| 
一名38岁的越南女性因腹胀进行性加重入院。患者自述三年前曾接受腹腔镜子宫肌瘤切除术及动力分碎术。
×
马上注册,结交更多好友,享用更多功能,让你轻松玩转社区。
您需要 登录 才可以下载或查看,没有账号?注册  
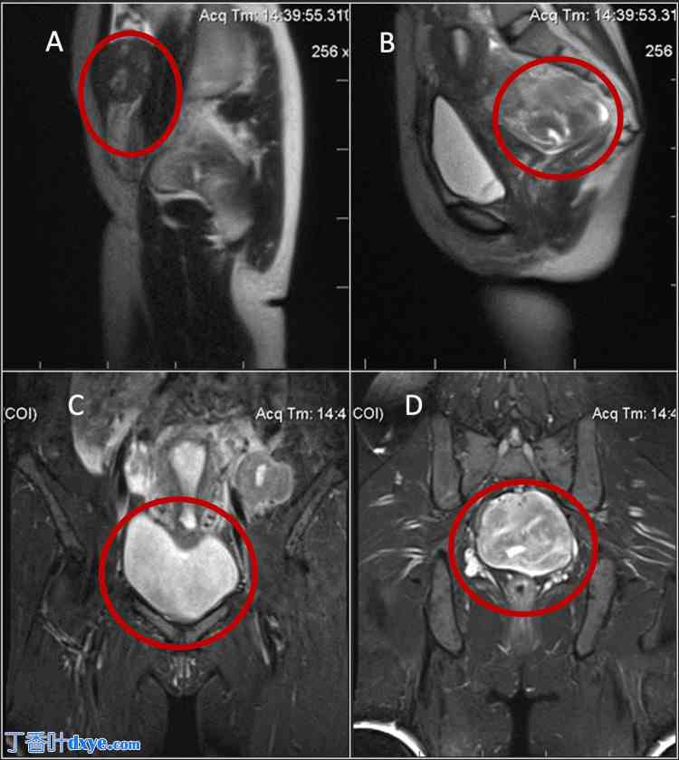
 妇科检查发现子宫增大,大小与孕12周时相当。MRI检查显示,T1加权像(T1WI)和T2加权像(T2WI)上均可见信号强度与骨骼肌和平滑肌相似的肿块(图1)。
 
 图1. 腹壁内可见一个信号强度与肌瘤相似的肿块(A)。子宫后壁可见一个异常肿块,大小约为90x68x95毫米。肿块边界清晰,信号强度与子宫肌层相似,并压迫直肠(B)。注射造影剂后,肿块呈强而均匀的强化(C)。在左卵巢下方,检测到一个尺寸为52x43x54毫米的类似肿块(D)。
 
   患者接受了剖腹探查术。术中,作者发现一个直径10厘米的大肿块起源于腹膜后,并粘附于子宫后壁。同时,还有两个较小的肿块,约2-4厘米,附着于子宫附近的左腹膜壁层(图2)。此外,还可见正常的子宫、双侧输卵管和卵巢。作者切除了所有三个肿块,没有损伤肠道、血管、输尿管和膀胱。患者术后恢复良好,迄今为止无症状。图3显示肿瘤结构由梭形细胞组成,细胞核小而圆,与肌瘤结构相似。
 
 图2. 术后肿瘤标本包含三个碎片,总重量400克。
 
   
 图3. 肿瘤碎片由梭形细胞组成,细胞束交织排列。细胞核小、圆、大小均匀,无有丝分裂或坏死。可见囊性变和嗜酸性变性区域。未检测到异形细胞。
 
   |