仿气腹25孔3单端腔镜训练箱训练用单针/双针带线【出售】-->外科训练模块总目录
「训练教具器械汇总」管理员微信/QQ12087382[问题反馈]
开启左侧

急性胃扭转:食管裂孔疝的罕见并发症

[复制链接]
发表于 2025-7-13 10:00:02 | 显示全部楼层 |阅读模式

马上注册,结交更多好友,享用更多功能,让你轻松玩转社区。

您需要 登录 才可以下载或查看,没有账号?注册

×
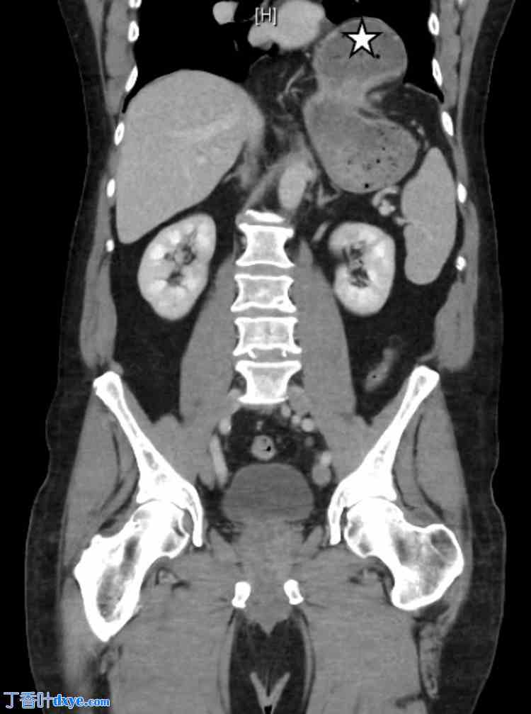
一名71岁男性,既往有脐疝修补术(使用网片)、高血压和胃食管反流病 (GERD) 病史,因胸腹痛伴呕吐到急诊就诊。症状于晚餐后出现,并逐渐加重,伴有腹胀和反复呕吐。未报告胃肠道出血的迹象。初始CT扫描显示,大量胃组织通过横膈膜突出至胸腔,无梗阻或穿孔征象(图1)。患者疑似胃肠炎和吞咽困难入院。

图1. 腹部CT扫描图像。
1.jpg
图像显示一个大的食管裂孔疝(标有星号)。

尽管住院第一天症状有所改善,但早餐后症状复发。尽管接受了止吐治疗,患者仍持续出现恶心和呕吐。置入鼻胃管进行胃减压。后续腹部X光检查显示明显的食管裂孔疝,大部分胃位于左半膈上方(图2)。钡剂食管造影显示一个大的滑动性食管裂孔疝,尽管患者禁食10小时,但胃内仍有液体和碎屑。钡剂食管造影也显示造影剂未从胃中排出,提示急性胃扭转(图3)。患者被诊断为嵌顿性食管旁疝和胃轴性胃扭转。

图2. 腹部X光片图像。
2.jpg
图像显示一个食管裂孔疝,大部分胃位于左半膈上方(标有星号)。

图3. 钡剂食管造影图像。
3.jpg
钡餐食管造影检查的连续图像。图像 A 和 B 显示食管裂孔疝,而图像 C 显示造影剂未从胃中排出,提示急性胃扭转。
您需要登录后才可以回帖 登录 | 注册

本版积分规则

丁香叶与你快乐分享

微信公众号

管理员微信

服务时间:8:30-21:30

站长微信/QQ

← 微信/微信群

← QQ

Copyright © 2013-2025 丁香叶 Powered by dxye.com  手机版 
快速回复 返回列表 返回顶部