仿气腹25孔3单端腔镜训练箱训练用单针/双针带线【出售】-->外科训练模块总目录
「训练教具器械汇总」管理员微信/QQ12087382[问题反馈]
开启左侧

坏死性胰腺炎患者脐疝修补术中意外出现乳糜性腹水一例报告

[复制链接]
发表于 2025-5-1 10:00:01 | 显示全部楼层 |阅读模式

马上注册,结交更多好友,享用更多功能,让你轻松玩转社区。

您需要 登录 才可以下载或查看,没有账号?注册

×
一名65岁男性因疝修补术入院。手术时患者无任何不适。病史包括高血压和胰岛素依赖型糖尿病。患者曾患胆结石、急性复发性坏死性胰腺炎和脐疝,但无饮酒史和吸烟史。

患者因疝修补术入院两年前,因胆石性胰腺炎反复发作而入院。CT扫描显示急性坏死性胰腺炎伴胆结石。胰尾部发现假性囊肿。不久后,患者接受了胆囊切除术。数周后,内镜超声检查显示胰腺炎进展,腹部出现弥漫性积液。患者置入了囊胃造瘘支架,以引流胰腺假性囊肿。

入院前18个月,腹部CT扫描显示上腹部游离液体增多,胰尾积液3.5 cm。胰腺坏死,并有中等量心包积液。

入院前13个月的腹部CT扫描显示弥漫性腹水,胰腺假性囊肿增大,小肠扩张(由胰腺炎症引起的无动力性肠梗阻引起),以及可能伴有腹水的小型中线腹部疝。肠系膜可见炎症改变,肝脏有轻度脂肪肝改变。全血细胞计数显示血细胞比容低,淋巴细胞低。全代谢检查显示总蛋白和白蛋白低,但肝酶、甘油三酯和胆固醇水平正常。

患者短期内病情相对稳定。入院前3个月,腹部CT扫描显示胰头新发肿块(图1、图2)。胰头和胰体部肿大压迫门静脉,导致近端脾静脉高度狭窄。主胰管和胆总管均扩张。肝脏中叶出现新的、边界不清的异质性低密度影,食管和胃内可见多处静脉曲张,提示门静脉充血。肠系膜淋巴结肿大,并伴有炎症改变。胰头肿块的细针穿刺活检结果送病理检查,结果为良性。当时,患者要求进行外科手术以修复疝气

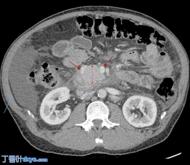
图1.
1.jpg
腹部CT扫描显示胰头巨大肿块(红色箭头)。上腹部可见适量游离液体(蓝色箭头)。

图 2.
2.jpg
腹部 CT 扫描显示一个 5.7×4.3 cm 的胰腺肿块(红色箭头)。此图为胰头肿块的第二个视图。

入院时,术前检查结果正常。插入腹腔镜后,发现腹水(图 3)。液体呈粘稠的乳白色,弥漫于腹部。患者有 2 个疝气囊,两个疝囊均向上延伸至腹前壁被乳糜液包围的囊袋中。术中,两个疝囊开始扩大并充满腹水(图 4)。外科医生进入疝气缺损处,打开乳糜积液,并清创了腹腔(图 5、6)。值得注意的是,肝脏在大体检查中看起来正常。术中引流腹水并送检细胞学检查。疝已修补,患者无任何不适。术后实验室检查结果显示碱性磷酸酶升高,但肝酶正常。病理诊断为不明原因的乳糜性腹水:淀粉酶15 U/L,总蛋白1.5 mg/dL,白蛋白0.6 mg/dL,甘油三酯700 mg/dL,抗酸杆菌阴性,血清腹水-白蛋白梯度(SAAG)为0.9 g/dL。腹水以白细胞为主,未分化细胞计数,未见上皮细胞或微生物。术后CT扫描显示胰头肿块外观未改变,导管扩张(图7)。门静脉汇合处高度狭窄仍然存在。患者情况良好,次日出院。

图 3.
3.jpg
腹腔镜检查中发现大量腹水。

图 4.
4.jpg
机器人固定疝囊。机器人和腹部可见乳糜性腹水。

图 5.
5.jpg
机器人固定疝囊。

图 6.
6.jpg
诊断性腹腔穿刺后完成疝修补。

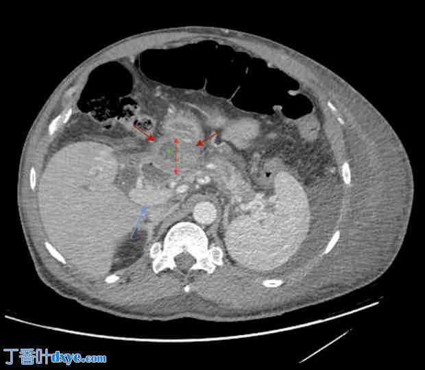
图 7.
7.jpg
胰头肿块外观无变化(红色箭头),伴门静脉高度狭窄(蓝色箭头)。胰头可见被包裹的坏死区域(绿色星号)。
您需要登录后才可以回帖 登录 | 注册

本版积分规则

丁香叶与你快乐分享

微信公众号

管理员微信

服务时间:8:30-21:30

站长微信/QQ

← 微信/微信群

← QQ

Copyright © 2013-2026 丁香叶 Powered by dxye.com  手机版 
快速回复 返回列表 返回顶部