| 
本病例报告根据基于共识的临床病例报告指南(CARE 清单) 撰写。患者为一名 86 岁男性,因突发黄疸来院就诊。病史包括慢性胰腺炎、高胆固醇血症、系统性动脉高血压和肾下腹主动脉瘤。血液检查显示患者有黄疸,总胆红素 7.5 mg/dL(正常范围 0.1 至 1.2 mg/dL),直接胆红素 6.8 mg/dL(正常值小于 0.3 mg/dL),胆汁淤积,γ-谷氨酰转肽酶 762 UI/L(正常范围 5 至 40 U/L)。其他肝脏和胰腺酶均正常。患者接受了腹部计算机断层扫描 (CT) 扫描,怀疑为胰腺肿瘤。影像学检查显示胰体尾完全萎缩,伴有3厘米胰头肿块压迫胆管,从而导致肝内外胆管扩张(图1)。肿块与肠系膜上静脉(SMV)接触,其周长约1/3(右侧),并发现多发性淋巴结肿大(主动脉间、腔静脉、胰周和肝门左侧)。肿瘤标志物(CEA、CA19.9)均在正常范围内。
×
马上注册,结交更多好友,享用更多功能,让你轻松玩转社区。
您需要 登录 才可以下载或查看,没有账号?注册  
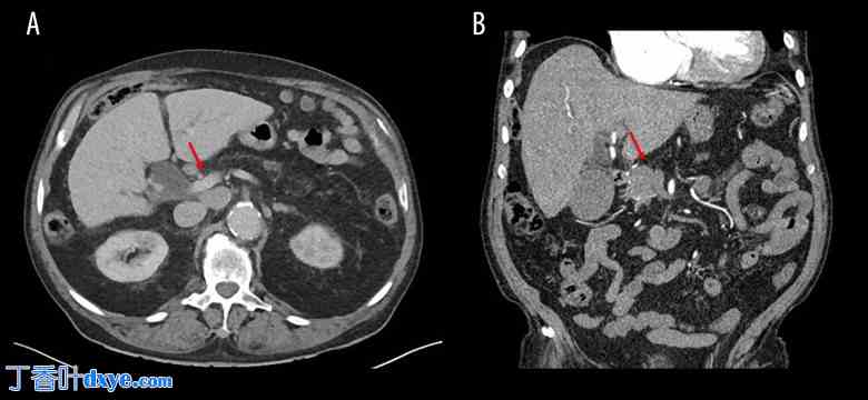
 图1.
 
   增强CT扫描,横断面(A)和冠状面(B)显示胰体尾缺失,无胰腺炎。箭头指示胰头处一个3厘米肿块压迫胆管。
 
 此外,还进行了磁共振胰胆管造影 (MRCP) 检查,证实胰体尾完全缺失。MRCP 报告显示,远端胆总管严重阻塞,原因是胰头肿块不均匀,很可能是肿瘤来源。脾系膜肠静脉汇合处后方发现一个大型淋巴结。未观察到继发性局灶性肝脏病变的证据。胆囊扩张也可见(图 2)。
 
 图 2.
 
   MRCP 显示胰头肿块不均匀导致远端胆总管严重梗阻 (A),导致肝内外胆管明显扩张。胆囊明显扩张,符合胆汁淤积征象。轴向 T2 加权 MRI 扫描 (B) 显示胰体尾严重萎缩,胰腺背部实质缺失,证实了 ADP 的诊断。红色箭头指示胰头内一个巨大且不均匀的肿块,压迫胆总管并导致胆道梗阻。
 
 由于患者、医护人员和家属不愿接受像胰十二指肠切除术这样繁重的手术,经过讨论后,作者建议置入内镜胆道假体。患者进行了两次内镜逆行胰胆管造影 (ERCP) 手术。第一次 ERCP 显示大乳头正常,但缺少背侧导管系统和小乳头,从而明确确诊了胆管扩张 (ADP)。主胆管部分显影显示远端狭窄,伴有上游胆管扩张。患者多次尝试将导丝穿过狭窄处,但均未成功。手术过程中,患者发现乏特氏乳头充血,因此提前终止检查。第二次 ERCP 尝试也未能穿过狭窄处并置入支架,这进一步证实了胰腺肿瘤病变导致远端胆管狭窄的怀疑。
 
 因此,作者不得不采用经皮肝穿刺胆道引流 (PTBD) 的放射学方法,但此举也遇到了一些障碍。患者的结肠明显位于肝脏和横膈膜之间,符合 Chilaiditi 征(图 3);因此,作者实施了联合手术,在腹腔镜下牵拉右结肠,以更好地暴露肝脏和胆道目标。腹膜探查提示肝脏胆汁淤积,并伴有轻微纤维化和硬化前期。将位于肝脏和横膈膜之间的右结肠牵拉至骨盆方向,并用可吸收编织缝线固定右结肠曲。随后可以安全进行 PTBD,然后放置金属胆道支架,手术进行得很顺利(图 4)。在腹腔镜探查过程中,作者发现了一个与肝静脉段相对应的小的白色病变,对其进行了活检以进行病理检查。PTBD 的定位导致胆红素值迅速下降,并提高了患者的舒适度。术后11天,患者出院,在家人的协助和护理下回家。
 
 图3.
 
   经皮肝穿刺胆道引流术及腹腔镜右结肠牵拉术后支架置入术。
 
 图4.
 
   Chilaiditi征:红色箭头指示结肠位于肝脏和右侧膈肌之间。
 |