仿气腹25孔3单端腔镜训练箱训练用单针/双针带线【出售】-->外科训练模块总目录
「训练教具器械汇总」管理员微信/QQ12087382[问题反馈]
开启左侧

急性与亚急性胆囊扭转的致病机制对比:两例不同程度扭转病例分析

[复制链接]
发表于 前天 16:00 | 显示全部楼层 |阅读模式

马上注册,结交更多好友,享用更多功能,让你轻松玩转社区。

您需要 登录 才可以下载或查看,没有账号?注册

×
病例 1

一名 97 岁女性患者因呕吐和上腹部疼痛到急诊就诊。体格检查发现上腹部有压痛,但无黄疸征兆。

CT 影像显示胆囊向内侧移位,并伴有明显的胆囊壁水肿(图 1)。

图 1. 病例 1 胆囊扭转的放射学表现。
1.jpg
(A) 轴向 CT 图像显示胆囊向内侧移位,并伴有明显的胆囊壁水肿(黄色箭头)。

(B) 冠状 CT 图像显示胆囊向内侧移位并伴有明显的胆囊水肿(黄色箭头)。

腹腔镜探查显示胆囊明显增大,呈暗红色,扭转 270°,属于大体 II 型,胆囊完全坏死(图 2)。

图 2. 病例 1 术中腹腔镜检查结果。
2.jpg
(A) 腹腔镜初诊图显示胆囊明显增大,呈暗红色,并伴有严重的缺血性改变。

(B) 胆囊扭转的近视图显示扭转 270°。

腹腔镜胆囊切除术在 69 分钟内完成。患者术后恢复顺利,并于术后第五天出院,无并发症。

病例 2

一名 52 岁男性患者,因右季肋部间歇性疼痛一个月就诊,在特定动作(例如向前弯腰或开车时伸手)时疼痛加剧。最初症状轻微,后来逐渐加剧为剧烈疼痛,促使患者就诊于急诊科。

CT 影像显示胆囊壁明显增厚,并伴有水肿性改变。磁共振胆胰管造影 (MRCP) 显示胆囊颈部有扭转样缺损(图 3)。

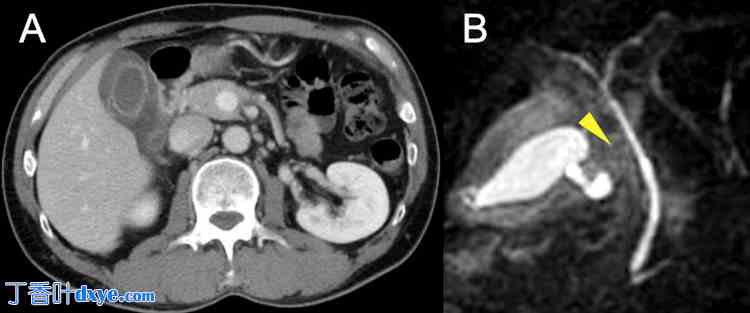
图 3. 病例 2 胆囊扭转的放射学表现。
3.jpg
(A) CT 图像显示胆囊壁明显增厚和水肿。

(B) MRCP 图像显示胆囊颈部有扭转样缺损。

腹腔镜探查显示胆囊肿大,伴有轻度缺血性改变,胆囊管明显延长和扭曲(图 4)。该病被归类为 Gross I 型,伴有不完全坏死和 90° 扭转。

图 4. 病例 2 术中腹腔镜检查结果。
4.jpg
(A) 腹腔镜初诊示胆囊肿大,伴有轻度缺血性改变。

(B) 探查后示胆囊管明显延长且扭曲。

腹腔镜胆囊切除术在 59 分钟内完成,无中转开腹手术。患者术后恢复顺利,并于术后第一天出院。术后一个月随访时,患者无任何症状,术前症状完全缓解。
您需要登录后才可以回帖 登录 | 注册

本版积分规则

丁香叶与你快乐分享

微信公众号

管理员微信

服务时间:8:30-21:30

站长微信/QQ

← 微信/微信群

← QQ

Copyright © 2013-2025 丁香叶 Powered by dxye.com  手机版 
快速回复 返回列表 返回顶部