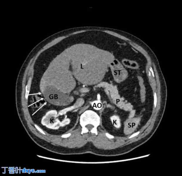
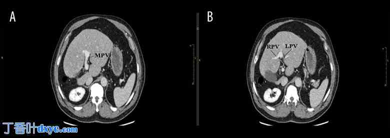
为排除任何异常,患者进行了腹部静脉造影CT检查。CT显示胆囊位于肝脏右背侧,胆囊颈部嵌顿有结石(图1)。肝右叶严重发育不全,左叶代偿性肥大。动脉视图可见肝右动脉起源于肝门,向下延伸,末端闭锁,可能通向萎缩的肝右叶(图2)。静脉视图可见肝右静脉(图3)。

图 1.
1.jpg
增强 CT 显示胆囊位置异常和肝右叶发育不良。AO – 主动脉;GB – 胆囊;K – 肾脏;Sp – 脾脏;St – 胃;L – 肝脏。箭头指示胆囊位于肝脏背侧。

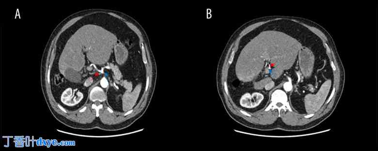
图 2.
2.jpg
增强 CT,动脉期。(A) 箭头指示腹腔干的主要分支:肝总动脉(红色箭头)和脾动脉(蓝色箭头);(B) 箭头指示肝总动脉的分支:肝左动脉(红色箭头)和肝右动脉(蓝色箭头)。

图 3.
3.jpg
增强 CT,静脉期。(A) 门静脉主干 (MPV); (B)左门静脉 (LPV) 和右门静脉 (RPV)。

患者被诊断为急性胆囊炎,入院并安排接受腹腔镜胆囊切除术。术中,患者被置于常规推荐的反头低脚高体位,略向左倾斜。所有端口均按常规方式插入:1 个位于脐上,1 个位于上腹部,2 个位于右上腹。胆囊严重炎症坏死,出现坏疽性胆囊炎征象,胆囊与大网膜和小肠粘连;胆囊右叶未见显影,胆囊位于 IV 段侧床(图 4)。腹腔镜粘连松解术采用锐器和钝器分离,借助能量装置,方便在腹腔镜下完成手术,避免中转开腹手术。术中,由于粘连紧密,解剖识别颇具挑战性。因此,采用逆向底面入路,向下解剖至Calot三角水平,以安全地识别胆道结构。清晰勾画出解剖结构后,识别、夹闭并解剖胆囊管和胆囊动脉。小心地将胆囊从肝床刮除并切除。标本送去进行组织病理学检查。术中及术后均保持止血。无术中及术后并发症。患者次日恢复良好,出院回家。一周后患者来院复诊,恢复良好,除切口处轻微疼痛外,无其他不适。随访实验室检查结果正常。

图4
4.jpg
腹腔镜视图 (A, B)。肝右叶发育不全,胆囊位置明显错位,位于背侧。
您需要登录后才可以回帖 登录 | 注册

本版积分规则

丁香叶与你快乐分享

微信公众号

管理员微信

服务时间:8:30-21:30

站长微信/QQ

← 微信/微信群

← QQ

Copyright © 2013-2025 丁香叶 Powered by dxye.com  手机版 
快速回复 返回列表 返回顶部