| 
一名75岁男性因粪便潜血试验阳性转诊至院内科。下消化道内镜检查发现降结肠内有一横向扩散性肿瘤(LST),并尝试行内镜黏膜下剥离术(ESD)。然而,该手术操作困难,故患者转诊至院进行手术治疗。十年前,患者曾经前入路接受右侧腹股沟疝手术。患者未服用任何药物。
×
马上注册,结交更多好友,享用更多功能,让你轻松玩转社区。
您需要 登录 才可以下载或查看,没有账号?注册  
 体格检查结果:体重67.0 kg,身高169 cm,体质指数23.5 kg/m²。血液检查未见明显异常,癌胚抗原和糖类抗原19-9(肿瘤标志物)水平均在正常范围内。下消化道内镜检查发现降结肠内有一30 mm的LST(图1A)。尝试进行 ESD 但因手术困难而未完成,并将 ESD 部分夹住(图 1B)。灌肠检查显示降结肠至乙状结肠在右侧运行(图 2)。增强计算机断层扫描 (CECT) 显示内镜夹位于右侧降结肠,IMA 对称,乙状结肠位于盲肠的右侧和背侧(图 3A,B)。作者诊断患者为降结肠 LST 伴不完全性肠旋转不良,并进行了腹腔镜降结肠部分切除术。术中发现乙状结肠位于回盲肠的右侧和背侧,并固定于肝曲和右侧腹膜后(图 4A,B,C)。从患者左侧行腹腔镜回盲部和乙状结肠游离术。首先,从尾侧将位于乙状结肠腹侧的回盲部从乙状结肠分离,在脱离与右腹壁的固定并完成乙状结肠游离后,使乙状结肠和降结肠恢复解剖正常,从患者右侧行腹腔镜降结肠部分切除术。手术时间为 219 分钟,估计失血量为 10 毫升。组织病理学诊断为 LST 颗粒型、20×15 毫米管状腺瘤,具有严重异形性、高级别和 pN0。患者于术后第 3 天开始经口进食,第 8 天顺利出院。术后一年患者病情进展,无复发。
 
 图 1.
 
   上消化道内镜图像。a 降结肠内横向扩散的肿瘤(黄色箭头)。b 内镜黏膜下层剥离术切片的夹持
 
 图 2.
 
   灌肠检查。降结肠至乙状结肠在右侧走行
 
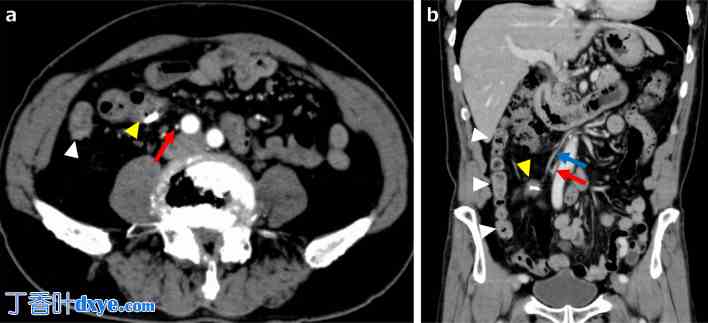
 图 3.
 
   增强 CT 图像。a 轴向 CT 图像显示夹持器位于右侧降结肠(黄色箭头),IMA 对称走行(红色箭头),乙状结肠位于右侧(白色箭头)。 b 矢状位 CT 图像显示右侧降结肠夹(黄色箭头)和右侧固定的乙状结肠(白色箭头),以及 IMA(红色箭头)和 IMV(蓝色箭头)的对称走行。
 
 图 4
 
   术中发现。乙状结肠位于回盲部右侧和背部(a)。回盲部游离后,将乙状结肠固定于肝曲(b)和右侧腹膜后(c)。
 |