仿气腹25孔3单端腔镜训练箱训练用单针/双针带线【出售】-->外科训练模块总目录
「训练教具器械汇总」管理员微信/QQ12087382[问题反馈]
开启左侧

应对三重威胁:ESWL 后尿路肿瘤、尿道口狭窄和梗阻性尿路疾病的治疗:一份具有挑战性

[复制链接]
发表于 4 小时前 | 显示全部楼层 |阅读模式

马上注册,结交更多好友,享用更多功能,让你轻松玩转社区。

您需要 登录 才可以下载或查看,没有账号?注册

×
一名 50 岁男性,已知患有双侧梗阻性肾结石,因双侧腰痛入住泌尿科病房。疼痛剧烈,右侧疼痛更甚,并伴有多次呕吐。一周前,患者因右肾结石接受了一次 ESWL 治疗。基线检查显示白细胞计数异常,为 18,000/微升(正常范围为 4500 至 11,000/微升),中性粒细胞计数为 89%,淋巴细胞计数为 5.3%。肾功能检查也异常,血清尿素水平为 40 mmol/L,血肌酐水平为 270 μmol/L。完整尿液检查显示脓细胞(5-10/HPF)和红细胞(10-20/HPF)。其余实验室检查未见异常。腹部超声检查显示右肾上极有一个约 1 × 1.2 cm 的结石,导致右肾盂肾盏系统和输尿管中度扩张。右侧输尿管远端有几个回声灶,产生后部声影。靠近右腰大肌的肾周间隙有一个约 100 mL 的无回声积液。在左肾盂处发现了一个 1.6 × 3.8 cm (AP x TR) 的大结石,导致肾盂肾盏系统轻度扩张。还进行了腹部 NCCT 检查,显示右侧肾积水,输尿管扩张,似乎与靠近右腰大肌的肾周间隙中 CT 密度为 6 Hounsfield 单位 (HU) 的小块低密度液体积液相沟通(图 1)。还观察到明显的邻近炎性条带。结合1周前右侧ESWL病史,诊断为右侧近端输尿管穿孔,并形成尿瘤。右侧远端输尿管邻近S1椎骨延伸至尾骨处可见多枚结石碎片排列,呈石街状,最大的约1.5×1.5cm,Hounsfield单位(HU)为1938年(图2)。这些结石碎片是ESWL的另一个并发症。肾盂内可见一大型鹿角状结石,大小约1.6×3.0×3.7cm(AP×TR×CC),CT密度为746HU,导致肾盂肾盏系统中度扩张。左肾上极可见一结石,大小约为 1.01 × 1.5 × 1.9 cm (AP × TR × CC),CT 密度为 361HU;右肾上极亦可见一结石,大小约为 1 × 0.9 × 0.8 cm (AP × TR × CC),CT 密度为 980 HU(图 3)。

图 1.
1.jpg
(A、B) 普通 CT 腹部平片(横断面轴向视图)显示肾周腔内边界清晰的低密度液体(绿色箭头),并伴有沿右侧髂腰肌的液体流向。左肾盂内可见一大型结石(黄色箭头)。

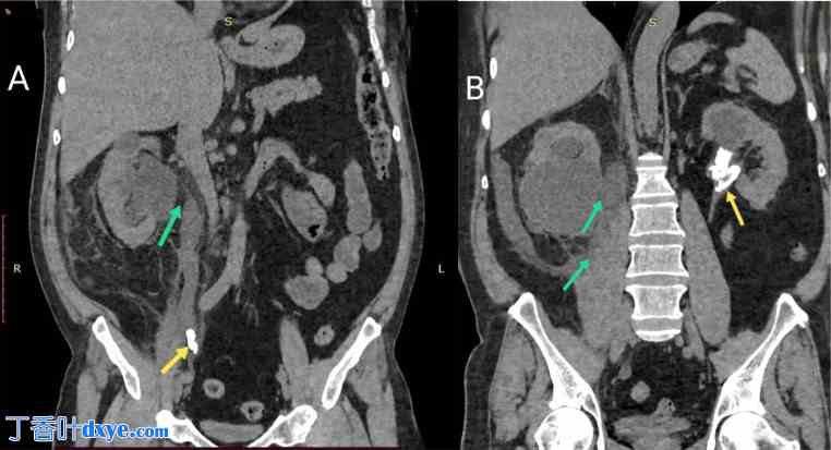
图 2.
2.jpg
(A, B) 普通 CT 腹部平片 (冠状位) 显示右侧髂腰肌附近尿液积聚(绿色箭头)。右侧输尿管远端可见结石(斯坦街状征),左肾可见结石(黄色箭头)。

图 3.
3.jpg
CT 容积渲染显示左肾结石(绿色箭头)和右侧输尿管远端可见斯坦街状征(紫色箭头)。

由于上述肾功能检查结果异常,且肌酐清除率低于 30 毫米/分钟,因此未进行造影检查。在对症治疗和广谱抗生素治疗后,在局部麻醉下,通过超声引导下经皮右肾造瘘术 (PCN) 抽吸尿管瘤。术后优化后,右侧输尿管气压弹道碎石术,置入双J管6French支架缓解梗阻(图4)。

图4.
4.jpg
术后X光KUB显示右侧PCN管和DJ支架置入,左肾内有较大结石。

术中发现4块大小不一的结石,均已成功碎石(图5)。患者基线检查结果在1周后恢复正常。随访超声显示右侧肾积水较术前显著减少。6周后取出双J管。10天后取出肾造瘘管,后续随访影像显示尿路肿瘤已完全引流。

图5.
5.jpg
经输尿管碎石术用于肾结石清除。

患者情况完全优化后,于另一家医院行经皮肾镜取石术(图6),左侧肾结石得以处理。左侧结石也已完全清除后,置入左侧DJ支架(图7)。

图6.
6.jpg
经皮肾镜取石术(PCNL)用于治疗左肾大结石,并已完全清除结石。

图7.
7.jpg
X光KUB显示经皮肾镜取石术后左侧DJ支架已复位。
您需要登录后才可以回帖 登录 | 注册

本版积分规则

丁香叶与你快乐分享

微信公众号

管理员微信

服务时间:8:30-21:30

站长微信/QQ

← 微信/微信群

← QQ

Copyright © 2013-2025 丁香叶 Powered by dxye.com  手机版 
快速回复 返回列表 返回顶部