| 
一名 31 岁男性患者,既往有单纯性右腹股沟疝病史,因右下腹剧烈疼痛(已持续一天)到急诊就诊。患者自述疼痛剧烈、渐进性、持续性、局限性、钝痛,伴有右腹股沟疼痛和肿胀、食欲下降、恶心,以及几次非血性、非胆汁性呕吐。患者否认发热、寒战、体重变化、排便习惯改变、黑便或便血。患者否认近期有任何损伤或外伤。患者既往病史包括烟草使用障碍、多种物质使用障碍和酒精使用障碍。患者否认既往手术史。抵达医院时,生命体征异常,心动过速,心率为每分钟 104 次。体格检查发现腹部膨胀,右下腹光触痛,肌紧张、反跳痛,右侧腹股沟疝疼痛,且无法复位。
×
马上注册,结交更多好友,享用更多功能,让你轻松玩转社区。
您需要 登录 才可以下载或查看,没有账号?注册  
 腹部和盆腔计算机断层扫描 (CT) 显示右侧腹股沟疝,疝内含脂肪,阑尾增大且发炎,并突入疝囊,同时可见腔外气体、少量腹水、腹膜炎症改变以及弥漫性肠管增厚(图 1 和图 2)。
 
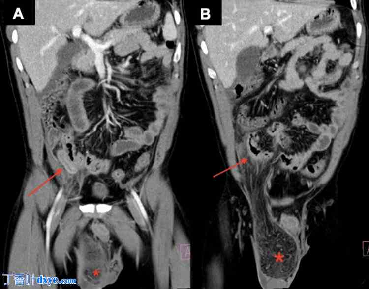
 图 1. 腹部和盆腔冠状位 (A 和 B) CT 图像,静脉注射造影剂后显示右侧阿米安疝 (Amyand's hernia),并伴有阑尾炎穿孔。
 
   X 射线影像显示阑尾发炎(红色箭头)并突入疝囊(红色星号)。
 
 CT:计算机断层扫描
 
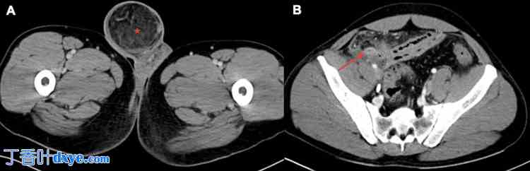
 图 2. 腹部和盆腔轴向(A 和 B)图像,静脉注射造影剂后显示右侧阿米安疝伴阑尾炎穿孔。
 
   X 线影像显示发炎的阑尾(红色箭头)突入疝囊(红色星号)。
 
 CT:计算机断层扫描
 
 患者开始静脉注射哌拉西林-他唑巴坦进行经验性抗生素治疗,并请普外科会诊。患者接受了腹腔镜阑尾切除术,结果显示化脓性腹膜炎和坏死阑尾突入腹股沟疝囊,周围有大量脓液。疝囊内的大网膜完整,易于复位至腹腔。鉴于该患者阑尾破裂伴有大面积化脓和炎症,医生决定在右下腹放置杰克逊-普拉特(Jackson-Pratt,JP)引流管,并根据分期手术推迟疝修补术。术后第7天,患者出现明显的弥漫性腹痛和腹胀,白细胞增多至18.84 × 103个/µL,且进一步恶化。血培养结果为阴性。再次进行腹部和盆腔CT扫描,并经口服静脉和静脉注射造影剂,结果显示右腰大肌前方有一3.5 x 4.9厘米的脓肿,下盆腔直肠前方有一4.4 x 6.6厘米的深盆腔脓肿,液体通过未闭的腹股沟管延伸至阴囊(图3)。
 
 图 3. 腹部和盆腔的矢状面 (A) 和轴向 (B 和 C) CT 图像,经口服和静脉注射造影剂后显示一个 3.5 x 4.9 cm 的右腰大肌脓肿(A,红色箭头),一个 4.4 x 6.6 cm 深的盆腔脓肿(B,红色箭头),以及通过开放的腹股沟管延伸到阴囊的液体,提示为脓肿而非反应性鞘膜积液(C,红色星号)。
 
   CT:计算机断层扫描
 |