仿气腹25孔3单端腔镜训练箱训练用单针/双针带线【出售】-->外科训练模块总目录
「训练教具器械汇总」管理员微信/QQ12087382[问题反馈]
开启左侧

一名 42 岁女性,患有复发性胰腺炎,伴有胆结石和Phrygian帽胆囊

[复制链接]
发表于 2025-4-29 10:00:00 | 显示全部楼层 |阅读模式

马上注册,结交更多好友,享用更多功能,让你轻松玩转社区。

您需要 登录 才可以下载或查看,没有账号?注册

×
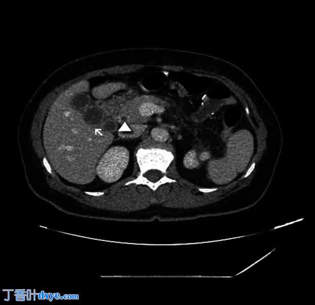
一名 42 岁女性因急性胰腺炎入院。她既往病史包括小肠切除术、子宫切除术及附件切除术、肠系膜淋巴结切除术、阑尾切除术和因神经内分泌肿瘤 (NET) 而进行的网膜切除术。她还接受过生长抑素治疗,并因复发性肾结石放置了输尿管支架。她有复发性腹痛病史,在入住我院之前,3 个月前因急性胆源性胰腺炎转入另一家医院。临床检查:右腹部压痛,无其他腹部体征。血液检查显示白细胞 (WBC) 计数 12.65×103/uL,C 反应蛋白 (CRP) 0.57 mg/dl,脂肪酶 4230 U/l。急诊腹部CT扫描显示胆囊和胆道内有微结石,胆管壁增厚(图1)。考虑到胆道内可能存在CT未显示的胆结石,作者进行了T2加权磁共振胰胆管造影(MRCP),结果显示胆囊胆总管结石(图2)。然而,只有3D冠状位重建图像才怀疑胆囊异常(图3)。

图1.
1.jpg
术前检查。腹部CT扫描显示胆囊壁增厚(箭头所示),胆总管扩张(三角形所示)。此外,胆囊的扭曲外观模拟了两个不同腔室的存在。

图2.
2.jpg
术前检查。在T1加权序列中,磁共振胰胆管造影证实了胆囊胆总管结石的存在。

图3
3.jpg
术前检查。在T2加权序列中,磁共振胰胆管造影在冠状面上显示弗里吉亚帽胆囊(箭头所示),具有典型的扭曲外观。

手术过程中,在进行棘手的粘连松解后,作者确认了弗里吉亚帽胆囊(图4),其单侧胆囊管与主胆管相连。在进行胆囊切除术之前,作者进行了安全性关键视图 (CVS),以确认胆囊的解剖结构,并表明可以安全地进行胆囊切除术。内镜医师取出插入胆囊管的导丝,并在括约肌切开术后清除胆管中的小结石。术后血检结果显示白细胞计数 (WBC) 9.61×103/uL,CRP 0.02 ng/mL,脂肪酶 47 U/l。患者术后3天出院,住院4天。手术标本组织学检查显示胆囊内有多处结石和中度炎症。3个月随访未见异常。患者目前仍在我院接受常规肿瘤随访。

图 4.
4.jpg
术中图像。弗里吉亚帽胆囊(箭头)和胆总管(三角形)。
您需要登录后才可以回帖 登录 | 注册

本版积分规则

丁香叶与你快乐分享

微信公众号

管理员微信

服务时间:8:30-21:30

站长微信/QQ

← 微信/微信群

← QQ

Copyright © 2013-2025 丁香叶 Powered by dxye.com  手机版 
快速回复 返回列表 返回顶部