仿气腹25孔3单端腔镜训练箱训练用单针/双针带线【出售】-->外科训练模块总目录
「训练教具器械汇总」管理员微信/QQ12087382[问题反馈]
开启左侧

一例罕见的阑尾炎病例通过保守治疗成功治愈

[复制链接]
发表于 2025-5-23 10:00:00 | 显示全部楼层 |阅读模式

马上注册,结交更多好友,享用更多功能,让你轻松玩转社区。

您需要 登录 才可以下载或查看,没有账号?注册

×
一名47岁的女性患者,已知患有高血压和糖尿病。她既往手术史包括1年前因急性坏疽性阑尾炎接受开放性阑尾切除术。初次阑尾切除术中,阑尾根部结扎,但阑尾未完全切除,阑尾尖端因严重炎症和粘连而残留。

患者近期来我院急诊就诊,主诉脐周疼痛放射至右髂窝,持续一个月,呈渐进性发作,绞痛性,伴有呕吐5次和腹泻4次。疼痛不随体位或药物改变而改变。月经规律,量正常,持续5天。末次月经在就诊前5天。患者否认发热或使用非甾体抗炎药(NSIAD)的病史。无尿频、排尿困难或血尿病史。胃肠道方面,患者无便秘、黑便或便血病史。

体格检查:患者生命体征稳定:体温:36.8°C,血压:128/78 mmHg,心率:82次/分。患者面色良好,精神抖擞,精神矍铄。患者出现轻微疼痛。腹部检查:腹部松弛柔软,全身压痛,主要在右下窝。反跳痛和游走征阳性。除此之外,患者临床表现正常。

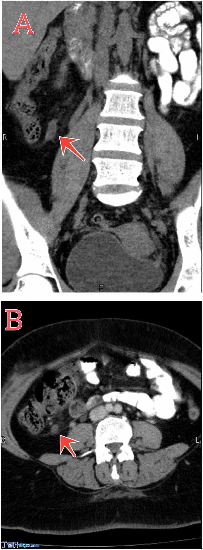
进一步检查以确诊,全血细胞计数显示白细胞升高,伴有左移,C反应蛋白 (CRP) 阳性,为16 g/L。妇科会诊排除任何妇科病因,超声检查结果正常。尿液分析结果正常。为此,患者既往有阑尾切除术病史,随后进行了腹部和盆腔增强CT扫描。CT结果显示残留阑尾远端炎症,伴有黏膜强化和周围轻度脂肪条带,证实了复发性阑尾炎的诊断(图1)。

图1
1.jpg
腹部盆腔CT扫描显示阑尾炎。(A和B)冠状面和轴向切面显示盲端管状结构的远端部分,该结构长约8毫米,起源于盲肠(红色箭头),伴有黏膜强化和周围轻度脂肪条带。

患者接受了两天的保守治疗,静脉注射头孢呋辛1.5毫克,每日三次,甲硝唑500毫克,每日三次,泮托拉唑40毫克,每日一次,以及对乙酰氨基酚1毫克,每日四次。随访CT扫描显示病情缓解(图2)。患者出院回家,全身状况良好,无并发症。

图2
2.jpg
随访腹部-盆腔CT扫描。(A和B)冠状面和轴向切面显示保守治疗后炎症消退(红色箭头)。
您需要登录后才可以回帖 登录 | 注册

本版积分规则

丁香叶与你快乐分享

微信公众号

管理员微信

服务时间:8:30-21:30

站长微信/QQ

← 微信/微信群

← QQ

Copyright © 2013-2025 丁香叶 Powered by dxye.com  手机版 
快速回复 返回列表 返回顶部