仿气腹25孔3单端腔镜训练箱训练用单针/双针带线【出售】-->外科训练模块总目录
「训练教具器械汇总」管理员微信/QQ12087382[问题反馈]
开启左侧

血管栓塞线圈移位致肝内结石复发性胆管炎1例

[复制链接]
发表于 2025-4-5 10:00:00 | 显示全部楼层 |阅读模式

马上注册,结交更多好友,享用更多功能,让你轻松玩转社区。

您需要 登录 才可以下载或查看,没有账号?注册

×
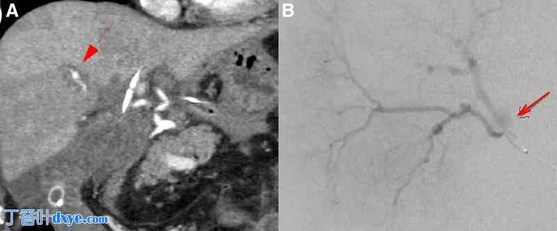
一名 44 岁男性患者因反复出现胆管炎和黄疸,从之前的医院转诊至进一步评估。患者报告 2 年前在院接受胆管肠吻合术,因为他在另一家医院接受腹腔镜胆囊切除术时胆管损伤导致胆汁漏出,随后接受胆管肠吻合术治疗。患者在胆道重建术后第 6 天出现胆管出血和突然出现剧烈腹痛。急诊 CT 显示肝动脉动脉瘤破裂(A8;图 1A)。因此,患者接受了 IVR 治疗(图 1B)。此后,患者恢复顺利,并在之前的医院定期随访。

图 1.
1.jpg
胆道重建术后观察到胆道出血。 (A) 提示增强 CT 扫描,结果显示肝内动脉瘤 (➡)。(B) 实施了紧急 IVR。血管造影显示 A8 肝动脉动脉瘤破裂 (➡),该动脉瘤 2 年前已成功栓塞止血。CT = 计算机断层扫描,IVR = 介入放射学。

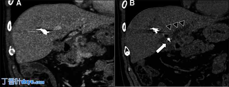
住院期间,增强 CT 显示用于栓塞 A8 肝动脉的线圈的一部分已移位到肝门 (图 2A)。此外,还观察到肝内胆管扩张 (图 2B)。

图 2。
2.jpg
2 年前动脉瘤线圈栓塞后进行的 CT 扫描与入院时的 CT 扫描对比。 (A) 2 年前胆道重建手术后,肝动脉 (A8) 动脉瘤线圈栓塞后进行的 CT 扫描。 (B) 入院时的 CT 扫描显示线圈部分移位至肝门 (➡),同时肝内胆管扩张 (▲)。 CT = 计算机断层扫描。

根据这些结果,进行了双气囊内窥镜检查 (DBE)。 DBE 显示在吻合口处确定了以线圈为中心的结石 (图 3A)。 同时无法取出结石,因此放置了塑料支架 (图 3B)。 在第二次 DBE 期间,使用 8 毫米球囊扩张吻合口,然后使用破碎篮将结石碎裂 (图 4A),成功取出结石。 使用篮钳取出结石时确认线圈包含在内 (图 4B)。

图 3。
3.jpg
双气囊内窥镜检查结果。(A)在胆管空肠吻合口处观察到带有线圈的半透明物,大小为 15 毫米。(B)由于取石困难,放置了塑料支架。

图 4。
4.jpg
进行了第二次 ERC。(A)使用碎石机抓取器将结石碎裂。(B)成功取出了带有线圈的结石。
您需要登录后才可以回帖 登录 | 注册

本版积分规则

丁香叶与你快乐分享

微信公众号

管理员微信

服务时间:8:30-21:30

站长微信/QQ

← 微信/微信群

← QQ

Copyright © 2013-2025 丁香叶 Powered by dxye.com  手机版 
快速回复 返回列表 返回顶部