仿气腹25孔3单端腔镜训练箱训练用单针/双针带线【出售】-->外科训练模块总目录
「训练教具器械汇总」管理员微信/QQ12087382[问题反馈]
开启左侧

肠系膜缺损缝合在预防回盲肠切除术及Kono-S吻合术后内疝中的作用

[复制链接]
发表于 2025-5-24 10:00:03 | 显示全部楼层 |阅读模式

马上注册,结交更多好友,享用更多功能,让你轻松玩转社区。

您需要 登录 才可以下载或查看,没有账号?注册

×
一名39岁的男性患者,长期患有克罗恩病,出现胃出口梗阻和回结肠狭窄症状。他最初使用Pentasa、Humira和Stelara等药物治疗,但这些药物均无效。他因幽门和十二指肠狭窄接受了多次内镜球囊扩张术,但症状缓解仅是暂时的。由于失去保险,且随后无法继续生物治疗,他的症状恶化,转为流质饮食,导致体重显著下降和营养不良。

患者主诉进行性腹痛、恶心、反流和反复呕吐,最初呕吐物为棕色,随后为鲜红色血便,因此前往急诊就诊。他的排便次数稳定在每天1至2次,并有少量直肠出血,这是他的基线值。

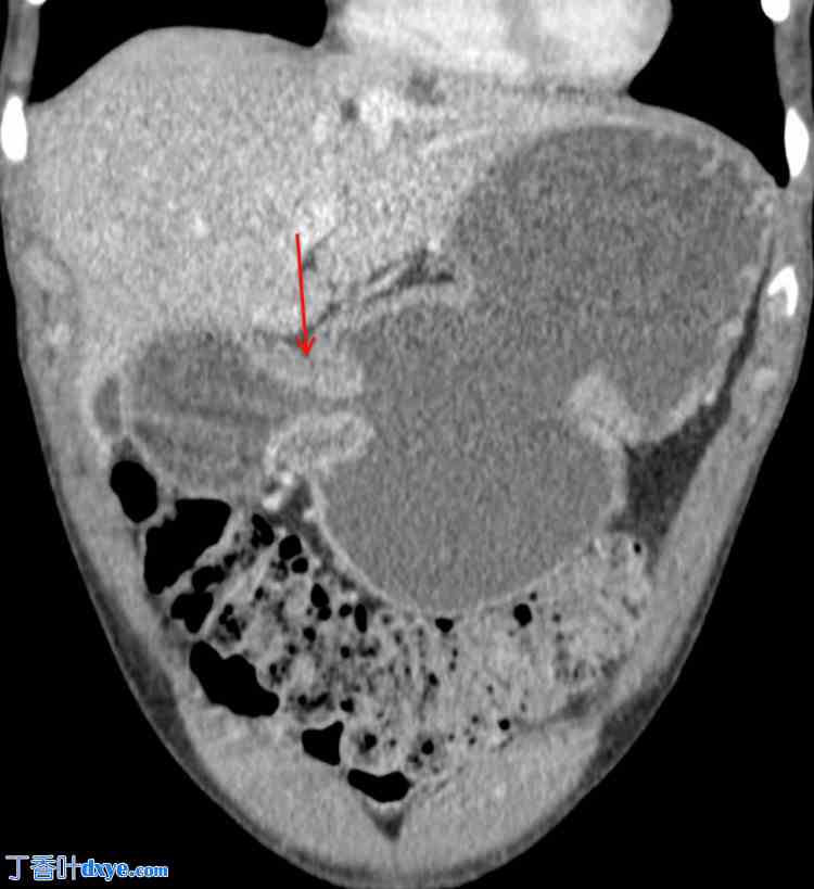
体格检查发现患者营养不良和间歇性腹胀。内镜检查和影像学检查等诊断评估证实回盲瓣和幽门管明显狭窄,并伴有纤维化狭窄和轻微活动性炎症(图1)。鉴于患者病情难治且对药物治疗反应不佳,医生认为有必要进行手术治疗。

图1. CT小肠造影(冠状位),患者胃部膨胀,幽门管狭窄(红色箭头),提示胃出口梗阻。
1.jpg
患者接受了机器人辅助结肠游离术,随后通过中线小切口进行体外Kono-S吻合术,切除受影响的回盲段。同时还进行了胃空肠吻合术,以绕过幽门和十二指肠狭窄。选择Kono-S吻合术是因为它能够有效降低吻合口复发率。手术初期无并发症,术后密切监测患者。

患者的围手术期疗程包括密切监测和营养支持,以解决患者先前存在的营养不良和体重下降问题。由于患者无法耐受固体食物,术前开始全肠外营养 (TPN) 治疗以改善其营养状况。术后,患者继续接受 TPN 治疗,并根据耐受情况逐渐过渡至流质饮食。监测参数包括连续腹部检查、每日生命体征监测以及频繁的实验室检查,例如全血细胞计数 (CBC)、代谢组和炎症标志物检测,以发现并发症的早期征兆。

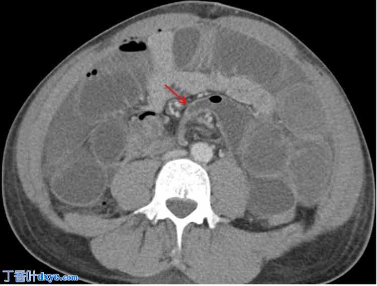
术后第二天,患者出现恶心、呕吐和腹胀。CT 扫描显示腹部中央、肠系膜内、手术吻合口近端存在小肠闭环梗阻(图 2、3)。这提示可能存在内疝或其他术后并发症。

图 2. 腹部及盆腔增强 CT(冠状位)显示小肠管弥漫扩张,结肠基本减压,吻合口附近可见过渡区(红色箭头)。过渡区代表正常口径肠管向扩张肠管过渡的点,指示梗阻部位,是确定潜在病变位置的关键发现。
2.jpg

图 3. 腹部及盆腔增强 CT(轴向位)显示小肠闭式梗阻(红色箭头),位于腹部中部肠系膜,靠近手术吻合口。
3.jpg
患者被立即送回手术室进行诊断性腹腔镜检查,随后进行探查性剖腹手术。术中检查结果显示,右结肠和末端回肠经回结肠系膜缺损处形成内疝(图4)。疝出的肠管已复位,并用间断丝线缝合肠系膜缺损。术中未见缺血征象,回结肠和胃空肠吻合口完好,无任何瘘管迹象。患者耐受饮食改善,并于术后第5天出院。

图4. 术中照片显示肠系膜漩涡(黄色箭头),这是内疝的标志性征象。该征象代表肠系膜血管扭曲,提示肠管穿过肠系膜缺损,该缺损在术中得到确认并随后得到修复。
4.jpg
您需要登录后才可以回帖 登录 | 注册

本版积分规则

丁香叶与你快乐分享

微信公众号

管理员微信

服务时间:8:30-21:30

站长微信/QQ

← 微信/微信群

← QQ

Copyright © 2013-2025 丁香叶 Powered by dxye.com  手机版 
快速回复 返回列表 返回顶部