仿气腹25孔3单端腔镜训练箱训练用单针/双针带线【出售】-->外科训练模块总目录
「训练教具器械汇总」管理员微信/QQ12087382[问题反馈]
开启左侧

剖宫产瘢痕异位妊娠子宫穿刺术后继发子宫动静脉畸形或子宫动脉假性动脉瘤1例报告

[复制链接]
发表于 2025-9-2 10:00:01 | 显示全部楼层 |阅读模式

马上注册,结交更多好友,享用更多功能,让你轻松玩转社区。

您需要 登录 才可以下载或查看,没有账号?注册

×
一名31岁的越南女性患者,孕2产1,因疑似妊娠入院。患者曾行一次剖宫产,无社会心理史。患者否认饮酒、吸烟或吸食大麻。家族史无异常。患者生命体征稳定。患者主诉月经推迟,轻微阴道出血,无腹痛。妇科检查显示,子宫大小与孕7周相符。窥器检查显示宫颈完全正常。β-人绒毛膜促性腺激素 (β-hCG) 水平为58,644 mUI/mL,确诊妊娠。超声扫描发现宫腔空虚,妊娠囊不规则,无胚胎,位于上次剖宫产疤痕部位附近约20毫米处。然而,由于多普勒超声检查可见血管增生,CSEP诊断与部分性葡萄胎(图1A、B)需仔细鉴别。患者在手术室超声引导下接受了宫腔穿刺术。术后,70克妊娠产物送检进行组织病理学检查(图2A、B)。总出血量为20毫升。24小时后,患者的β-hCG水平降至32,240 mUI/mL。

图1.
1.jpg
经阴道超声检查子宫矢状面显示,先前剖宫产部位存在多个低回声区域,并延伸至宫底(A)。经阴道彩色多普勒超声检查,诊断为剖宫产瘢痕异位妊娠,但由于存在血管丰富的肿块(B),无法排除部分性葡萄胎的可能。

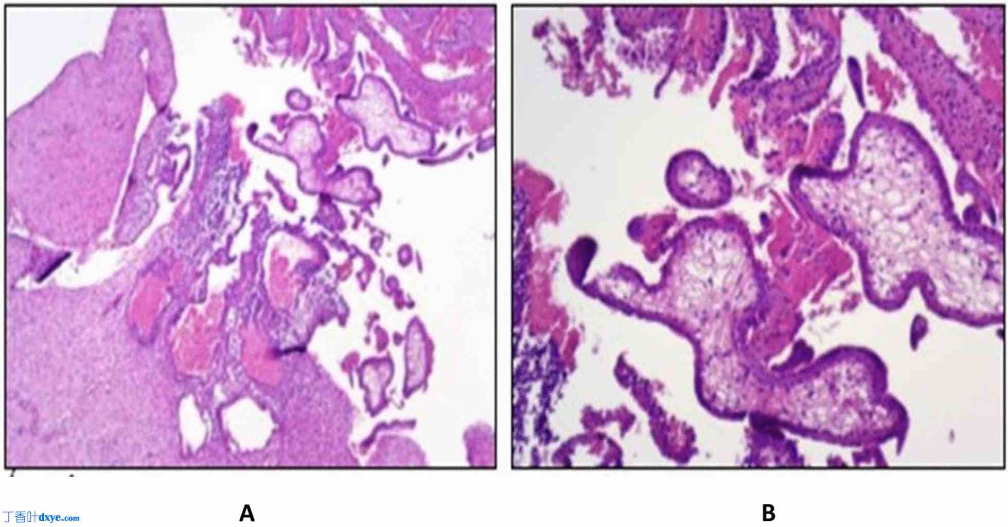
图 2.
2.jpg
苏木精-伊红染色显示滋养层组织与妊娠结构相对应(A 倍放大,B 倍放大)

患者每 2 周接受一次超声检查,发现异常血管增生(图 3A-D)。最初,患者还接受了两剂促性腺激素释放激素激动剂 (GnRH-a)。3 个月后,患者因先前剖宫产瘢痕处血管结构异常增生而再次入院。除少量褐色分泌物外,患者无任何症状,血流动力学稳定。β-hCG 水平测量为 14.59 mUI/mL。血清实验室检查结果完全正常。然而,肿块进展迅速。超声扫描显示一个大小为33 × 16 × 29 mm的富血肿块,其“湖”中心最高收缩期峰值速度 (PSV) 为41.4 cm/s,阻力指数 (RI) 为1.0(图4A、B)。先前剖宫产部位的残留子宫肌层厚度较薄。怀疑为动静脉畸形,需与假性动脉瘤鉴别。

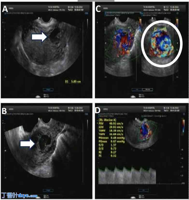
图3.
3.jpg
子宫下段前壁靠近先前剖宫产疤痕处(白色箭头)处可见一个无回声的复杂囊性结构,内含多个管状蛇形囊腔。该富血肿块位于剖宫产部位,推测为剖宫产疤痕妊娠。子宫内膜较薄,无宫内或宫外妊娠征象(A-C)。彩色多普勒超声子宫矢状切面显示子宫结构弯曲,动静脉混合血流、颜色混叠和血流倒流,收缩期峰值血流速度增快至40.92 cm/s,阻力指数低至0.27,提示可能存在动静脉畸形(白色圆圈)(D)。

图 4.
4.jpg
灰阶超声图像(黑白)显示子宫肌层内存在不规则、不均匀、低回声、弯曲的结构(白色箭头)(A)。扩张的血管呈螺旋状,类似于静脉曲张并伴有瘘管。观察到弯曲的扩张血管网络,并伴有湍流(B)。

会诊后,患者在超声引导下接受了腹腔镜检查,并对动脉瘤进行了压迫缝合。腹腔镜检查后,在子宫峡部左侧发现一个大小为 5 × 5 cm 的淡蓝紫色肿块(图 5A-D 和补充视频 1)。仔细压迫缝合了异常肿块并结扎了双侧子宫动脉(图 6A-D;补充视频 2)。此外,还进行了宫腔镜检查,以确保宫腔清空(补充视频3)。在手术室完成腹腔镜手术后,超声检查立即证实了手术干预后异常增生血管结构的消失(图7A,B)。总出血量为200毫升,未见严重出血。术后,患者再次接受一剂GnRH-a治疗。此外,还给予广谱抗生素治疗以预防术后感染。术后1个月,患者月经恢复。术后8个月随访期间,患者无并发症。月经规律。未见异常阴道出血和腹痛。超声检查证实动静脉畸形(AVM)完全消失。为了确保患者身心健康,干预后1年仍未计划怀孕。未来几年仍将监测其再次怀孕的情况。患者及其家人对团队为她治疗这一棘手病例深表感激。

图 5.
5.jpg
腹腔镜检查后,在左侧子宫蒂部肉眼可见一个异常突出的蓝色肿块(白色圆圈)(A-C)。彩色多普勒超声检查确定了动静脉畸形肿块的位置(D)。

图 6.
6.jpg
手术操作细致,包括压迫缝合和双侧子宫动脉结扎。术后突出的肿块(白色圆圈)完全消失(A-C)。多普勒超声检查未见湍流(D)

图 7
7.jpg
术后第二周(A)和术后一个月(B)的超声随访中,肿块缩小,血管分布逐渐消失
您需要登录后才可以回帖 登录 | 注册

本版积分规则

丁香叶与你快乐分享

微信公众号

管理员微信

服务时间:8:30-21:30

站长微信/QQ

← 微信/微信群

← QQ

Copyright © 2013-2025 丁香叶 Powered by dxye.com  手机版 
快速回复 返回列表 返回顶部