| 
一名20岁的未妊娠女性因左下腹痛、呕吐和稀便到急诊就诊。患者一年前曾出现下腹痛,并接受了小切口剖腹手术,切除了10厘米长的左侧卵巢畸胎瘤。回顾性检查一年前的CT扫描结果,发现右侧卵巢有一个3厘米长的畸胎瘤(图1)。术后两个月的随访CT扫描也显示了相同的病变。此外,患者有10个月的溃疡性结肠炎病史,经英夫利昔单抗治疗后病情得到缓解。
×
马上注册,结交更多好友,享用更多功能,让你轻松玩转社区。
您需要 登录 才可以下载或查看,没有账号?注册  
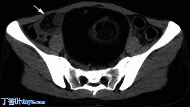
 图1
 
   腹腔镜手术前一年的非增强CT扫描。
 
 盆腔中部有一个10厘米长的卵巢畸胎瘤。肿瘤内含有大量脂肪组织和毛球状结构。在同一切片中还观察到另一个3 cm长的畸胎瘤,可能源自右侧卵巢(箭头所示);然而,进行前一个卵巢畸胎瘤切除术的妇科医生并未意识到存在源自对侧卵巢的小畸胎瘤。
 
 一位专攻胃肠病的急诊科医生为患者诊治。患者体温36.2 °C,白细胞计数14,100/μL(分叶细胞75.9%),C反应蛋白水平0.02 mg/dL。非增强CT扫描显示一个5 cm长的右侧卵巢畸胎瘤和腹水,但未发现提示溃疡性结肠炎恶化的征兆,例如肠壁增厚或腹水加重(图2)。虽然右下腹部压痛最明显,但患者主诉左侧疼痛。此外,未发现腹膜刺激征,因此在鉴别诊断中未强烈考虑阑尾炎。溃疡性结肠炎急性发作也被排除。鉴于存在右侧卵巢畸胎瘤,主要怀疑为附件扭转。妇科医生进行的经阴道超声检查发现右侧卵巢畸胎瘤,并伴有明显压痛,患者被转诊至急诊手术。
 
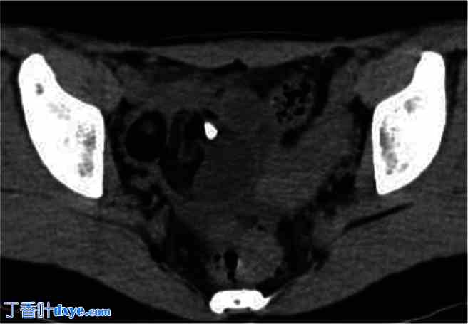
 图 2.
 
   CT 扫描显示的右侧卵巢畸胎瘤。
 
 术前平扫CT示右侧卵巢畸胎瘤长5 cm,内含脂肪及钙化部分,该畸胎瘤一年前长3 cm,如图1所示。
 
 腹腔镜检查示右侧附件因畸胎瘤增大,但未扭转或破裂,并有黄色浑浊腹水(图3)。此外,阑尾增大,符合阑尾炎表现(图4)。根据腹腔镜检查结果,术前CT扫描复查示阑尾增大(图5)。患者行右侧卵巢畸胎瘤切除术及阑尾切除术。阑尾组织学检查示炎症细胞明显浸润,炎症已扩散至壁各层,并达浆膜层。而卵巢畸胎瘤组织学检查未见中性粒细胞浸润或炎症播散。因此,结论是急性阑尾炎是急性腹痛的病因,术后症状迅速缓解。
 
 图 3
 
   腹腔镜手术中的右侧卵巢畸胎瘤。
 
 腹腔镜检查发现右侧卵巢畸胎瘤,并伴有黄色浑浊腹水。右侧附件未扭转或破裂。(有关此图例中颜色含义的解释,请参阅本文的网络版本。)
 
 图 4
 
   腹腔镜手术中的阑尾肿大。
 
 常规盲肠检查发现阑尾肿大。随后,胃肠外科医生为其实施了阑尾切除术。
 
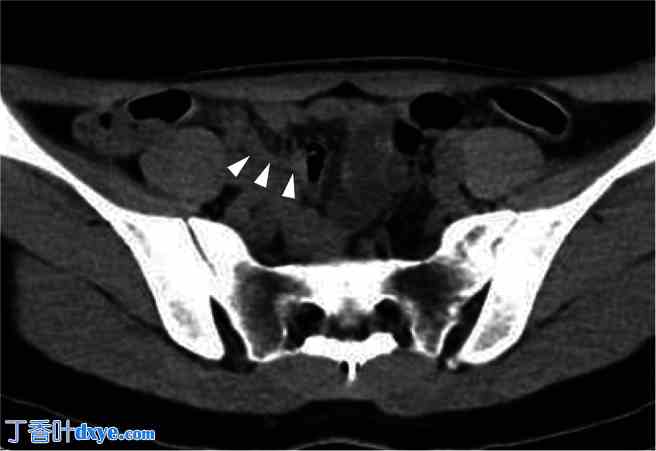
 图 5
 
   CT扫描中的阑尾扩大。
 
 腹腔镜手术后对术前 CT 扫描进行重新评估,发现阑尾增大(箭头)。
 |