仿气腹25孔3单端腔镜训练箱训练用单针/双针带线【出售】-->外科训练模块总目录
「训练教具器械汇总」管理员微信/QQ12087382[问题反馈]
开启左侧

经皮肾镜取石术(PCNL)后肾造瘘导管误入肾静脉一例报告及文献综述

[复制链接]
发表于 前天 16:00 | 显示全部楼层 |阅读模式

马上注册,结交更多好友,享用更多功能,让你轻松玩转社区。

您需要 登录 才可以下载或查看,没有账号?注册

×
一名63岁男性,无已知合并症,因左侧腰痛及下尿路症状六个月就诊。放射学检查显示左肾结石(如图1、2和3所示),提示需要进行经皮肾镜取石术(PCNL)。患者接受了经皮肾镜取石术(PCNL),并置入DJ支架用于术后引流(如图4所示)。此外,还置入了肾造瘘管用于引流。

图1
1.jpg
术前CT扫描。

图2
2.jpg
CT扫描显示左肾静脉内有肾造瘘管。

图3
3.jpg
术前X光片显示左肾结石。

图4
4.jpg
术后X光片显示左肾结石已清除,DJ支架仍在原位。

患者插入肾造瘘管5小时后出现剧烈出血,随后导致低血压。患者被转至重症监护病房 (HDU) 进行复苏治疗。输注4单位血液和新鲜冰冻血浆 (FFP),患者的血流动力学得以稳定。进一步的放射影像学检查,特别是CT血管造影,显示肾造瘘管意外穿过左肾下极肾盏,到达左肾静脉,其尖端距离下腔静脉 (IVC) 开口仅2毫米(图5)。通过液体复苏和夹紧PCN管,患者病情得以稳定。

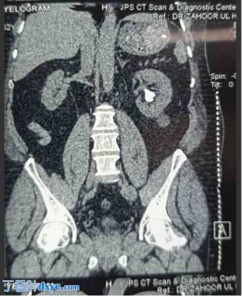
图5.
5.jpg
顺行性左肾盂造影图,可见造影剂进入肾静脉。
您需要登录后才可以回帖 登录 | 注册

本版积分规则

丁香叶与你快乐分享

微信公众号

管理员微信

服务时间:8:30-21:30

站长微信/QQ

← 微信/微信群

← QQ

Copyright © 2013-2025 丁香叶 Powered by dxye.com  手机版 
快速回复 返回列表 返回顶部