仿气腹25孔3单端腔镜训练箱训练用单针/双针带线【出售】-->外科训练模块总目录
「训练教具器械汇总」管理员微信/QQ12087382[问题反馈]
开启左侧

Mustardé 面颊旋转推进皮瓣:鳞状细胞癌导致下眼睑大面积缺损的病例重建经验

[复制链接]
发表于 2025-10-26 16:00:02 | 显示全部楼层 |阅读模式

马上注册,结交更多好友,享用更多功能,让你轻松玩转社区。

您需要 登录 才可以下载或查看,没有账号?注册

×
一位93岁的女性患者就诊,诉其右下眼睑肿瘤近10年呈扩张性生长,无疼痛症状,3个月前发现病灶加速生长。检查发现右下眼睑有一直径4厘米的溃疡性病灶,并延伸至颧骨区域(图1A、B)。在仔细考虑了各种重建方法后,作者选择采用Mohs显微手术切除肿瘤病灶,并采用Mustarde颊部旋转推进皮瓣缝合剩余缺损。患者15年前曾患缺血性卒中,并有NYHA心功能分级II级心力衰竭病史,目前已接受药物治疗。在评估麻醉风险并停用口服抗凝剂治疗后,患者被认为适合择期手术。术前行CT扫描以评估周围组织的受累情况(图2A、B)。

图 1.
1.jpg
(A,B) 一位 93 岁女性,右下眼睑溃疡性病变,病史 10 年,病变不断扩大,影响视力,并伴有结膜充血和眼睑扭曲。

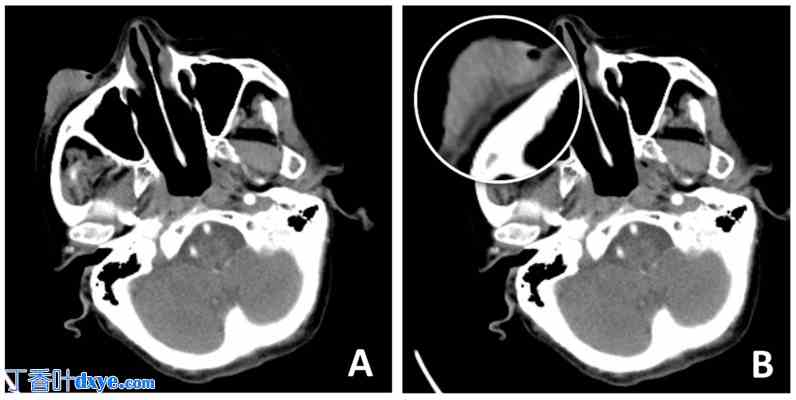
图 2.
2.jpg
(A,B) CT 扫描显示肿瘤侵袭软组织,直至前眼睑板层,可能已侵袭眶隔。(B) 下层骨组织看似完整。病变以扩张性而非浸润性为主。

莫氏显微手术是首选方法,以确保清晰的边缘安全性和组织学验证,并尽可能多地保留未受累组织,尤其是在下眼睑这样容易出现严重并发症的脆弱部位。

在标记病变边界并留出 4 毫米安全范围、保留眼睑边缘和规划 Mustarde 皮瓣(图 3A、B)后,将肿瘤与前层一起切除,并进行相应标记以进行冰冻切片分析。分析报告鳞状细胞癌,切缘清晰,然后作者继续进行切口并进行皮瓣提升。作者的切口是连续的,从缺损开始的眼睑边缘下方开始。切口延伸到外眦以外,并向上到达颞区。然后,作者继续到耳前皱襞到小叶边缘,终点在乳突区域。作者在皮下层下方、SMAS 层上方进行皮瓣提升和破坏,以保持皮瓣的充足血液供应和活动性,避免损伤面神经分支(图 4B)。

图 3.
3.jpg
(A) 切除标记,安全范围为 4 毫米。这是一个关键区域,莫氏手术可以节省组织。(B) Mustarde 颊部旋转推进皮瓣的标记。

图 4.
4.jpg
(A) 切除肿瘤,包括整个前层和部分眶隔。保留了眼睑边缘。可以观察到脂肪垫下方的区域。(B) 将位于 SMAS 层正上方的深层皮下层颊部皮瓣提起,并小心保留面神经分支。

然后旋转并推进皮瓣以覆盖缺损。在眶外缘和内缘的骨膜上缝合锚定缝线,以固定皮瓣位置并最大程度地降低回缩和眼睑外翻的风险(图 5A)。眼睑边缘以下未观察到张力。伤口用 5/0 莫诺克林缝合(图 5B)。

图 5.
5.jpg
(A) 将皮瓣锚定于眶缘的外侧和内侧,并在无张力的情况下缝合皮瓣。(B) 显示眼睑边缘下方多余的皮肤,作者利用这些皮肤来尽量减少未来可能发生的并发症,例如眼睑外翻。术后立即涂抹眼膏并敷上巴克泰斯敷料。

第二天,作者观察到患侧面部轻微肿胀,颞区皮瓣最高点轻微张力。无感染或出血发生。术后护理包括每日在眼部滴入抗生素眼药水和眼膏,并用石油基纱布覆盖皮瓣。抗生素预防包括两次静脉注射 1 g 头孢噻肟。拆线后,在外眦区域放置免缝胶带,继续支撑四周。此外,术后晚期及术后六周,作者观察到患者完全康复,外眦区域症状改善,术后效果良好。患者拒绝接受任何进一步的调整(图6和图7)。

图6
6.jpg
(A,B) 术后第14天拆线。由于暂时性缺血,出现轻微肿胀和轻微的浅表皮瓣表皮松解。

图7
7.jpg
(A–C) 术后六周,皮瓣完全愈合,无血管损伤。作者还可以评估沿眼睑边缘和与鼻唇沟平行的不明显疤痕。患者报告外观满意。
您需要登录后才可以回帖 登录 | 注册

本版积分规则

丁香叶与你快乐分享

微信公众号

管理员微信

服务时间:8:30-21:30

站长微信/QQ

← 微信/微信群

← QQ

Copyright © 2013-2026 丁香叶 Powered by dxye.com  手机版 
快速回复 返回列表 返回顶部