仿气腹25孔3单端腔镜训练箱训练用单针/双针带线【出售】-->外科训练模块总目录
「训练教具器械汇总」管理员微信/QQ12087382[问题反馈]
开启左侧

14 岁女孩孤立性输卵管扭转并发输卵管积水:病例报告

[复制链接]
发表于 2025-4-2 10:00:00 | 显示全部楼层 |阅读模式

马上注册,结交更多好友,享用更多功能,让你轻松玩转社区。

您需要 登录 才可以下载或查看,没有账号?注册

×
,一名 14 岁女孩,因过去 2 天突然出现严重的右侧下腹部疼痛和呕吐而到急诊室就诊。疼痛不伴有发烧、发冷、肠道或泌尿系统症状或异常阴道分泌物。患者报告过去没有发生过类似情况。自 6 个月前初潮以来,她的月经周期为 35 天,月经出血正常。患者没有性交,也没有妇科或腹部手术史。

体格检查时,她的生命体征正常,血压为 110/70 mmHg,脉搏率为 98/min,体温为 98.3oF,SpO2 为 99%。作者观察到 Tanner 3-4 期的第二性征正常发育。腹部检查显示右髂窝压痛,未触及肿块,无腹膜刺激征象或脏器肿大。肠鸣音正常。常规血液检查显示血红蛋白为 11.6 g/dl,白细胞轻度增多为 11,300 个/mm3。尿液分析正常,妊娠试验阴性。所有其他参数均在正常范围内。经腹部超声检查 (USG) 显示子宫正常,左右卵巢正常。右侧附件可见一个大的管状扩张囊性病变,大小为 8.0 × 3.7 cm,多普勒未见血流,与多普勒有血流的右侧卵巢分开,这些特征提示右侧输卵管严重积水(图 1)。道格拉斯窝内未见游离液体。磁共振成像 (MRI) 显示,右侧附件有一个扩张的、管状的、卷曲的病变,与右侧卵巢分开,主要含有液体,没有内部分隔,这些特征似乎再次提示有单独的大型右侧输卵管积水(图 2)。

图 1。
1.jpg
经腹部超声检查显示右侧附件有大型管状扩张囊性病变,与右侧卵巢分离,提示右侧输卵管积水严重。

图 2。
2.jpg
骨盆磁共振成像 (MRI)。T2 加权 (A) 轴向、(B) 冠状和 (C) 矢状图显示,右侧附件中存在管状、扩张、盘绕的充满液体的结构,与右侧卵巢分离。

鉴于这些发现和疑似并发症,患者于当天住院。开始静脉注射抗生素、静脉注射对乙酰氨基酚和静脉注射昂丹司琼以治疗恶心和呕吐。第二天在全身麻醉下进行了诊断性腹腔镜检查。在手术过程中,作者观察到右侧输卵管增大,出现扭转,其中右侧输卵管在其自身轴线上扭转 3 次并出现坏疽(图 3),同时,右侧卵巢看起来正常,没有缺血迹象。尝试扭转输卵管,但输卵管无法成功扭转。鉴于输卵管严重坏死的迹象,为避免进一步并发症,实施了右侧输卵管全切除术。大体手术标本尺寸为 10 × 3.5 × 3 厘米,后来的组织病理学证实切除的结构是输卵管,管壁出血性坏死,没有恶性肿瘤的证据(图 4)。术后过程顺利,随访中她仍保持良好状态。

图 3。
3.jpg
孤立性右侧输卵管扭转的腹腔镜视图。

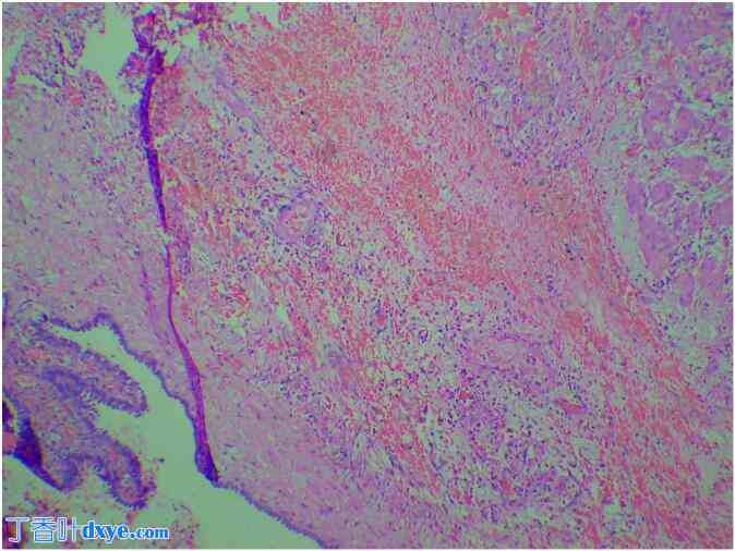
图 4。
4.jpg
标本的组织病理学显示输卵管管腔扩张,皱襞扁平。管壁上有出血灶和出血性坏死。
您需要登录后才可以回帖 登录 | 注册

本版积分规则

丁香叶与你快乐分享

微信公众号

管理员微信

服务时间:8:30-21:30

站长微信/QQ

← 微信/微信群

← QQ

Copyright © 2013-2026 丁香叶 Powered by dxye.com  手机版 
快速回复 返回列表 返回顶部