| 
一名38岁的肥胖女性(BMI = 45),患有肾衰竭,于2016年3月初接受了肾移植手术,移植肾置于右下腹部。患者病史包括I型糖尿病,并有左小腿截肢术(1999年)和子宫切除术(2005年)的手术史。虽然肾移植手术在技术上很成功,但术后情况却很复杂。
×
马上注册,结交更多好友,享用更多功能,让你轻松玩转社区。
您需要 登录 才可以下载或查看,没有账号?注册  
 两周内,患者腹部伤口裂开,需要手术干预。两天后,手术引流管中检测到血液,需要进行第二次手术。4月12日,患者因左侧腹股沟疝引起的嵌顿性小肠梗阻而再次接受筋膜裂开手术。术中未观察到异常或活动性出血,并放置了三根引流管。此外,患者手术部位感染,加之伤口愈合不良,导致腹壁进一步薄弱,并伴有腹壁组织坏死。患者行手术清创去除坏死组织,但由于损伤程度过大,无法进行彻底的伤口闭合。当时的解决方案是仅使用皮下组织和皮肤层暂时闭合伤口。
 
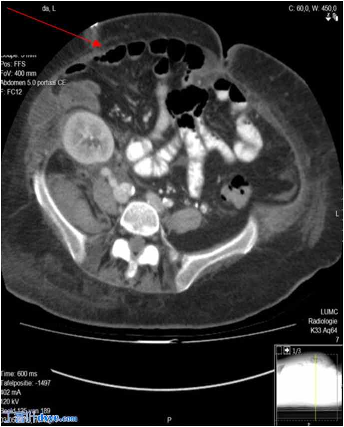
 2016年12月,患者经先前的肾移植切口实施剖腹手术,修复腹壁上皮缺损(LIH)。修复前,患者进行了CT扫描,如图1所示。由于腹壁缺乏筋膜,传统的重建技术(例如腹腔镜腹腔镜重建术)无法实施。因此,患者选择了一块20 × 25 cm的生物网片(Strattice™)作为筋膜桥接,如图2所示。生物网片置于腹腔内,直接覆盖腹壁的大面积缺损。保留血管丰富的疝囊,并将其缝合于腹壁前表面,覆盖生物补片 (Strattice™),提供自然加固并确保完全覆盖。在疝囊和 Strattice™ 补片之间放置 Jackson-Pratt 引流管,以防止积液。
 
 图 1.
 
   腹部计算机断层扫描 (CT) 横切面,显示 LIH(红色箭头)。
 
 图 2.
 
   在腹壁缺失部分,将生物补片 (Strattice™) 置于腹腔内并缝合。
 
 添加可吸收补片 (Phasix-Bard™) 作为第二层,以进一步增强重建效果。它提供临时机械支撑,并在降解过程中促进胶原蛋白的形成。将网片边缘缝合于腹壁,并用 Tissucol(纤维蛋白胶)固定于中心,以最大程度地减少组织张力并促进均匀附着,如图 3 所示。放置白色海绵以降低感染风险并促进术后负压伤口治疗 (NPWT)。
 
 图 3.
 
   通过添加覆盖网片 (Phasix-Bard™) 加固腹壁。将网片边缘缝合于腹壁(黄色箭头),并通过 Tissucol(黄色箭头)连接网片中心。
 |