仿气腹25孔3单端腔镜训练箱训练用单针/双针带线【出售】-->外科训练模块总目录
「训练教具器械汇总」管理员微信/QQ12087382[问题反馈]
开启左侧

超越手术刀:整合近红外荧光成像技术进行复杂臀肌肿瘤切除和重建

[复制链接]
发表于 2025-10-25 16:00:03 | 显示全部楼层 |阅读模式

马上注册,结交更多好友,享用更多功能,让你轻松玩转社区。

您需要 登录 才可以下载或查看,没有账号?注册

×
该病例为一名 51 岁女性患者,既往有高血压、肥胖、2 型糖尿病病史,本次咨询前七年曾接受 Roux-en-Y 胃绕道手术。患者就诊时右臀部肿块逐渐增大已有三年,但无明显症状(图 1)。最初在外部医疗机构被误诊为脓肿并进行了经皮引流,体格检查发现一个坚硬、红斑、外生肿块,周长约 10 厘米,有脓性分泌物,固定在其下的深层组织(图 2)。可触及的右下臀部淋巴结肿大引起对区域转移性疾病的怀疑。进行了磁共振成像 (MRI) 以评估局部侵犯和肿块范围。臀部病变的初步活检以及腹股沟淋巴结细针抽吸显示恶性上皮细胞。组织病理学评估证实为恶性软骨样汗管瘤(混合性皮肤附件肿瘤),其特征为汗腺分化和软骨样基质(图3)。静脉造影CT分期排除远处转移。患者随后接受了臀肌肿瘤根治性广泛切除术,伴同侧腹股沟淋巴结肿大,并进行滑瓣重建。患者在手术前已提供口头和书面同意。

图1. 臀肌大肿块MRI扫描。
1.jpg
MRI显示臀肌大肿块

MRI:磁共振成像

图2. 根治性切除术前的右侧臀肌病变。
2.jpg
外生肿块周长约10厘米,伴有脓性分泌物。

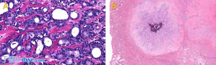
图3. 肿瘤组织病理学。
3.jpg
恶性软骨样汗管瘤,伴有上皮性肿瘤岛、软骨样混合区以及带有隔间状导管的上皮索。A,放大 40 倍;B,放大 400 倍

图 4. 根治性切除与重建。
4.jpg
左图 (A-B):右侧臀肌软骨样汗管瘤的游离缘根治性切除。右图 (C-D):肿瘤切除后大型软组织缺损的推进皮瓣重建

软骨样汗管瘤:恶性软骨样汗管瘤

采用 20 cm 内旋筋膜推进皮瓣重建软组织缺损。皮瓣在最小张力下插入,并进行细致的多层缝合以保持轮廓并最大程度地减少死腔(图 4)。术中皮瓣活力评估采用近红外荧光血管造影,在外周注射3毫升(7.5毫克)ICG后进行。成像采用IC-Flow 2™平台进行(图5),在臀肌重建过程中,ICG注射后30-60秒内完成血管造影(视频1)。

图5. IC-Flow 2™设备。
5.jpg
用于吲哚菁绿近红外成像的IC-Flow 2™设备。(A和C)屏幕显示和手持设备。(B)近红外手持设备

视频1. 荧光血管造影。
下载视频文件(3.8MB,mp4)

右侧臀肌重建术中推进皮瓣的术中评估。皮瓣在造影模式下可视化,白光突出显示插入皮瓣的灌注和整体活力。

动态灌注可视化显示,皮瓣的皮肤和真皮下血管丛中立即出现均匀明亮的荧光,证实了良好的灌注和活力。未发现低灌注区域。虽然信号强度降低可能提示血管分布受损,从而指导手术操作的调整,但在本例中无需进行任何调整。检查手术部位出血情况,以确保完全止血,并在深部伤口床放置封闭式负压引流管。患者对手术耐受良好,术后第3天出院,早期随访中未发现伤口并发症或皮瓣受损的迹象(图6)。

图6. 右侧臀肌重建术后。
6.jpg
恶性软骨样汗管瘤切除术后推进皮瓣的术后状态
您需要登录后才可以回帖 登录 | 注册

本版积分规则

丁香叶与你快乐分享

微信公众号

管理员微信

服务时间:8:30-21:30

站长微信/QQ

← 微信/微信群

← QQ

Copyright © 2013-2026 丁香叶 Powered by dxye.com  手机版 
快速回复 返回列表 返回顶部