仿气腹25孔3单端腔镜训练箱训练用单针/双针带线【出售】-->外科训练模块总目录
「训练教具器械汇总」管理员微信/QQ12087382[问题反馈]
开启左侧

炎症性囊性输卵管内异位症:苗勒氏管畸形的诊断挑战和治疗——病例报告

[复制链接]
发表于 2025-4-10 10:00:02 | 显示全部楼层 |阅读模式

马上注册,结交更多好友,享用更多功能,让你轻松玩转社区。

您需要 登录 才可以下载或查看,没有账号?注册

×
, 一名 48 岁的女性,有慢性盆腔疼痛病史,且在过去 12 个月内病情逐渐恶化。该女性报告没有不规则阴道出血、性交困难或胃肠道或泌尿问题的迹象。她已绝经四年,未接受任何针对绝经期的激素治疗。她的主要病史仅限于原发性不孕症。然而,她的手术史引人注目,包括 14 年前因良性卵巢肿块而进行的腹腔镜检查,期间未发现多发性囊性形成。她还在 9 年前进行了宫腔镜子宫内膜息肉切除术,并在 35 岁时进行了胆囊切除术。

盆腔检查发现一个坚硬、无压痛、固定的肿块,其最大直径为 7 厘米,位于左侧。窥器检查未发现宫颈异常,但道格拉斯宫腔内有一个坚硬、突出的 6 厘米肿块。

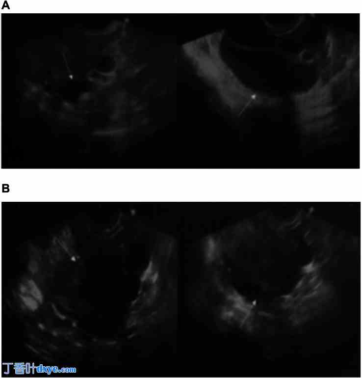
经阴道超声成像显示,道格拉斯宫腔内有一个边界清晰的圆形多囊肿块(6 厘米),内容物为均质囊性。子宫底周围有多个无回声囊性结构(图 1)。血清 CA125 水平正常。

图 1。
1.jpg
经阴道超声检查发现一个边界清晰的圆形多囊肿块,大小为 6 厘米,特征是位于子宫直肠的均质囊性内容物。B:在子宫底部周围观察到多个无回声囊性结构。

考虑到她的症状和超声检查结果,一周后她被送往作者科室对这些可疑肿块进行诊断性腹腔镜检查。

在腹腔镜检查过程中,子宫底部和部分子宫体广泛植入多个半透明囊性结构,类似于莫尔根包虫,但质地更坚硬。这些囊性病变也位于左侧附件区域周围,将卵巢和输卵管包裹在一个 6 厘米的蓝色囊性肿块中,没有外泌赘生物(图 2)。

图 2。
2.jpg
A:腹腔镜下囊性输卵管异位症可视化:左卵巢、输卵管和子宫表面有多处囊性病变。B:一个大的 6 厘米多房性囊肿,呈蓝色,有来自子宫后壁的蒂,类似于左卵巢囊肿。

盆腔腹膜、膀胱腹膜或道格拉斯囊未见囊性病变。大网膜、肠道表面和上腹腔未受累。也没有盆腔子宫内膜异位症或粘连的迹象。囊液样本和一些完整囊肿被送去进行组织病理学检查。

未进行术中研究,例如冰冻切片分析或快速细胞学评估。这一决定受到作者机构中此类诊断设施有限的影响,该机构主要服务于资源受限的环境。尽管存在这些限制,作者还是尽一切努力收集足够的样本,进行彻底的术后组织病理学分析,以确保诊断的准确性。

作者对囊性病变进行了囊肿切除术,而不是腹腔镜子宫全切除术和双侧输卵管卵巢切除术 (TLHBSO)。

组织学结果显示,囊壁由类似输卵管类型的鳞状和圆柱形纤毛上皮衬里。囊壁被含有成纤维细胞的纤维组织包围,通常被看起来正常的子宫肌层组织包围。虽然存在一些蜕膜细胞,但没有发现子宫内膜基质。细胞学检查显示组织细胞和罕见的炎症细胞。

最终诊断为红肿性囊性输卵管内异位症。
您需要登录后才可以回帖 登录 | 注册

本版积分规则

丁香叶与你快乐分享

微信公众号

管理员微信

服务时间:8:30-21:30

站长微信/QQ

← 微信/微信群

← QQ

Copyright © 2013-2026 丁香叶 Powered by dxye.com  手机版 
快速回复 返回列表 返回顶部