| 
一名78岁男性,既往病史包括高脂血症、伴舒张功能障碍的高血压性心脏病、3a期慢性肾病和痴呆,因左侧基底神经节和右侧颞叶内侧急性缺血性卒中入住夏威夷一家急症护理医院,症状包括构音障碍、口咽性吞咽困难和右侧偏瘫。患者不适合溶栓治疗,开始接受阿司匹林和氯吡格雷双联抗血小板治疗。患者出现允许性高血压48小时后,开始使用可乐定贴剂治疗高血压。患者通过脑CT和MRI检查确诊卒中。钡餐检查证实了口咽性吞咽困难;患者家属和患者决定行胃造瘘管置入术,进行长期肠内营养。值班普外科医生于住院第五天采用经腹导管插入技术置入了LAPG管。置入三个T型固定器进行胃固定术,并采用Seldinger技术扩张胃管,并通过剥离式导管鞘插入14F球囊保留胃造瘘管。将胃造瘘管固定到位后,通过胃造瘘管(G管)注入生理盐水,并进行抽吸确认胃内容物存在。患者未立即通过胃造瘘管进行肠内喂养,但在置入胃造瘘管4小时后开始用药。
×
马上注册,结交更多好友,享用更多功能,让你轻松玩转社区。
您需要 登录 才可以下载或查看,没有账号?注册  
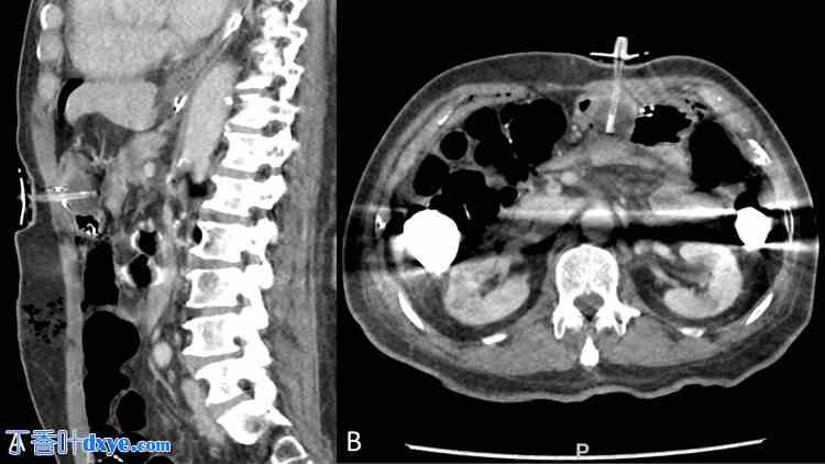
 术后第一天,患者夜间出现三次咖啡渣样呕血,无血流动力学不稳定,白细胞增多至18,000/微升。患者无发热,心动过速,心率为100-120次/分钟。体格检查显示,手术部位清洁,无出血或感染的外部征象。患者开腹手术和胃管置入处周围疼痛,无腹胀或腹膜炎征象。由于胃肠道出血和白细胞增多,患者进行了腹部非造影CT扫描,结果显示腹腔内多处小气灶,脐周区域有手术性改变,胃部接近腹前壁,这可能与腹腔镜介入治疗相符。胃造瘘管似乎终止于远端胃体。此外,胃造瘘管置入处前后胃壁完全贴合,胃部似乎被压迫在球囊和腹壁之间(图1)。后一种情况未能立即发现,患者请胃肠科会诊,进行内镜评估并治疗呕血。
 
 图 1. 计算机断层扫描 (A) 矢状面和 (B) 横断面/轴向图像显示腹腔镜胃造瘘管经胃前后壁置入术后的变化。
 
   术后第 3 天进行的食管胃十二指肠镜 (EGD) 检查显示整个胃黏膜充血,可见胃管进入胃体前壁并从胃后壁穿出,入口和出口周围可见清洁溃疡(图 2)。这被推测是胃肠道出血的原因。患者接受泮托拉唑 40 毫克静脉注射 (IV),每日两次,持续三天,然后改为每日一次。联系外科医生对错位的胃管和后壁胃造瘘部位进行手术处理。诊断性腹腔镜检查于同日进行,未发现腹腔内污染迹象。腹腔镜操作/旋转胃部操作显示胃管已从胃后壁伸出(图3)。经皮牵拉胃管,将胃管重新置入胃内,并使用内镜胃肠道吻合器从浆膜处缝合缺损。通过注射和抽吸生理盐水以及术中胃镜检查(EGD)确认胃管位置(图4),然后关腹。患者可耐受管饲,无并发症,两天后出院。
 
 图2. (A-B) 食管胃十二指肠镜检查结果显示,胃造瘘管位置异常,进入胃前壁,并从胃后壁伸出,双侧胃壁黏膜均有清洁的管周溃疡。
 
   
 图 3. 术中图像:(A) 胃;(B) 错位的胃造瘘管穿过胃后壁;(C) 移除造瘘管后出现的后壁黏膜缺损。
 
   
 图 4. 食管胃十二指肠镜检查图像,确认胃造瘘管重新定位后已正确置入胃内。
 
   |