仿气腹25孔3单端腔镜训练箱训练用单针/双针带线【出售】-->外科训练模块总目录
「训练教具器械汇总」管理员微信/QQ12087382[问题反馈]
开启左侧

绝经期妇女腹部全子宫切除术及右侧输卵管卵巢切除术25年后罕见巨大卵巢卵泡膜瘤病例报

[复制链接]
发表于 2025-8-29 10:00:02 | 显示全部楼层 |阅读模式

马上注册,结交更多好友,享用更多功能,让你轻松玩转社区。

您需要 登录 才可以下载或查看,没有账号?注册

×
一名68岁的患者,曾两次阴道分娩,25年前因子宫平滑肌瘤和月经过多而行经腹全子宫切除术及右侧输卵管卵巢切除术。该患者因慢性盆腔痛,于25年前从消化内科转诊至妇科疼痛发作约18个月,症状为轻微、深部、持续性且每日发作。结肠镜检查未发现异常,泌尿道临床和影像学检查未发现肾脏输尿管膀胱病变。患者既往病史包括控制良好的动脉高血压和甲状腺功能减退症。家族史无异常。

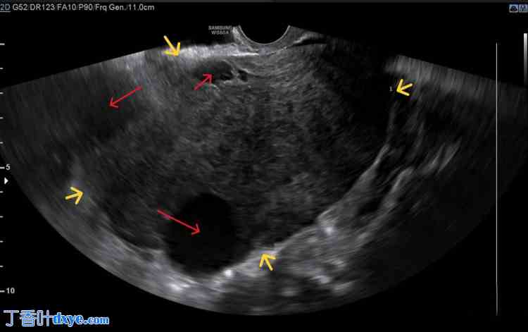
阴道检查时,发现一个大的无痛性盆腔肿块,位于道格拉斯陷凹内。经阴道超声检查显示一个边界清晰的回声肿块,包含实性和囊性成分,充满整个盆腔(图1)。

图1. 卵巢卵泡膜细胞瘤经阴道超声成像。
1.jpg
可见边界清晰的盆腔肿块(黄色箭头),主要为实性,并伴有少量囊性成分(红色箭头)。

计算机断层扫描 (CT) 证实了一个大的病灶,包含囊性和实性成分,呈不均匀强化,似源自左侧卵巢。道格拉斯腔内可见少量游离液体(图2)。

图2. 卵巢卵泡膜细胞瘤 CT 成像。
2.jpg
可见一巨大肿块,伴有不均匀强化(黄色箭头),源自左侧卵巢,占据道格拉斯腔。

磁共振成像 (MRI) 显示 T1 序列上病灶呈低信号。T2 序列上病灶呈低信号,并伴有囊性变性征象。病灶呈均匀强化,周围区域未见异常淋巴结(图 3)。

图 3. 卵巢卵泡膜细胞瘤的 MRI 图像。
3.jpg
病灶在 T1 和 T2 序列上均呈低信号(黄色箭头),并伴有囊性变性征象(红色箭头)。

术中发现一个大的卵巢肿块,主要为实性,伴有少量囊性成分,直径约15厘米。肿块楔入盆腔,但未见邻近组织浸润(图4)。

图4. 卵巢卵泡膜细胞瘤术中影像学检查。
4.jpg
可见实性卵巢肿块从盆腔伸出,未与邻近组织粘连。

结扎左侧漏斗骨盆韧带后,将卵巢肿瘤连同左侧卵巢及输卵管一起切除(图5)。

图5. 卵巢卵泡膜细胞瘤手术标本。
5.jpg
一个大的椭圆形外生卵巢肿块(卵巢卵泡膜细胞瘤)清晰可见。
您需要登录后才可以回帖 登录 | 注册

本版积分规则

丁香叶与你快乐分享

微信公众号

管理员微信

服务时间:8:30-21:30

站长微信/QQ

← 微信/微信群

← QQ

Copyright © 2013-2025 丁香叶 Powered by dxye.com  手机版 
快速回复 返回列表 返回顶部