仿气腹25孔3单端腔镜训练箱训练用单针/双针带线【出售】-->外科训练模块总目录
「训练教具器械汇总」管理员微信/QQ12087382[问题反馈]
开启左侧

左侧阑尾炎显示内脏反位:诊断挑战和紧急外科治疗策略——病例报告

[复制链接]
发表于 2025-4-14 10:00:00 | 显示全部楼层 |阅读模式

马上注册,结交更多好友,享用更多功能,让你轻松玩转社区。

您需要 登录 才可以下载或查看,没有账号?注册

×
,作者报告了一名 67 岁患者的病例,该患者有重大病史,包括 40 岁时诊断出的回盲部结核病(未记录),随后在 60 岁时发生心肌梗死 (MI),为此进行了冠状动脉搭桥手术。患者还有缺血性中风病史,接受了药物治疗。

患者因左髂窝和腰部局部疼痛被送入急诊室,临床提示为乙状结肠炎,尤其是考虑到他的年龄和饮食习惯。临床检查显示患者意识清醒,血流动力学稳定(血压:15/7,心率:76 bpm),呼吸频率为 18 次/分钟。腹部检查显示左侧腰部普遍存在肌紧张,延伸至左髂窝。直肠指检未发现特殊发现。其他系统检查正常。生物测试显示白细胞增多至 23 000/mm3,CRP 为 1 mg/L。尿培养呈阴性。

紧急 CT 扫描显示内脏反位(图 1),左侧高位阑尾炎(图 2)。

图 1。
1.jpg
CT 扫描显示内脏反位。

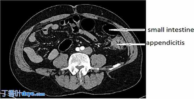
图 2。
2.jpg
左侧高位阑尾炎。

在获得知情同意并向患者提供病例信息后,经过补液、质子泵抑制剂 (PPI)、抗生素治疗和镇痛等准备后,患者被转入手术室。紧急探查性腹腔镜检查证实了 CT 发现:盲肠后阑尾炎,Douglas 囊内有少量腹腔积液(图 3)。仔细从肠系膜分离阑尾,然后进行阑尾切除术(图 4)、灌洗和引流。

图 3。
3.jpg
盲肠后阑尾炎,腹腔积液较少。

图 4。
4.jpg
阑尾切除术。
您需要登录后才可以回帖 登录 | 注册

本版积分规则

丁香叶与你快乐分享

微信公众号

管理员微信

服务时间:8:30-21:30

站长微信/QQ

← 微信/微信群

← QQ

Copyright © 2013-2026 丁香叶 Powered by dxye.com  手机版 
快速回复 返回列表 返回顶部