仿气腹25孔3单端腔镜训练箱训练用单针/双针带线【出售】-->外科训练模块总目录
「训练教具器械汇总」管理员微信/QQ12087382[问题反馈]
开启左侧

腹腔镜胸内网膜疝修补术一例

[复制链接]
发表于 前天 16:00 | 显示全部楼层 |阅读模式

马上注册,结交更多好友,享用更多功能,让你轻松玩转社区。

您需要 登录 才可以下载或查看,没有账号?注册

×
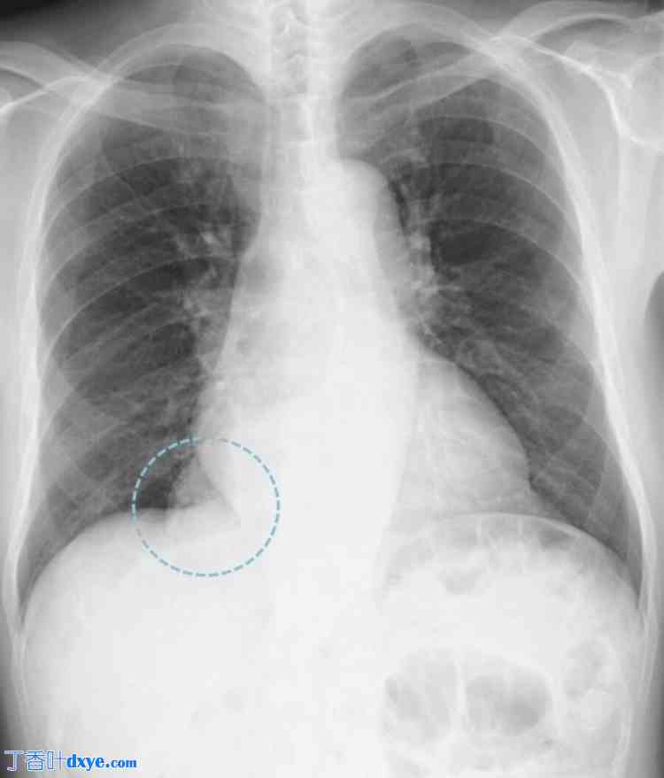
一名79岁的男性患者因胸闷约一个月就诊于当地医院。患者身高169.7 cm,体重70.2 kg。心电图显示心率为65次/分,窦性心律。体格检查未发现胸部和腹部异常。血液检查结果也未发现异常。患者无胃肠道或心血管疾病病史,医生问诊时也未发现腹部或胸部外伤史。然而,患者有糖尿病和血脂异常病史,并定期服药。胸部X光片显示疑似纵隔肿瘤(图1),患者被转诊至呼吸内科。进一步增强MRI(图2)和CT(图3)检查后,由于大网膜血管经食管裂孔延伸至纵隔,怀疑为ITOH,患者被转诊至胃肠外科。患者因症状性疝气接受腹腔镜疝修补术。术中发现食管裂孔右侧为疝口(图 4a),大网膜脱垂至右后纵隔。大网膜未与疝囊粘连,可手法复位至腹腔(图 4b)。

图 1. 胸部 X 光片。
1.jpg
术中发现异常纵隔阴影,怀疑为纵隔肿瘤。

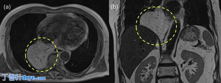
图 2. 增强 MRI。
2.jpg
腹腔内脂肪经食管裂孔脱垂至纵隔。

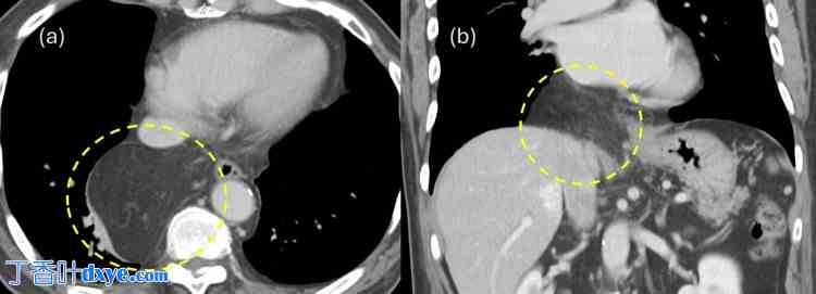
图 3. 增强 CT。
3.jpg
发现腹腔内脂肪经食管裂孔脱垂至纵隔。

图 4. 手术观察。
4.jpg
(a) 大网膜经食管裂孔脱垂至纵隔。(b) 将脱垂至纵隔的大网膜送回腹腔。

疝口为食管裂孔(图 5a),但无胃脱垂,疝内容物仅为大网膜。将大网膜送回腹腔后,用连续不可吸收 3-0 倒钩缝线缝合左右膈肌脚,并关闭疝口(图 5b)。

图 5. 手术观察。
5.jpg
用 3-0 倒钩缝合线缝合左右膈肌腿,以闭合疝口
您需要登录后才可以回帖 登录 | 注册

本版积分规则

丁香叶与你快乐分享

微信公众号

管理员微信

服务时间:8:30-21:30

站长微信/QQ

← 微信/微信群

← QQ

Copyright © 2013-2025 丁香叶 Powered by dxye.com  手机版 
快速回复 返回列表 返回顶部