| 
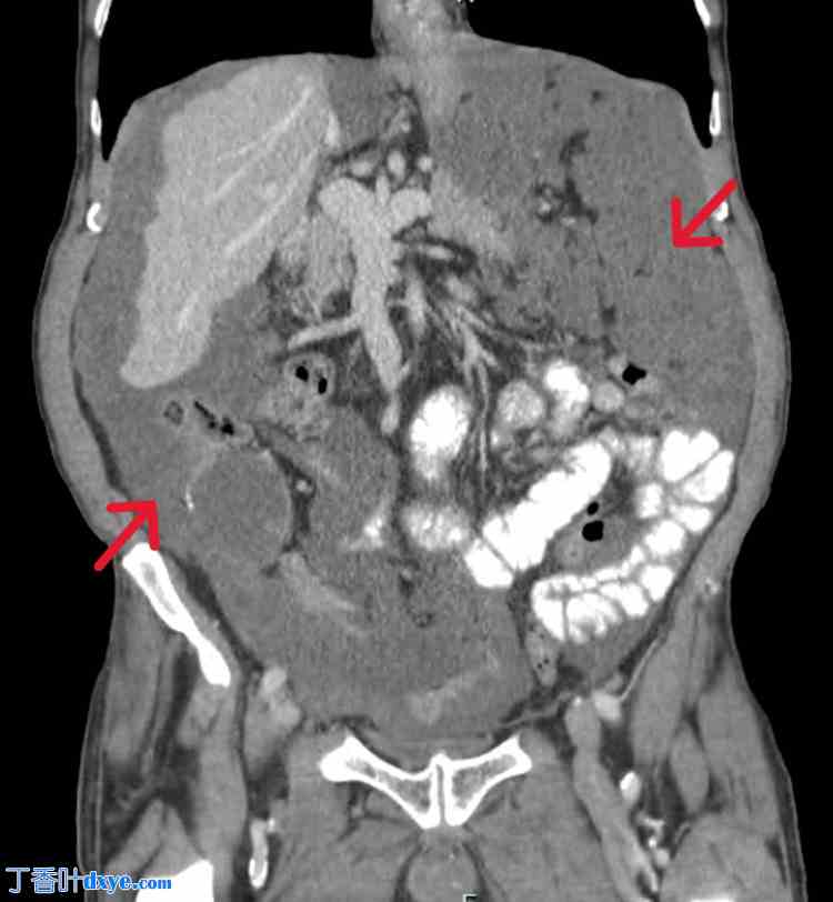
一名79岁男性,既往有缺血性心脏病、心脏瓣膜病史以及II型糖尿病,因全身腹痛、腹胀、体重减轻7公斤、腹围增加(就诊前两个月)就诊于急诊科。患者否认发热、盗汗、皮肤病变、便秘、腹泻和呕吐等症状。患者曾接受腹部CT扫描;扫描结果显示,腹膜内可见“肉芽肿”(图1-2)。
×
马上注册,结交更多好友,享用更多功能,让你轻松玩转社区。
您需要 登录 才可以下载或查看,没有账号?注册  
 图1. 腹部CT(冠状面)。
 
   红色箭头指向压迫所有主要腹膜内器官的肿块。
 
 图2. 腹部CT扫描(轴向面)。
 
   红色箭头指向假粘液瘤的病变部位。
 
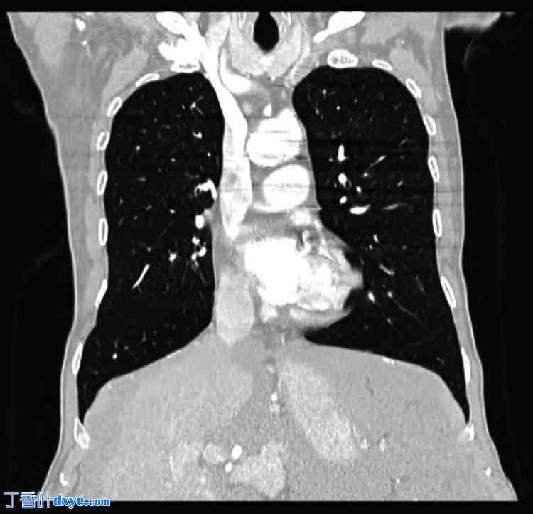
 患者的HIV、干扰素-γ释放试验和肝炎检测结果均为阴性。梅毒螺旋体检测(滴度稀释度1:1280)阳性提示为未经治疗的晚期梅毒,因此开始使用青霉素治疗。同时,进一步的诊断性检查包括胸部CT扫描(图3)、上消化道内镜检查(图4)和结肠镜检查(图5),均未发现梗阻和肿瘤的迹象。腹部MRI检查显示腹膜癌病征,提示肠道肿瘤,但无法确定其来源。
 
 图3. 胸部CT扫描(冠状面)。未观察到可疑病变。
 
   
 图4. 上消化道内镜检查未发现任何肿瘤征象。
 
   A:胃底; B:十二指肠
 
 图 5. 结肠镜检查,未见梗阻或病变。
 
   A:结肠;B:直肠
 
 在与普外科讨论后,患者被建议进行腹腔镜探查,并对腹膜病变进行切除活检(图 6)。组织学检查显示腹膜黏液腺癌。患者确诊后立即被转诊至一家参考医院的腹膜肿瘤科,并在那里开始姑息性腹腔内化疗。
 
 图 6. 腹部腹腔镜图像显示含有黏液性肿瘤的腹膜壁。
 
   |