仿气腹25孔3单端腔镜训练箱训练用单针/双针带线【出售】-->外科训练模块总目录
「训练教具器械汇总」管理员微信/QQ12087382[问题反馈]
开启左侧

原发性腹膜炎:一例神秘病例及文献探索——诊断挑战和治疗方法(病例报告)

[复制链接]
发表于 2025-7-8 10:00:00 | 显示全部楼层 |阅读模式

马上注册,结交更多好友,享用更多功能,让你轻松玩转社区。

您需要 登录 才可以下载或查看,没有账号?注册

×
患者信息:一名24岁女性,无特殊病史,因急性腹痛3天、发热、呕吐就诊于急诊科。此外,患者自诉10天前出现干咳。

临床表现:临床检查显示患者发热38.7°C,腹部弥漫性压痛,下腹部疼痛最明显。无血流动力学障碍(血压130/85 mmHg,心率85次/分)。此外,患者无白带。

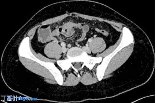
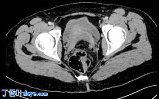
诊断评估:血液检查显示生物炎症综合征,伴有白细胞增多(15200个/立方毫米,C反应蛋白水平升高至65毫克/升)。脂血症和β-HCG水平正常。胸腹CT扫描显示腹腔内中等量游离积液,盆腔腹膜片增厚,但无气腹(图1)。CT扫描还显示少量炎性淋巴结。阑尾无肿大,卵巢呈多卵泡状(图2)。胸部CT扫描显示双侧基底实质实变,并伴有充气支气管征,与双侧基底肺炎相符。

图1.
1.jpg
腹腔内积液和盆腔腹膜片增厚

图2.
2.jpg
阑尾在CT扫描中显示正常

治疗干预:随后,患者接受了急诊腹腔镜检查。发现大量脓性积液,并伴有假膜(图3)。阑尾、卵巢、输卵管和胆囊均正常(图4、图5)。此外,空腔器官未见穿孔。采集细菌样本,进行腹腔清洁并进行阑尾切除术。同时,开始广谱随机肠外抗生素治疗,联合头孢曲松、甲硝唑和左氧氟沙星。腹腔液细菌学检查和血培养结果均为阴性。

图 3.
3.jpg
腹腔脓性积液

图 4.
4.jpg
术中探查:阑尾外观正常

图 5.
5.jpg
卵巢和输卵管外观正常

随访及结果:术后过程顺利,患者于术后第 5 天出院,并额外接受了 5 天的口服抗生素治疗。

患者视角:患者对治疗满意,一年后随访良好。
您需要登录后才可以回帖 登录 | 注册

本版积分规则

丁香叶与你快乐分享

微信公众号

管理员微信

服务时间:8:30-21:30

站长微信/QQ

← 微信/微信群

← QQ

Copyright © 2013-2026 丁香叶 Powered by dxye.com  手机版 
快速回复 返回列表 返回顶部