仿气腹25孔3单端腔镜训练箱训练用单针/双针带线【出售】-->外科训练模块总目录
「训练教具器械汇总」管理员微信/QQ12087382[问题反馈]
开启左侧

阑尾粘液肿瘤:病例报告

[复制链接]
发表于 2025-4-11 10:00:00 | 显示全部楼层 |阅读模式

马上注册,结交更多好友,享用更多功能,让你轻松玩转社区。

您需要 登录 才可以下载或查看,没有账号?注册

×
,一名 34 岁男性,无重大病史,因右髂窝疼痛到急诊室就诊,提示急性阑尾炎。腹痛不典型,位于中腹部,疼痛轻微,开始后 12 小时,然后定位到腹部右下象限 (RLQ),在入急诊室前 4 天开始。还伴有恶心、食欲减退和便秘。无腹泻或发烧,未使用止痛药。无相关手术、家族、药物、过敏、医疗或心理社会史。血液检查显示 D-二聚体水平升高 (647 ng/ml),无白细胞增多症,无中性粒细胞增多症。体格检查显示右下象限中度肌性阻力,McBurney 和 Blumberg 征阳性。腹部超声检查显示盲肠处有一个低回声二尖瓣环肿块,最大直径为 85 mm,结肠周围有积液(阑尾回盲部扩张,管腔低回声,壁层增厚,周围脂肪弥漫性高反射)(图 1)。随后,进行腹部 CT 扫描,显示阑尾肿块具有粘液囊肿的特征(图 2),阑尾严重液性扩张,直径为 13 × 7 cm。随后进行腹腔镜探查(图 3),发现阑尾内有肿瘤性肿块。由于粘连并为了避免肿块破裂,进行了开腹手术。最后,阑尾成功切除,术中无破裂,术后恢复顺利,患者于两天后出院。组织学检查(图 4)显示阑尾高级别粘液肿瘤局限于粘膜下层(pT3),伴有急性蜂窝织性阑尾炎。患者被送往专科腹膜切除术科,两个月后接受右回盲部切除术和预防性 HIPEC。决定进行预防性 HIPEC 是因为患者年龄较小,手术风险相对较低,且浆膜下层存在粘液湖。第二次手术的组织学检查未显示局部或播散性肿瘤的迹象。

图 1。
1.jpg
腹部超声检查:回盲阑尾扩张,管腔低回声,壁层增厚,周围脂肪弥漫高反折。

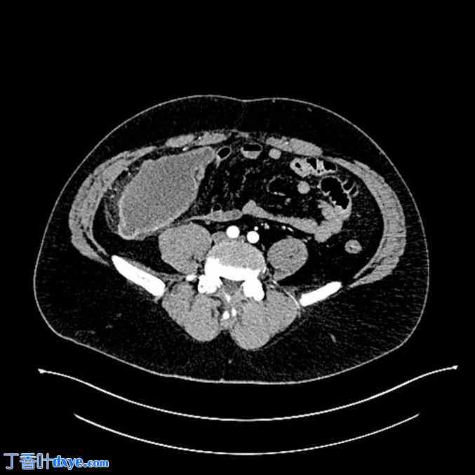
图 2。
2.jpg
腹部CT扫描显示阑尾增大,直径13×7厘米。

图3。
3.jpg
阑尾肿瘤的初始腹腔镜手术屏幕截图。

图 4。
4.jpg
显微镜下发现包括高级别细胞学(即增大、深染色、多形性细胞核和非典型有丝分裂图)以及阑尾壁中存在粘液湖。
您需要登录后才可以回帖 登录 | 注册

本版积分规则

丁香叶与你快乐分享

微信公众号

管理员微信

服务时间:8:30-21:30

站长微信/QQ

← 微信/微信群

← QQ

Copyright © 2013-2025 丁香叶 Powered by dxye.com  手机版 
快速回复 返回列表 返回顶部