仿气腹25孔3单端腔镜训练箱训练用单针/双针带线【出售】-->外科训练模块总目录
「训练教具器械汇总」管理员微信/QQ12087382[问题反馈]
开启左侧

揭开中年女性巨大盆腔肿块的面纱:忽视妇科护理的后果

[复制链接]
发表于 2025-8-24 10:00:00 | 显示全部楼层 |阅读模式

马上注册,结交更多好友,享用更多功能,让你轻松玩转社区。

您需要 登录 才可以下载或查看,没有账号?注册

×
图 1. 右侧边缘性卵巢肿瘤的冠状面 MRI 图像,大小为 21.46 cm x 28 cm。
1.jpg

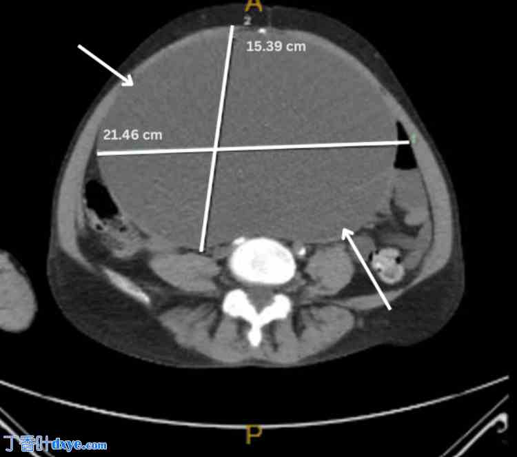
图 2. 右侧边缘性卵巢肿瘤的横断面 MRI 图像,大小为 21.46 cm x 15.39 cm。
2.jpg

图 3. 右侧边缘性卵巢肿瘤的矢状面 MRI 图像,大小为 28 cm x 15.39 cm。
3.jpg
患者被确定为适合手术。在向患者解释了开腹子宫切除术的风险、益处和替代方案后,获得了患者的知情同意。患者接受了全子宫切除术和双侧卵巢输卵管切除术。患者行从耻骨至脐上方的垂直正中腹部切口。采集盆腔冲洗液并送去术中病理检查。肿块从输尿管和盆腔下血管分离。巨大的卵巢肿块被完全切除,并被确诊为巨大的右侧卵巢囊肿。此外,由于患者自述已完成生育,因此进行了全子宫切除术。手术顺利完成,切口用缝合器缝合。

术中获取的组织活检结果显示卵巢组织学符合粘液性输卵管输卵管(BOT),其最大直径为32厘米。此外,输卵管上皮为良性,未见BOT侵犯,宫颈未见恶性肿瘤。术中获取的会阴冲洗液也显示细胞学检查结果为非恶性。进一步的卵巢组织学检查结果显示,PIK3CA、KRAS、IDH1和BRAF等肿瘤突变均为阴性。

患者术后各项指标均达标,并于术后第三天出院。患者接受了后续预约,缝合钉已被拆除,并且没有发现并发症。
您需要登录后才可以回帖 登录 | 注册

本版积分规则

丁香叶与你快乐分享

微信公众号

管理员微信

服务时间:8:30-21:30

站长微信/QQ

← 微信/微信群

← QQ

Copyright © 2013-2025 丁香叶 Powered by dxye.com  手机版 
快速回复 返回列表 返回顶部