仿气腹25孔3单端腔镜训练箱训练用单针/双针带线【出售】-->外科训练模块总目录
「训练教具器械汇总」管理员微信/QQ12087382[问题反馈]
开启左侧

十二指肠结肠瘘和胆囊结肠瘘:一例罕见病例报告

[复制链接]
发表于 2025-4-7 10:00:03 | 显示全部楼层 |阅读模式

马上注册,结交更多好友,享用更多功能,让你轻松玩转社区。

您需要 登录 才可以下载或查看,没有账号?注册

×
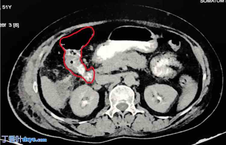
患者接受口服和静脉注射造影剂进行腹部增强 CT 扫描,结果显示胆囊窝内有 2.6 x 2.3 x 2.3 cm 大小的积液(图 1)。积液中可见气液水平。口服造影剂后,十二指肠第二部分与肝曲之间存在可疑连通,因为造影剂在完全遮盖回盲部和盲肠之前已到达横结肠。此外,还发现了一条从肝曲延伸至胆囊窝的线性通道,该通道充满造影剂,长度约为 6.3 mm。

图 1. 增强扫描显示造影剂从横结肠泄漏到胆囊窝。
1.jpg
最初,她接受了静脉广谱抗生素和静脉输液,并开始接受肠外营养。随后,她被允许口服高蛋白流质食物。移除了波纹橡胶引流管。第二次腹部增强 CT 检查采用直肠阳性造影剂,结果显示胆囊窝积液与结肠肝曲连接处存在瘘管(图 2)。

图 2. 增强扫描显示造影剂到达横结肠及更远处,盲肠和升结肠无造影,疑似十二指肠结肠瘘。
2.jpg
方格 2 中的圆圈区域分别显示十二指肠(左上角标记)和横结肠和降结肠(右下角标记)

通过保守治疗,患者的症状有所改善。引流伤口的排出量减少到最低水平,患者在整个住院期间保持稳定。引流伤口形成了健康的肉芽组织。她逐渐被允许食用软食,她对此适应良好。在重复腹部超声检查中没有观察到潜在的积液,该超声检查是为了寻找积液。经过七天的保守治疗,她以稳定的状态出院。在 14 天后的随访中,患者的症状有所好转,伤口健康,重复腹部超声检查未发现潜在的积液。
您需要登录后才可以回帖 登录 | 注册

本版积分规则

丁香叶与你快乐分享

微信公众号

管理员微信

服务时间:8:30-21:30

站长微信/QQ

← 微信/微信群

← QQ

Copyright © 2013-2026 丁香叶 Powered by dxye.com  手机版 
快速回复 返回列表 返回顶部