仿气腹25孔3单端腔镜训练箱训练用单针/双针带线【出售】-->外科训练模块总目录
「训练教具器械汇总」管理员微信/QQ12087382[问题反馈]
开启左侧

成人胆总管囊肿:病例报告

[复制链接]
发表于 2025-4-4 10:00:02 | 显示全部楼层 |阅读模式

马上注册,结交更多好友,享用更多功能,让你轻松玩转社区。

您需要 登录 才可以下载或查看,没有账号?注册

×
大乳头看起来很小,乳头切开术后有变化,胆汁自发流出。使用三腔括约肌切开器进行插管,荧光透视检查确认亲水导管在主胆管中的位置正确,允许注射离子水溶性造影剂。观察到多个充盈缺损,提示大结石约为 1 至 2.5 厘米,同时胆总管和肝管明显扩张,均呈梭形(图 1)。胆囊管、胆囊和主胰管未充分显影,未进行胰腺造影。诊断结论包括肝管和胆总管梭形扩张(可能是 IA 型胆总管囊肿,而非 IC 型胆总管囊肿),胆总管结石未解决。

图 1. 内镜逆行胰胆管造影。
1.jpg
图像显示胆总管扩张,并伴有造影剂,显示存在多个充盈缺损(胆总管囊肿内的结石)。

增强腹部计算机断层扫描

肝脏处于正常位置,形态和大小均保持完好,边缘清晰。实质呈现适当的回声。肝内胆管扩张达 10 毫米。胆囊处于正常位置,壁增厚达 3.7 毫米,胆囊周围水肿,异质内容物包含多个边界清晰的高密度椭圆形图像。胆总管在整个过程中扩张,胰腺内部分达 34 毫米,包含多个结石(图 2)。

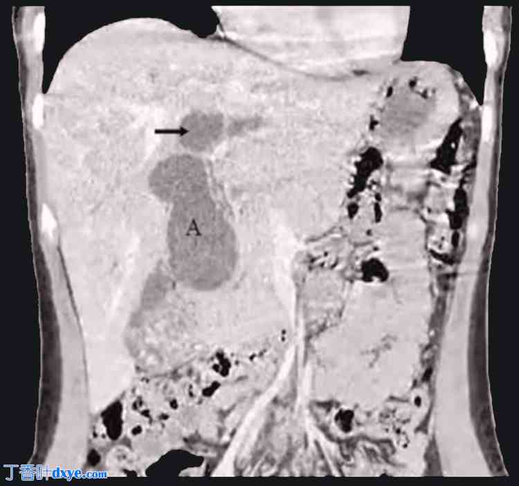
图 2. 增强腹部计算机断层扫描。
2.jpg
该胸腹冠状切面显示肝内外胆管均有明显扩张。从十二指肠上部到肝总管(箭头)均观察到扩张的胆总管 (A),以及左肝管和右肝管。

患者已做好准备,并计划于 2023 年 10 月接受开放式胆囊切除术、胆总管囊肿切除术和胆道消化改道术。术中发现如下:胆囊折叠,尺寸约为 70 × 30 毫米,壁薄,内有多个结石,胆囊管较短。胆总管全长明显扩张,内有结石,归类为 Todani 1-A 型囊肿(图 3)。对胆囊和囊肿进行了整块切除术。在隆突处,发现了两个右肝管,一个正常大小,一个发育不全,以及一个正常的左肝管。两个右肝管都含有结石和胆泥。取出结石,并进行彻底冲洗。胆道重建采用单平面 Roux-en-Y 型肝空肠造口术进行,留置引流管。

图 3. 手术标本照片。
3.jpg
胆总管(A)和胆囊(B)的阻断切除术。胆总管囊肿最大直径为 5 厘米。胆囊尺寸为 7 x 3.2 厘米。
您需要登录后才可以回帖 登录 | 注册

本版积分规则

丁香叶与你快乐分享

微信公众号

管理员微信

服务时间:8:30-21:30

站长微信/QQ

← 微信/微信群

← QQ

Copyright © 2013-2026 丁香叶 Powered by dxye.com  手机版 
快速回复 返回列表 返回顶部