仿气腹25孔3单端腔镜训练箱训练用单针/双针带线【出售】-->外科训练模块总目录
「训练教具器械汇总」管理员微信/QQ12087382[问题反馈]
开启左侧

单吻合口胃绕道手术后内疝:病例系列

[复制链接]
发表于 2025-4-29 10:00:00 | 显示全部楼层 |阅读模式

马上注册,结交更多好友,享用更多功能,让你轻松玩转社区。

您需要 登录 才可以下载或查看,没有账号?注册

×
病例 1
一名 20 岁女性患者,约两年前接受腹腔镜下小肠胃道 (SAGB) 手术后,出现持续数日的严重脐周绞痛。患者否认反流和呕吐病史。体格检查时,患者生命体征稳定,腹部柔软松弛,脐周和上腹部轻微压痛,无腹膜炎体征。

常规实验室检查结果均在正常范围内。腹部 X 光检查结果大致正常。患者几个月前接受的上消化道 (GI) 内镜检查显示边缘溃疡正在愈合。

腹部增强 CT 检查结果显示小肠空肠空肠套叠。未发现肠管扩张或梗阻的迹象。

患者接受了诊断性腹腔镜检查,术中发现存在高蠕动性 Omega 环。近端消化支扩张,远端小肠塌陷。远端消化支围绕肠系膜旋转,并经彼得森缺损形成内疝。患者接受了IH复位和彼得森缺损闭合术。术后情况平稳,2天后出院。

术中图片和CT图像如图1、2、3所示。

图1
1.jpg
术中经Petersen缺损形成的内疝图片(病例1)。

图2
2.jpg
术中图片显示内疝内容物减少(病例1)。

图 3
3.jpg
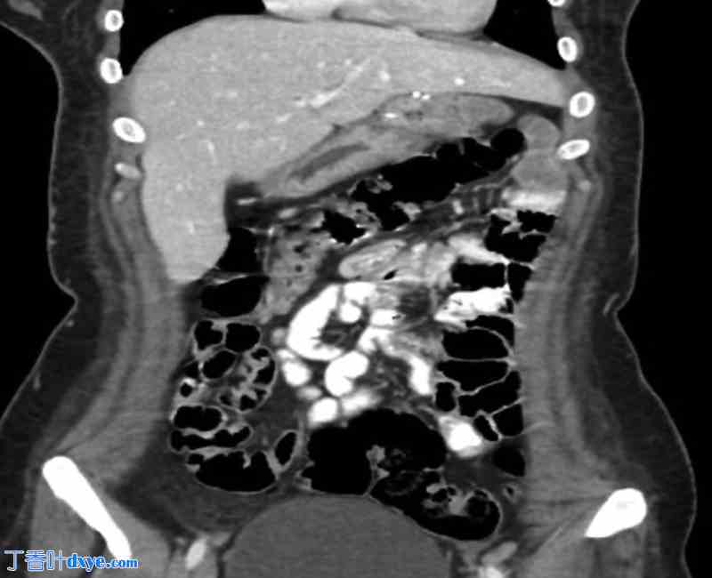
CT 图像显示肠系膜漩涡状结构和扩张的排除胃(病例 1)。

病例 2
一名 30 岁女性,约 1 年前曾接受过胃旁路切除术 (SAGB) 和食管裂孔疝修补术,因突发剧烈绞痛性腹痛就诊。患者无恶心、呕吐、腹胀或便秘。

患者生命体征稳定,腹部柔软松弛。脐周和上腹部压痛轻微,无肌紧张或肌强直。常规生化检查结果在正常范围内。腹部 X 光片大体正常。CT 上唯一显著发现是扩张的排除胃。

患者接受了诊断性腹腔镜检查。术中可见胆胰支进入 Petersen 缺损,导致肠系膜扭转。胆胰支复位成功,肠系膜缺损闭合。术后恢复顺利。

病例3
一位54岁的女性,约8年前曾患过胃旁路手术(SAGB),因持续性难治性反流就诊于减肥诊所。

作为症状评估的一部分,她接受了泛影葡胺(Gastrografin)检查,结果显示2级胃食管反流。上消化道内镜检查显示旁路术后解剖结构:下食管括约肌开放,伴有食管裂孔疝,并伴有胆汁反流。

她接受了诊断性腹腔镜检查,术中发现胃明显扩张。部分小肠扭曲,近端消化支扩张,并进入彼得森缺损。腹腔镜复位并闭合IH缺损,并将微创胃旁路术转换为RYGB。

术中图片及CT影像如图4、5、6所示。

图4
4.jpg
小肠内容物经Petersen缺损形成内疝(病例3)。

图5
5.jpg
内容物减少后(病例3)。

图6
6.jpg
CT扫描显示胃壁膨出(病例3)。

病例4
一名30岁女性,1年前接受胃旁路手术(SAGB)后,因突发腹部绞痛、恶心和便秘到急诊就诊。患者无反流、呕吐或腹胀病史。

患者生命体征稳定,腹部柔软,无任何局限性腹膜刺激征。常规生化检查未见异常。腹部CT扫描显示胃壁扩张。

患者接受了诊断性腹腔镜检查。术中可见胆胰管支经彼得森缺损进入。肠管复位后,缝合肠系膜缺损。术后情况平稳。
发表于 2025-4-29 15:37:33 来自手机 | 显示全部楼层
看看学习学习
您需要登录后才可以回帖 登录 | 注册

本版积分规则

丁香叶与你快乐分享

微信公众号

管理员微信

服务时间:8:30-21:30

站长微信/QQ

← 微信/微信群

← QQ

Copyright © 2013-2026 丁香叶 Powered by dxye.com  手机版 
快速回复 返回列表 返回顶部