| 
一名51岁的男性患者因3小时前突发上腹部疼痛到急诊就诊。患者还报告过去三天食欲不振。病史包括抑郁症和阑尾炎腹部手术史。虽然患者没有左肾手术史,但计算机断层扫描(CT)成像显示患者有先天性左肾功能不全。幽门螺杆菌检测结果为阴性。虽然医生给他开了四种主要的抗抑郁药,但他没有服用任何可能诱发十二指肠溃疡的药物,例如非甾体类抗炎药(NSAID)。患者20多岁时每天吸烟20支,但不饮酒。
×
马上注册,结交更多好友,享用更多功能,让你轻松玩转社区。
您需要 登录 才可以下载或查看,没有账号?注册  
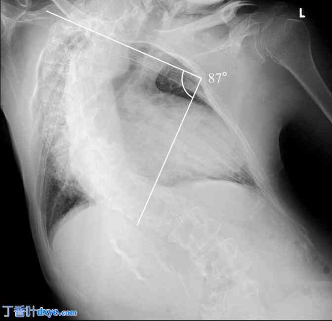
 图1.
 
   患者患有严重的脊柱侧弯。脊柱弯曲在中胸段食管水平向右凸,在下段食管水平向左凸,Cobb角为87°。
 
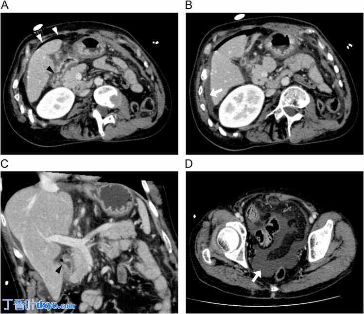
 腹部增强CT扫描显示十二指肠壁不连续,肝脏表面有游离气体,并有少量腹水(图2A-C),符合十二指肠球部穿孔的诊断。此外,道格拉斯窝可见中量腹水(图2D)。基于以上发现,患者接受了急诊腹腔镜手术,确诊为十二指肠溃疡穿孔。
 
 图 2.
 
   腹部增强 CT 显示十二指肠壁不连续(黑色箭头),肝脏表面游离气体(白色箭头),少量腹水(白色箭头)(图 A、B、C)。
 
 道格拉斯窝内可见中等量腹水(白色箭头)(图 D)。
 
 直径 5 毫米、30° 角的腹腔镜检查显示十二指肠前壁有一 10 毫米穿孔,腹部全层均有胆汁性腹水(图 3A、B)。术后放置三个端口(图 3C),并进行腹腔镜一期缝合、网膜补片修复以及 10 L 生理盐水腹腔灌洗。在莫里森窝和道格拉斯窝置入多通道引流管。术后处理包括治疗痰液积聚引起的肺不张,并于术后第四天拔管。术后第三天和第五天拔除引流管,无任何腹腔内感染并发症。术后第七天恢复经口进食。除术后立即进行呼吸系统管理外,患者未出现并发症,并于术后第22天出院。
 
 图 3.
 
   腹腔镜检查显示十二指肠前壁穿孔约10毫米(白色箭头),胆汁性腹水扩散至整个腹部(白色箭头)(图A、B)。
 
 腹腔镜手术端口放置示意图(图C)。
 |