| 
一名61岁男性,因上腹部不适、反流、嗳气和便秘(排气量少量,但肠道10天未通畅)就诊,持续4天。30年前,他因反流症状接受了开放式尼森胃底折叠术。他长期餐后饱胀感和腹部不适,并被归因于复发性胃食管反流病;然而,他并未接受过药物治疗。他曾吸烟,并经常饮酒。腹部检查发现中线较长的剖腹手术,并有多处切口疝。触诊时,腹部柔软,但上腹部有压痛,但无腹膜炎。
×
马上注册,结交更多好友,享用更多功能,让你轻松玩转社区。
您需要 登录 才可以下载或查看,没有账号?注册  
 患者入院接受进一步检查。计算机断层扫描 (CT) 扫描显示十二指肠出口梗阻,胰头水平有一转变点,十二指肠周围脂肪条带和十二指肠壁增厚,并有该部位十二指肠外侧胰腺组织强化的印象(图 1)。磁共振胰胆管造影 (MRCP) 显示十二指肠第二段因梗阻性壶腹部病变而管径突然转变,一条扩张的肝外胆管(9 毫米)穿过该病变(图 1)。胰管大小正常,周围无淋巴结肿大或胰腺实质血管包裹。他的肝酶和血清肿瘤标志物(碳水化合物抗原 19-9 (CA19-9)、癌胚抗原和甲胎蛋白)无异常。他的血清脂肪酶水平为 171 U/l。上消化道内镜超声检查 (EUS) 旨在评估梗阻性壶腹部周围病变(补充视频 1)。
 
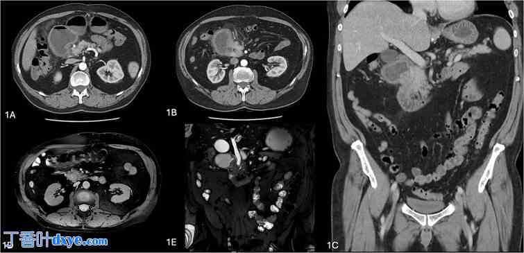
 图 1
 
   环状胰腺的放射图像。(A–C) 计算机断层扫描图像显示十二指肠梗阻,胰头水平出现过渡点,十二指肠周围脂肪条带,十二指肠壁增厚,该部位十二指肠外侧胰腺组织增强。(C, D) 磁共振胆胰管造影图像显示十二指肠第二段的管径因梗阻性壶腹部周围病变(即环状胰腺)而急剧变化。
 
 术中,鉴于覆盖十二指肠第二段的环状胰腺外观及解剖结构清晰,且患者既往开腹手术造成广泛粘连,决定行环状胰腺一期分离术以缓解十二指肠梗阻。在覆盖十二指肠第二段前部的环状胰腺后表面之间形成一个平面(图2,补充视频2),以便在此空间放置腹腔镜吻合器(Covidien 铰接式 Endo GIA™ 血管/中型三钉合器 45 毫米(金色)),从而横切环状胰腺(图3和图4,补充视频2)。由于患者胆结石广泛,因此还进行了腹腔镜胆囊切除术。术中胆管造影显示胰胆管连接畸形,胆管在壶腹部近端进入主胰管(图5,补充视频2),这是一种已知与环状胰腺相关的异常。将一根10-French Jackson-Pratt引流管置于腹部右上腹环状胰腺分割处上方。经腹腔镜放置腹膜内补片以修复患者多发性切口疝,并用经筋膜缝合线和AbsorbaTack™固定。
 
 图 2.
 
   (A–D) 使用马里兰抓钳 (A, B) 和硅胶囊环 (B–D) 连续描绘胰环与十二指肠之间的平面。
 
 图 3.
 
   (A–D) 使用腹腔镜吻合器连续描绘胰环分离。
 
 图 4.
 
   (A, B) 成功切断十二指肠上方的胰环。
 
 图 5.
 
   术中胆管造影显示胰胆管连接不良,胆管在壶腹部近端进入主胰管。
 
 患者术后第一天起即可耐受正常饮食,上腹部不适感轻微且有所减轻。鉴于胰腺已进行分离,术后第三天常规置管脂肪酶检测,结果为708 U/l,提示有少量胰漏。由于患者临床情况良好,胰漏采取保守治疗,留置引流管,患者出院回家,医院提供上门引流管管理服务,并在两周后进行门诊随访。
 
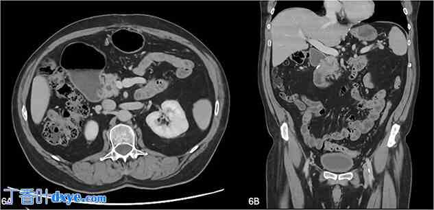
 患者术后第八天出现反复反流和嗳气症状。再次进行CT和超声内镜检查,结果显示在十二指肠第二段(环状胰腺已分离)附近有1-2厘米的积液。超声内镜抽吸脂肪酶,结果显示脂肪酶为88,931 U/l,提示少量胰漏。在同一次手术中,患者接受了十二指肠扩张术,在荧光透视引导下置入CRE™球囊扩张器,将十二指肠管腔扩张至20毫米直径。此手术缓解了他的症状,目前病情依然良好。4个月后复查CT,显示先前转折点附近长期存在的胃扩张和十二指肠上段得到改善,十二指肠周围脂肪条带和十二指肠壁增厚消失(图6)。
 
 图6.
 
   (A, B) 4个月后复查CT,显示先前转折点附近胃扩张和十二指肠上段得到改善,十二指肠周围脂肪条带和十二指肠壁增厚消失。
 
 
 
 |