仿气腹25孔3单端腔镜训练箱训练用单针/双针带线【出售】-->外科训练模块总目录
「训练教具器械汇总」管理员微信/QQ12087382[问题反馈]
开启左侧

腹膜癌病的诊断陷阱:腹膜假粘液瘤一例

[复制链接]
发表于 2025-8-31 10:00:00 | 显示全部楼层 |阅读模式

马上注册,结交更多好友,享用更多功能,让你轻松玩转社区。

您需要 登录 才可以下载或查看,没有账号?注册

×
一名58岁女性患者入住白俄罗斯亚历山德罗夫国家癌症中心。患者总体体能状态评估为良好(东部肿瘤协作组,ECOG体能状态0)。患者于2023年9月29日在当地肿瘤医院接受诊断性腹腔镜检查和活检,初步诊断为原发性腹膜癌,cT3cN0M0 III期(FIGO)。腹膜癌指数(PCI)评分为14分。

患者接受了新辅助全身化疗,包括6个周期的紫杉醇(300毫克)和卡铂(700毫克),最后一次化疗于2024年2月8日完成。患者入院后,对原始组织学切片进行了全面检查,以重新评估诊断并指导进一步治疗。根据组织学检查结果,确诊为粘液癌,且肿瘤扩散模式与PMP相符。

胸部、腹部和盆腔CT扫描(静脉注射造影剂)显示肝周、脾周及盆腔内多处低密度积液(提示为粘蛋白)。在大网膜、小网膜及侧沟内发现聚集性腹膜沉积物,提示腹膜广泛受累。胸部和腹部器官未见其他病理改变。扫描区域淋巴结未肿大。未见骨质破坏或成骨细胞活动征象(图1-4)。

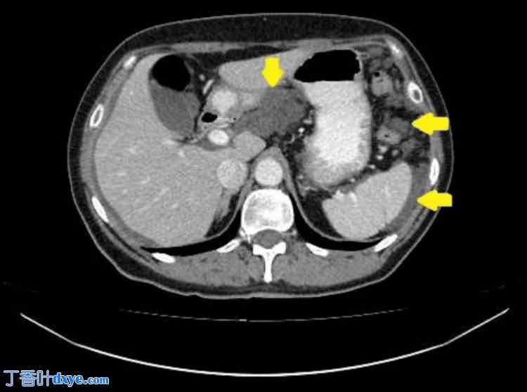
图1. 腹部和盆腔腹膜转移及局部积液的CT影像
1.jpg
箭头(从上至下)分别表示小网膜转移、左侧管转移和脾周积液。

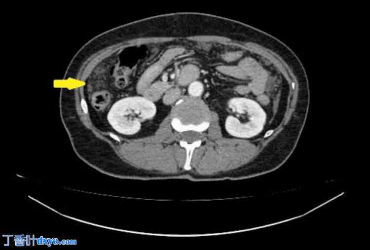
图 2. 腹膜转移及腹部和盆腔局部积液的 CT 成像。
2.jpg
箭头所示为右侧胆管转移灶。

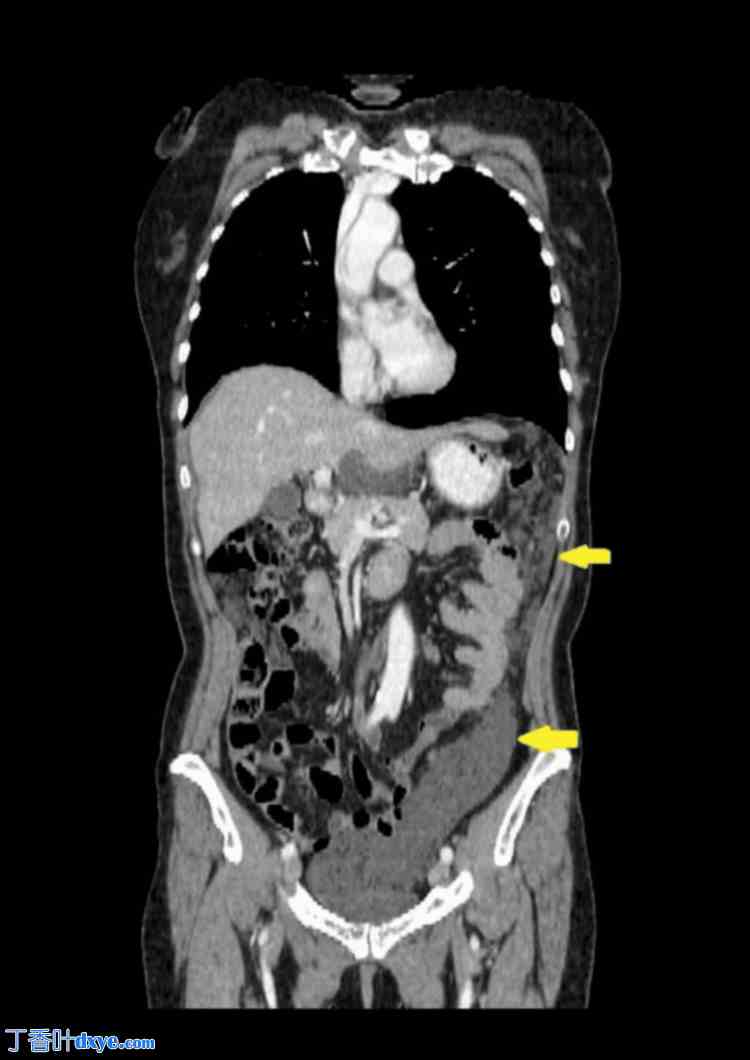
图3. 腹膜转移灶及腹部和盆腔局部积液的CT成像。
3.jpg
箭头所示为大网膜转移灶。

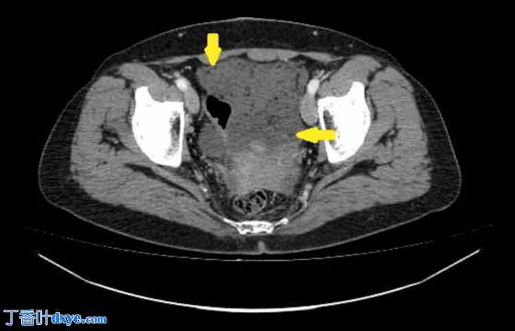
图4. 腹膜转移灶及腹部和盆腔局部积液的CT成像。
4.jpg
冠状面多平面重建。箭头所示为大网膜转移灶。

血清生化分析显示肿瘤标志物水平正常:CA 125 - 14.27 U/mL,CA 19-9 - 14.09 U/mL,癌胚抗原 (CEA) - 2.01 ng/mL。综合临床、实验室检查和形态学数据,初步诊断:PMP型播散性黏液性卵巢肿瘤,cT3cN0M0期(FIGO IIIC期)。考虑到肿瘤的组织学特征、播散范围以及既往化疗情况,多学科肿瘤委员会决定进行CRS治疗,目标是完全减瘤(减瘤完全性评分,CC0),随后以腹腔热灌注化疗(HIPEC)作为最终治疗阶段。

手术干预和腹腔热灌注化疗(HIPEC)

患者接受了从耻骨联合至剑突的全中线剖腹手术。术中探查腹腔时,发现多处肿瘤沉积:位于右半膈肌表面、肝包膜(Glisson囊)以及胆囊区域,并累及肝圆韧带。还发现大网膜大量肿瘤浸润;肿瘤已下降至盆腔并与子宫及附件粘连,形成单一融合性肿块(图5)。此外,盆腔和腹部区域可见多处融合性腹膜沉积,大小从10毫米到150毫米不等。根据确定的肿瘤播散范围,实施了细胞减灭术 (CRS),包括:全子宫切除术及双侧输卵管卵巢切除术、盆腔腹膜切除术、大网膜切除术及一段回肠全切除术、右结肠旁沟腹膜切除术、胆囊切除术、阑尾切除术、小网膜切除术、沿肝十二指肠韧带淋巴结清扫术、剥离右半膈腹膜以及清除小肠和大肠系膜中的肿瘤沉积物。所有可见肿瘤沉积物均已清除,达到完全肿瘤减灭术,相当于肿瘤减灭术完全性 (CC) 评分为 0 (CC0)。

图 5. 盆腔内肿瘤聚集。
5.jpg
在腹腔热灌注化疗 (HIPEC) 手术中,将三个配有温度探头的引流管置入腹腔,以便持续监测温度和溶液循环。腹壁水密缝合后,使用 ThermoChem HT-1000 系统进行 HIPEC 手术。腹腔内温度维持在 41-42°C,持续 60 分钟。化疗药物为顺铂,剂量为 170 毫克(相当于患者体表面积 100 毫克/平方米)。手术总时长为 9 小时 15 分钟。估计术中出血量约为 1000 毫升。
您需要登录后才可以回帖 登录 | 注册

本版积分规则

丁香叶与你快乐分享

微信公众号

管理员微信

服务时间:8:30-21:30

站长微信/QQ

← 微信/微信群

← QQ

Copyright © 2013-2025 丁香叶 Powered by dxye.com  手机版 
快速回复 返回列表 返回顶部