仿气腹25孔3单端腔镜训练箱训练用单针/双针带线【出售】-->外科训练模块总目录
「训练教具器械汇总」管理员微信/QQ12087382[问题反馈]
开启左侧

腹腔镜经肝胃韧带修补绞窄性内疝

[复制链接]
发表于 4 小时前 | 显示全部楼层 |阅读模式

马上注册,结交更多好友,享用更多功能,让你轻松玩转社区。

您需要 登录 才可以下载或查看,没有账号?注册

×
一位44岁、既往体健的男士,因上腹部疼痛加剧2天,到急诊就诊。疼痛持续进行性加重,无明显缓解或加重因素。患者伴有恶心和无血性、无胆汁性呕吐。患者仍有排气和排便。患者既往无手术史或腹部外伤史。

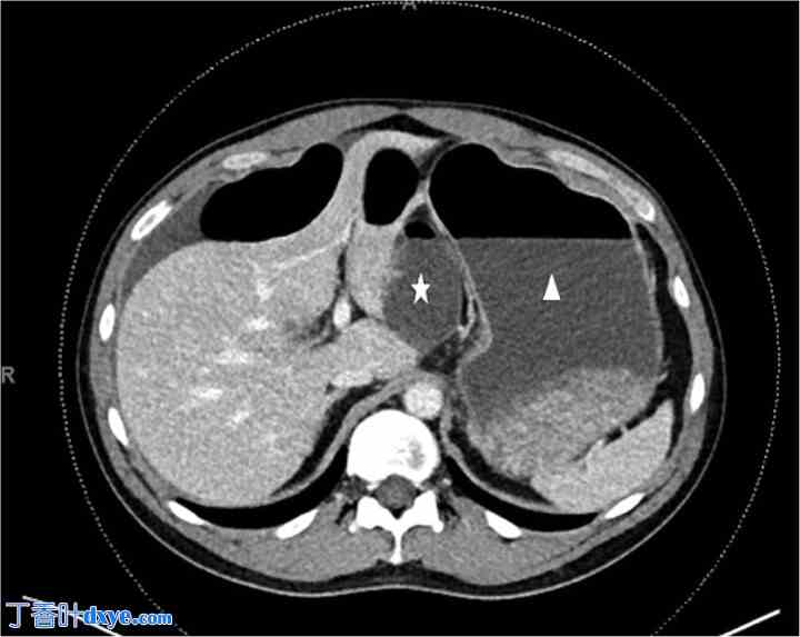
体格检查:患者生命体征稳定。腹部柔软、膨胀,全身压痛。实验室检查除白细胞计数升高至14外,未见异常。腹部CT扫描显示提示闭环小肠梗阻,疑似Winslow孔内疝(图1)。

图1
1.jpg
CT扫描。膨胀的胃(白色三角形)后方可见异常扩张且充满液体的小肠(白色星号)。

患者被紧急送往手术室进行诊断性腹腔镜检查。术中发现一小肠袢通过小网膜缺损处疝出。进一步检查后发现,缺损位于肝胃韧带而非温斯洛孔(图2)。疝出的肠管被释放。肠管看似出血,但仍可存活。因此,认为无需切除。随后,在腹腔镜下使用间断缝合关闭缺损,以防止复发。患者术后恢复顺利,并于术后第三天出院。

图2
2.jpg
术中发现。小网膜缺损(白色星号)。胃(白色三角形)。
您需要登录后才可以回帖 登录 | 注册

本版积分规则

丁香叶与你快乐分享

微信公众号

管理员微信

服务时间:8:30-21:30

站长微信/QQ

← 微信/微信群

← QQ

Copyright © 2013-2025 丁香叶 Powered by dxye.com  手机版 
快速回复 返回列表 返回顶部