仿气腹25孔3单端腔镜训练箱训练用单针/双针带线【出售】-->外科训练模块总目录
「训练教具器械汇总」管理员微信/QQ12087382[问题反馈]
开启左侧

类似卵巢扭转的腹股沟皮下血肿罕见表现:一例病例报告

[复制链接]
发表于 2025-8-27 10:00:01 | 显示全部楼层 |阅读模式

马上注册,结交更多好友,享用更多功能,让你轻松玩转社区。

您需要 登录 才可以下载或查看,没有账号?注册

×
一名36岁女性,G5P2032,最初因性交后两天出现左下盆腔绞痛而到急诊就诊。患者自述多年来断断续续出现类似症状。然而,此次发作期间疼痛剧烈,需要使用麻醉药。疼痛时还伴有恶心。患者几年前曾接受子宫切除术和双侧输卵管切除术。患者透露曾有左侧卵巢囊肿病史,但当时未进行切除。根据对患者的评估(包括详细病史、体格检查、盆腔检查以及影像学检查),作者怀疑她患有卵巢扭转。患者不寻常的就诊症状是,在疼痛发作时还出现左侧大型腹股沟血肿。患者承认过去性交后也出现过类似的腹股沟变色,但会自行消退。然而,此次就诊时,患者发现瘀伤比之前更大,持续时间更长。

体格检查发现左腹股沟皱褶处有一处11厘米大的浅表血肿,并向近端延伸至左耻骨上。该区域触痛。检查还发现左下腹触痛,窥器检查可见盆腔疼痛。阴道袖状带完好,无异常分泌物或出血。双合诊未触及卵巢。所有实验室检查和生命体征均在正常范围内。

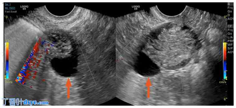
经阴道超声检查显示子宫已被切除。右侧卵巢未见显影。左侧卵巢尺寸为4.4 x 3.7 x 5.0厘米。检测到左侧卵巢静脉血流,但难以获得动脉血流。左侧卵巢囊肿较小,大小为 2.2 x 1.9 x 2.2 厘米,形态简单。左侧卵巢中央可见一回声区,大小为 3.6 x 2.8 x 3.0 厘米。未见附件肿块或盆腔积液。膀胱未见异常(图 1 和图 2)。

图 1.
1.jpg
经阴道彩色多普勒超声检查左卵巢,显示卵巢囊肿(箭头)。

图 2.
2.jpg
经阴道彩色多普勒超声检查左卵巢,显示卵巢囊肿(箭头)。

腹部 CT 扫描 (CT) 显示肺底清晰。肝脏、脾脏、肾上腺和胰腺未见异常。未见可疑肾脏肿块或肾积水。腹部未见游离液体或淋巴结肿大,未发现游离气体。小肠未见异常,无机械性梗阻证据。未见阑尾。结肠未见异常,无壁增厚或其他异常证据。未见积气或门静脉积气。盆腔CT扫描(图3)显示膀胱、直肠及直肠周围软组织未见异常。然而,左侧附件小囊肿可能是生理性的。未见明显的游离盆腔液体或淋巴结肿大。未发现急性骨性病变。双侧L5椎体部缺损,L5相对于S1呈2度前移。患者未发现盆腔内急性病变。

图 3.
3.jpg
盆腔 CT 无造影未见异常。

患者最终接受了诊断性腹腔镜检查,随后因疑似卵巢扭转而行左侧卵巢切除术。术中发现一个 2 厘米的左侧卵巢囊肿(图 4)。解剖学检查未发现腹腔镜蒂广泛扭转,卵巢组织灌注良好,这让人误以为患者仅出现单纯的盆腔绞痛,而非间歇性扭转症状。

图 4.
4.jpg
腹腔镜图像显示左侧漏斗骨盆韧带、左侧卵巢及左侧卵巢囊肿(橙色箭头)以及左侧盆腔侧壁的异常血管(蓝色箭头)。
您需要登录后才可以回帖 登录 | 注册

本版积分规则

丁香叶与你快乐分享

微信公众号

管理员微信

服务时间:8:30-21:30

站长微信/QQ

← 微信/微信群

← QQ

Copyright © 2013-2025 丁香叶 Powered by dxye.com  手机版 
快速回复 返回列表 返回顶部