仿气腹25孔3单端腔镜训练箱训练用单针/双针带线【出售】-->外科训练模块总目录
「训练教具器械汇总」管理员微信/QQ12087382[问题反馈]
开启左侧

阔韧带双侧乳头状囊腺瘤:Von Hippel-Lindau 病的表现:病例报告

[复制链接]
发表于 4 小时前 | 显示全部楼层 |阅读模式

马上注册,结交更多好友,享用更多功能,让你轻松玩转社区。

您需要 登录 才可以下载或查看,没有账号?注册

×
一名62岁的突尼斯阿拉伯绝经后女性,于2021年被诊断患有冯·希佩尔-林道病,并出现了与该病相关的多种临床表现。她曾多次接受手术,主要针对肾脏、肾上腺和胰腺肿瘤,并偶然发现了卵巢肿块。

患者在妇科方面无任何症状,但在接受脑部手术前主要主诉头痛。她没有显著的家族史或社会心理史。

她的手术史包括:
2021年:左侧岩骨内淋巴囊发现一个无法手术的肿瘤(6厘米),并接受放射治疗。

2021年:因一个6厘米嗜铬细胞瘤而接受左肾上腺切除术。病理检查显示为嗜铬细胞瘤。

2021年:因左肾肿瘤破裂而接受左肾切除术。显微镜检查显示多灶性透明细胞肾癌,核分级为2级。

2022年:因胰腺肿块行头十二指肠胰腺切除术。组织学检查证实为3个浆液性囊腺瘤和2个高分化神经内分泌肿瘤。

2021年1月,术后随访期间,腹部-盆腔CT扫描时,偶然发现一个4厘米的实性囊性左侧附件肿块,怀疑为恶性肿瘤。经阴道超声和盆腔MRI检查证实该肿块,并被归类为卵巢-附件报告和数据系统(O-RADS) 5级(高度疑似恶性肿瘤)(图1)。

图 1.
1.jpg
腹部-盆腔磁共振成像显示左侧卵巢实性囊性肿块,分类为卵巢-附件报告和数据系统 5

妇科检查及手术史
体格检查:未发现腹部-盆腔肿块。

窥器检查:宫颈健康。

发现先前左肾切除术和头位十二指肠胰腺切除术留下的手术疤痕。

多学科医护人员会议得出结论,认为有必要进行手术。患者经脐下正中切口进行剖腹手术,在左侧附件内发现边界清晰的实性囊性肿块。未见腹水或腹膜癌转移征象,右侧附件外观正常,术中未观察到恶性肿瘤的宏观征象,包括未见囊外赘生物。

患者在行左侧输卵管切除术的同时进行了细胞学检查,并将标本送去进行冰冻切片检查。结果不确定,因此怀疑为交界性肿瘤或Von Hippel-Lindau综合征特有的肿瘤。考虑到患者已绝经,患者行右侧输卵管切除术和全子宫切除术(图2)。

图2
2.jpg
源自右侧输卵管系膜的光滑表面囊性肿块

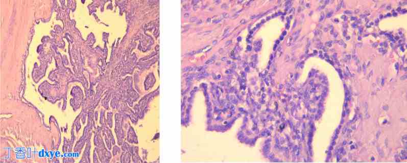
随后的组织学检查显示输卵管和阔韧带双侧透明细胞乳头状囊腺瘤,这是Von Hippel-Lindau病的特征(右侧0.5 cm,左侧4 cm)。肿瘤由紧密排列的乳头状结构组成,其核心为纤维状,并被单层上皮覆盖(图3)。

图 3.
3.jpg
显微镜检查显示囊性肿瘤伴有乳头状突起。肿瘤乳头状突起内衬单层立方形至柱状上皮细胞,细胞核呈单一椭圆形,边缘为透明细胞质。
您需要登录后才可以回帖 登录 | 注册

本版积分规则

丁香叶与你快乐分享

微信公众号

管理员微信

服务时间:8:30-21:30

站长微信/QQ

← 微信/微信群

← QQ

Copyright © 2013-2025 丁香叶 Powered by dxye.com  手机版 
快速回复 返回列表 返回顶部