| 
本研究纳入了两名分别76岁和72岁的患者,他们均在尼什大学临床中心普通外科诊所的急诊科就诊。在详细收集病史后,两名患者均接受了实验室诊断。随后,他们接受了腹部平片、腹部超声检查、食管胃十二指肠镜检查 (EGD)、胃十二指肠通道成像和增强腹部CT扫描的评估。完成诊断检查后,两名患者均被送至手术室并接受了剖腹探查术。
×
马上注册,结交更多好友,享用更多功能,让你轻松玩转社区。
您需要 登录 才可以下载或查看,没有账号?注册  
 病例1:一名76岁的女性患者,因右上腹疼痛、恶心和胆汁性呕吐3天就诊。患者未报告呕血、黑便或任何其他严重合并症。该患者有胆结石和慢性胆囊炎病史。体格检查发现,患者右上腹和上腹部触痛。
 
 初步实验室检查仅发现轻微异常,如下:白细胞(WBC)计数为 19(×109/L),中性粒细胞百分比(Neu)为 91.1%,C 反应蛋白(CRP)为 92 mg/L,血糖(Glu)为 124 mg/dL,尿素为 76.1 mg/dL,肌酐(Crea)为 1.06 mg/dL,γ-谷氨酰转移酶(γGT)为 101 mg/dL,总胆红素(tBIL)为 1.42 mg/dL,直接胆红素(dBIL)为 1.13 mg/dL,乳酸脱氢酶(LDH)为 554 U/L,钠(Na)为 137 mEq/L,钾(K)为 4 mEq/L,血红蛋白(Hb)为 13 g/dL,血小板计数为35万个/微升。
 
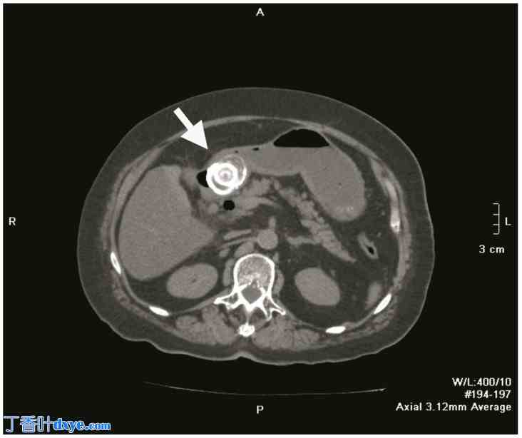
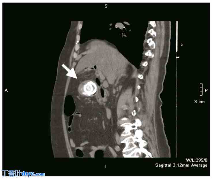
 腹部X线平片显示胃扩张,充满液体,有气腹征象(胆囊穿孔所致;但由于大网膜阻断,未出现继发性腹膜炎)和梗阻。右腰部可见4厘米钙化阴影。腹部超声检查显示胆囊部分扩张,壁厚,并有多个结石,符合慢性胆囊炎的诊断。后续增强腹部CT扫描证实十二指肠前段存在胆囊十二指肠瘘,近端十二指肠内有一颗3.9厘米×4.0厘米×4.0厘米的胆结石(图1和图2)。扫描结果还显示胆囊内有胆泥和结石,以及胃部膨胀、充满液体和无菌性胆汁。
 
 图 1.
 
   上腹部轴向非造影 CT 图像显示十二指肠球内嵌有一颗大的胆结石(白色箭头),这是布弗雷综合征的特征性表现;胆结石阻碍了胃液流出,并导致明显的胃扩张。在膨胀的胃内观察到气液平面。
 
 图 2.
 
   矢状面 CT 扫描显示一颗胆结石(白色箭头)嵌在十二指肠球内。
 
 行胃镜检查 (EGD),发现十二指肠前段有一颗 4 厘米的胆结石。临床表现和影像学检查结果符合布韦雷综合征(Bouveret’s syndrome),以胆囊十二指肠瘘和十二指肠球部巨大胆结石嵌顿为特征。
 
 患者随后被送至手术室进行剖腹探查术。术中发现胆囊与十二指肠之间存在严重的慢性炎症和粘连。经十二指肠对应的瘘口行胆囊切除术并修补胆囊十二指肠瘘。十二指肠采用合成可吸收缝线(3-0 Vicryl®,美国新泽西州拉里坦市 Ethicon 公司)分两层缝合闭合。结石远端小肠未扩张。从十二指肠取出的胆结石碎片尺寸为 3.9 cm × 4.0 cm × 4.0 cm(图 3、图 4 和图 5)。
 
 图 3.
 
   术中图像显示十二指肠切开术(白色箭头)及嵌顿胆结石(D—十二指肠)。
 
 图 4.
 
   术中图像显示嵌顿胆结石的取出(D—十二指肠)。
 
 图 5.
 
   取出的胆结石。
 
 术后,患者转入重症监护病房24小时,然后转入普通外科病房。术中及术后均未出现并发症。留置鼻肠管6天。患者接受了一段时间的强化康复治疗,包括物理治疗、全肠外营养以及逐渐恢复经口进食。术后住院10天,病情稳定出院,此时患者已停用全肠外营养(TPN),并可耐受全口进食。患者康复顺利,截至撰写本文时健康状况良好。
 
 病例报告2:一名72岁女性患者入院,因3天出现非特异性症状入院,包括食欲不振、恶心、呕吐水样褐色液体、上腹痛、腹胀和便秘。患者长期患有胆结石和慢性胆囊炎。体格检查发现患者一般状况不佳,低热、呼吸正常和心动过速。由于不适,患者主动活动困难。腹部触诊发现质地柔软,上腹轻微压痛,但无腹膜刺激征。“翻腾现象”阳性。
 
 实验室检查:白细胞计数 15 (×109/L)、中性粒细胞 (Neu) 89.3%、C 反应蛋白 (CRP) 85 mg/L、血糖 (Glu) 141 mg/dL、尿素 81.1 mg/dL、肌酐 (Crea) 1.23 mg/dL、γ-谷氨酰转移酶 (γGT) 91 mg/dL、总胆红素 (tBIL) 1.42 mg/dL、直接胆红素 (dBIL) 1.13 mg/dL、乳酸脱氢酶 (LDH) 554 U/L、钠 (Na) 138 mEq/L、钾 (K) 4.1 mEq/L、血红蛋白 (Hb) 14.8 g/dL、血小板计数 380,000细胞/μL。
 
 腹部超声检查发现胆囊塌陷,并有多个大小不一的胆结石,最大的一个直径为4.2 cm。这引起了对胆囊穿孔可能性的担忧。腹部普通X光片显示胆管内存在气体,或称气胆管(图6)。
 
 图6。
 
   腹部普通X光片显示胆囊内有胆道气肿(白色箭头)。
 
 近端内镜检查发现十二指肠球内有一枚2 cm的胆结石,呈黄绿色。球后壁黏膜糜烂充血,但无壁缺损迹象。通过胃十二指肠通道成像进一步诊断评估,证实存在十二指肠胆道瘘(图7)。十二指肠球部可见符合布韦雷综合征的椭圆形充盈缺损,最大的结石直径约6 cm(图8)。
 
 图7
 
   胃十二指肠通道示胆囊十二指肠瘘(黄色箭头),十二指肠内有嵌顿结石。十二指肠球部可见清晰的椭圆形充盈缺损(白色箭头)。
 
 图8
 
   胃十二指肠通道示多个椭圆形充盈缺损,清晰地位于十二指肠球部(黄色箭头),并延伸至十二指肠D1、D2和D3-D4段(白色箭头)。
 |