| 
一名65岁女性,有高血压病史,仅服用一种降压药控制良好,BMI为33,因新发中线腹壁疝就诊。过去10年来,她一直意识到自己患有疝气;然而,最近才出现症状,腹痛持续了两到三周。她仅有的手术史是33年前进行的双侧输卵管结扎术。
×
马上注册,结交更多好友,享用更多功能,让你轻松玩转社区。
您需要 登录 才可以下载或查看,没有账号?注册  
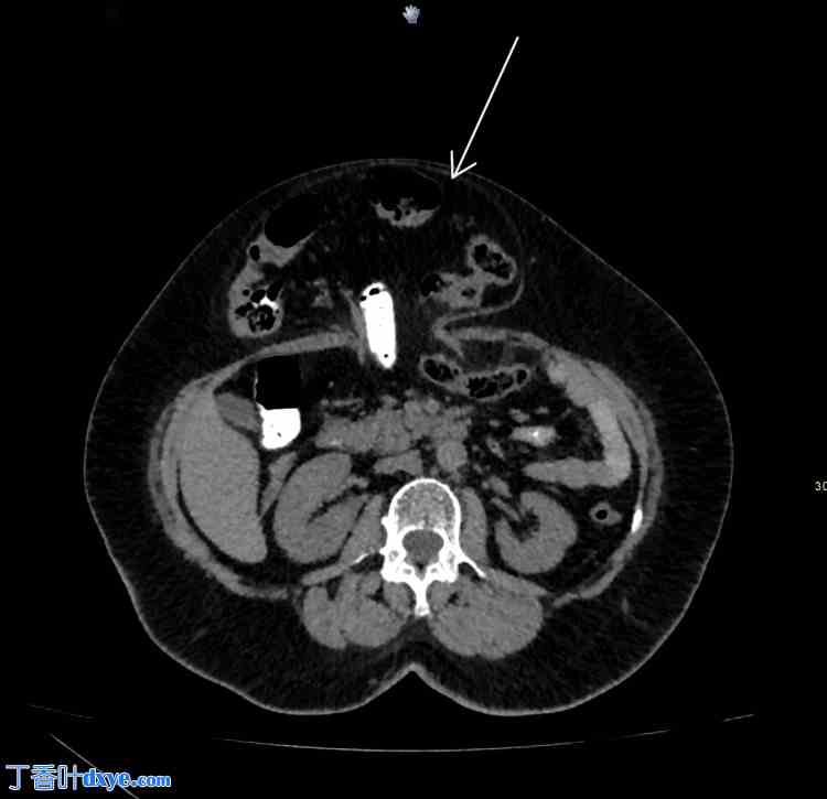
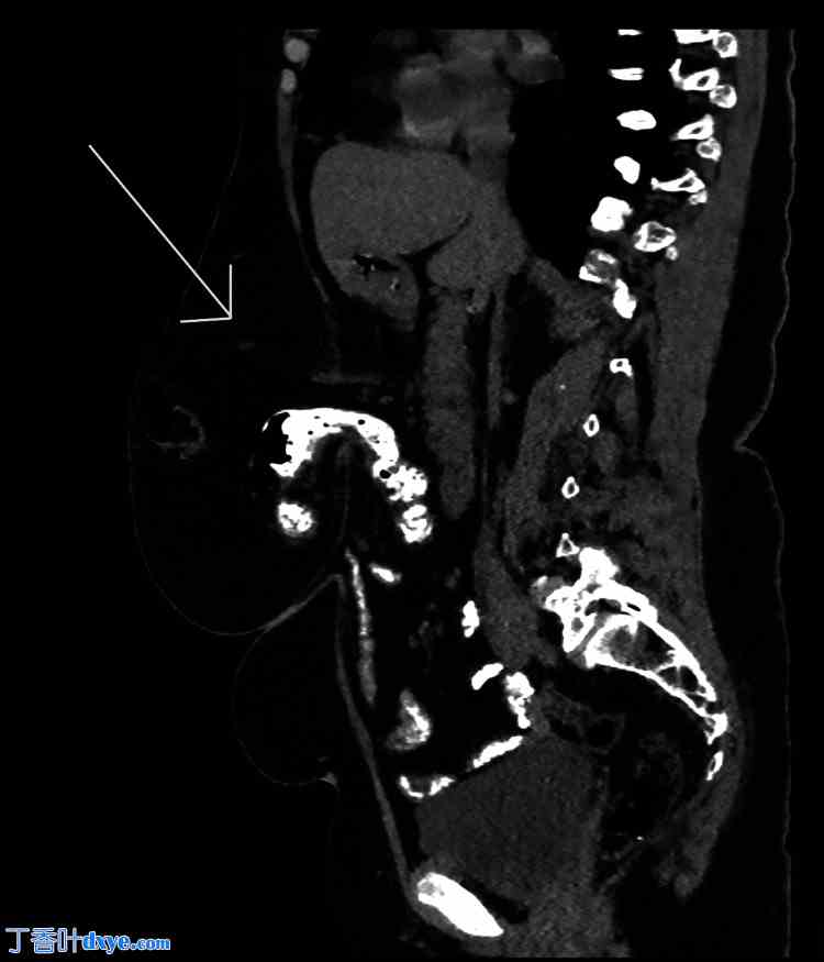
 CT扫描(图1、图2)显示一个51毫米×36毫米的大型中线前腹壁缺损,伴有部分横结肠和大网膜疝出。鉴于疝气的症状性以及缺损处存在腹壁内容物,认为有必要进行手术干预以防止进一步的并发症。
 
 图1. 口服造影剂的非造影CT扫描显示疝囊内肠管的轴向视图(箭头)。
 
   
 图 2. 口服造影剂后非造影 CT 扫描的矢状面视图,显示疝囊内有肠管(箭头)。
 
   患者接受了手术,本文介绍作者使用的混合技术。作者之所以选择混合技术,是因为作者认为由于长期疝气中存在肠管,因此修复过程较为复杂。通过小切口修复疝气可以减少慢性疼痛和复发等并发症。作者根据资源限制,调整了 MILOS 手术,使用凝胶端口连接摄像头,并插入腹腔镜端口。
 
 技术
 
 手术在全身麻醉下进行。患者取仰卧位,在腹侧疝部位作一约8厘米长的垂直切口。加深皮肤切口直至到达疝囊。打开疝囊,小心地将内容物复位回腹腔。然后用Vicryl 2/0缝线缝合后鞘,并在尽可能充分地打开腹直肌后间隙后,放置一个用于放置凝胶端口的伤口保护器(图3)。
 
 图3. 在后鞘闭合后,减少疝内容物并部分地松动腹直肌后间隙,将单个凝胶端口放置在伤口保护器上。
 
   通过中央端口插入一个30度摄像头,以便使用腹腔镜器械进一步显影腹直肌后平面。最后,在精确测量腹直肌后间隙后,以开放式方式置入Optilene聚丙烯网片,以确保充分覆盖(图4和图5),重叠部分至少为5厘米。网片置入腹直肌后间隙时未使用任何固定或缝合。前鞘用尼龙1/0缝线缝合,皮肤用可吸收Monocryl 3/0缝线缝合(图6)。手术持续2小时,出血量极少,估计不到50毫升。
 
 图4. 腹腔镜下腹直肌后间隙形成后置入网片。
 
   
 图5. 置入网片后视图。
 
   
 图6. 置入网片后缝合皮肤。
 
   术中及术后随访
 
 患者未出现术中及术后早期并发症,并于术后第二天出院,情况稳定。随访中,患者未出现疝气复发,未出现晚期并发症,且能够进行所有日常活动,且无任何不适。
 |