仿气腹25孔3单端腔镜训练箱训练用单针/双针带线【出售】-->外科训练模块总目录
「训练教具器械汇总」管理员微信/QQ12087382[问题反馈]
开启左侧

腹壁穿透性损伤的机器人评估与修复

[复制链接]
发表于 2025-4-27 10:00:00 | 显示全部楼层 |阅读模式

马上注册,结交更多好友,享用更多功能,让你轻松玩转社区。

您需要 登录 才可以下载或查看,没有账号?注册

×
一名20多岁的患者走进急诊室,左侧中后腰部有一处刀伤,无活动性出血,伤势发生在入院前不久。送至急诊室前,已取出一把大小和类型不明的刀。患者血流动力学稳定,血压117/72 mmHg,心率93次/分,体温36.7°C,呼吸频率20次/分,外周血氧饱和度99%。患者体质指数为46,属于三级肥胖,腹部手术存在一定难度。患者无显著既往病史、手术史、家族史或社会心理史。体格检查发现,左侧中后腰部一处8厘米长的裂伤周围有局部压痛,无腹膜炎体征。在此次紧急就诊中,不存在经济或医疗资源匮乏的诊断难题。

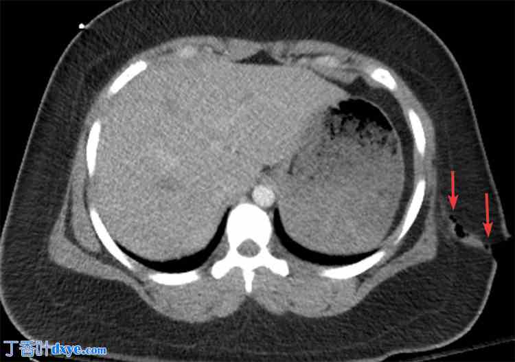
直立式胸部X光片未见气胸和血胸,但显示膈下游离气体(图1)。创伤超声检查重点评估未见腹腔内游离液体。患者接受了胸部、腹部和骨盆的增强CT扫描,未发现胸部或可见的腹腔内器官损伤;左侧腰部有一处穿透性软组织损伤,损伤呈斜行轨迹,从胸部腋后线开始,并伴有大网膜疝入腹腔(图2-3)。

图1. 直立式胸部X光片,包含腹部部分。
1.jpg
右膈下腹腔内游离气体用长箭头标记,左中腰部皮下气体用短箭头标记。

图 2. 增强 CT 扫描,左侧腹部皮肤和皮下脂肪的穿透性伤口轴向视图。
2.jpg
伤口用箭头标记。

图 3. 增强 CT 扫描,左侧腹部肌肉穿透性伤口轴向视图,伤口进入腹膜,伴有大网膜疝出。
3.jpg
疝出的大网膜用箭头标记。

为了评估腹腔内损伤并修复腹壁,选择了机器人辅助腹腔镜手术(DaVinci - Intuitive Surgical,加州桑尼维尔)。在腹腔充气前冲洗并缝合伤口,以维持气腹。腹腔镜检查排除了内脏和膈肌损伤,并观察到一个3 x 5 cm的腹壁缺损,该缺损位于半月线外侧(图4)。由于伤口污染,腹壁缺损的原发性组织修复在机器人辅助下进行,未使用补片。使用0号可吸收倒钩自锁缝合线(V-Loc™),缝合线内所有可见层均缝合完整(图5)。手术时长为1小时23分钟。

图4. 术中照片:网膜脂肪从穿透性腹壁缺损处突出。
4.jpg

图5. 机器人修复腹壁缺损后的术中照片。
5.jpg
箭头标记的是0号可吸收倒钩自锁缝合线(V-Loc™)与腰部肌肉和筋膜的缝合线。

患者对手术耐受良好,并于第二天出院,情况稳定。手术一周后复诊,患者出现轻微术后血清肿,但无需干预即可消退。术后12个月进行了电话随访。经询问,患者在12个月复查时否认手术区域有任何疼痛、肿胀或皮肤变化。
您需要登录后才可以回帖 登录 | 注册

本版积分规则

丁香叶与你快乐分享

微信公众号

管理员微信

服务时间:8:30-21:30

站长微信/QQ

← 微信/微信群

← QQ

Copyright © 2013-2025 丁香叶 Powered by dxye.com  手机版 
快速回复 返回列表 返回顶部