仿气腹25孔3单端腔镜训练箱训练用单针/双针带线【出售】-->外科训练模块总目录
「训练教具器械汇总」管理员微信/QQ12087382[问题反馈]
开启左侧

Roux-en-Y 胃绕道手术后十二指肠溃疡穿孔:一种不寻常的并发症

[复制链接]
发表于 2025-6-6 10:00:00 | 显示全部楼层 |阅读模式

马上注册,结交更多好友,享用更多功能,让你轻松玩转社区。

您需要 登录 才可以下载或查看,没有账号?注册

×
实验室检查结果未见异常。

胸部和腹部X光片未显示气腹。

腹部超声检查显示胆结石、胆囊壁增厚(> 5 mm)和少量肝周游离液体。

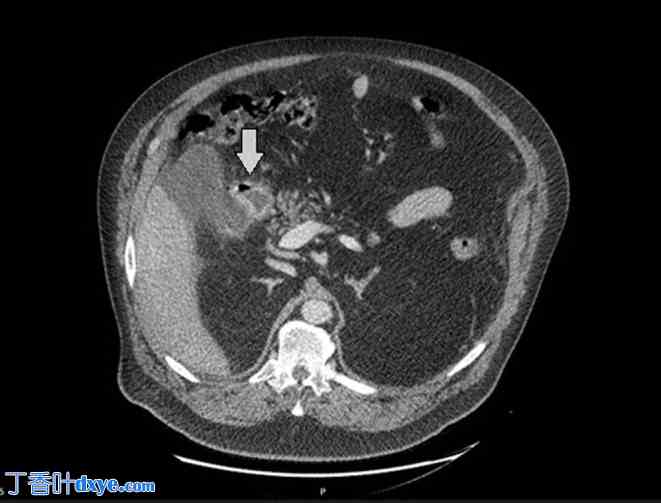
持续性疼痛导致腹部计算机断层扫描 (CT) 显示腹腔内游离液体、十二指肠壁增厚和游离气体(图 1 和图 2)。怀疑十二指肠穿孔。

图 1.
1.jpg
CT 显示十二指肠壁增厚和游离气体。

图 2.
2.jpg
CT 显示腹腔内游离液体。

治疗
患者接受了探查性腹腔镜检查,结果显示右侧象限有胆汁积液和化脓性腹膜炎。在十二指肠第二段 (D2),前壁可见一 10 毫米穿孔(图 3A 和 B)。胆囊检查未见异常。

图 3
3.jpg
(A 和 B) 十二指肠前壁穿孔。

使用亚甲蓝排除胃瘘。溃疡用可吸收倒钩缝线和网膜补片缝合。

结果与随访
术后过程顺利。术后 5 天进行上消化道造影剂造影 (UGI) 检查,显示造影剂及时排出,无渗漏,排除胃瘘(图 4)。

图 4
4.jpg
上消化道造影剂 ...持续静脉注射哌拉西林-他唑巴坦和氟康唑7天。术后第二天开始进食,患者于第7天出院,无任何并发症。医生开具了根除幽门螺杆菌(H. pylori)的处方,并终身服用质子泵抑制剂。
您需要登录后才可以回帖 登录 | 注册

本版积分规则

丁香叶与你快乐分享

微信公众号

管理员微信

服务时间:8:30-21:30

站长微信/QQ

← 微信/微信群

← QQ

Copyright © 2013-2026 丁香叶 Powered by dxye.com  手机版 
快速回复 返回列表 返回顶部