仿气腹25孔3单端腔镜训练箱训练用单针/双针带线【出售】-->外科训练模块总目录
「训练教具器械汇总」管理员微信/QQ12087382[问题反馈]
开启左侧

[普外] 机器人体内全缝合改良 Kono-S 吻合术

[复制链接]
发表于 2025-3-3 00:00:04 | 显示全部楼层 |阅读模式
 楼主| 发表于 2025-3-3 00:00:05 | 显示全部楼层
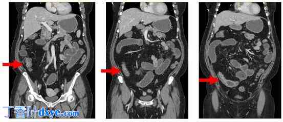
- 55 岁女性
- 10 年克罗恩氏回肠炎病史
- 多种生物制剂治疗失败,复发性阻塞局限于狭窄的回肠
. CT 显示 15 厘米狭窄段,无任何近端病变
. PSH:腹腔镜胆囊切除术

1.jpg
CT

2.jpg
端口布局

3.jpg

4.jpg
 楼主| 发表于 2025-3-3 00:00:06 | 显示全部楼层
,体内全缝合改良Kono-S吻合术是近年来针对克罗恩病(CD)回盲部切除术(ICR)后预防吻合口复发的改良手术技术,结合了传统Kono-S吻合术的特点与全缝合技术的优势。以下从技术特点、临床效果及研究进展等方面综合分析:

一、技术特点与改良方向
1. 传统Kono-S吻合术的原理  
   传统Kono-S吻合术通过构建支撑柱(supporting column)和侧侧吻合口,减少术后肠腔狭窄风险。其核心步骤包括纵向切开肠管断端、形成三支支撑柱,再行侧侧吻合,形成宽大的吻合口。

2. 全缝合改良的关键点  
   - 手工缝合替代吻合器:改良技术采用全手工缝合,避免吻合器可能导致的钛钉残留或异物反应,降低术后感染风险。  
   - 优化缝合方式:如借鉴改良Mason-Allen桥式缝合技术,增强组织抓持力,防止撕裂,同时减少吻合口张力,促进愈合。  
   - 肠系膜处理:部分研究建议切除部分肠系膜以减少炎症复发风险。

二、临床效果与证据支持
1. 复发率对比  
   - 一项多中心随机对照试验(364例CD患者)显示,传统Kono-S吻合术与侧侧吻合术在术后12-18个月的内镜复发率无显著差异(31.5% vs. 34.3%)。  
   - 系统评价指出,Kono-S吻合术与传统吻合术的吻合口复发率相似,但缝合侧侧吻合可能更优。  
   - 改良全缝合技术可能通过减少异物刺激和优化血流供应,进一步降低远期复发风险,但需更多数据支持。

2. 适应症与患者选择  
   - 改良Kono-S更适用于狭窄型(B2)或穿透型(B3)CD患者,尤其是术前Harvey-Bradshaw指数(HBI)提示中度活动性疾病的患者,因其复发风险较高。  
   - 需结合生物制剂治疗:术后3-6个月的内镜评估后,生物制剂的使用虽未显著影响复发率,但对高风险患者可能辅助维持缓解。

三、手术注意事项与术后管理
1. 术中操作要点  
   - 需精确控制缝合间距(通常1-2mm),避免吻合口狭窄或渗漏。  
   - 注意保护肠管血供,避免过度游离导致缺血。  
   - 合并肠系膜切除时需谨慎,以防影响吻合口愈合。

2. 术后恢复阶段  
   - 早期(1-3天):关注疼痛与水肿,可通过冰敷缓解。  
   - 中期(1-4周):逐步恢复活动,避免剧烈运动,监测钛钉脱落情况(若使用部分吻合器)。  
   - 远期(3-6个月):疤痕软化塑形,需定期内镜随访评估复发。

四、争议与未来研究方向
1. 技术标准化争议  
   目前改良Kono-S的缝合步骤尚无统一标准,例如是否需联合肠系膜切除或生物补片加固仍存争议。

2. 长期疗效验证  
   现有研究多聚焦短期(1-2年)复发率,需更多长期随访数据确认全缝合技术的优势。

总结
体内全缝合改良Kono-S吻合术通过优化缝合方式与减少异物依赖,为CD患者提供了潜在更优的手术选择,但其临床优势需进一步验证。未来研究应关注技术标准化、患者分层管理及多模式治疗(如联合生物制剂)的协同效应。
您需要登录后才可以回帖 登录 | 注册

本版积分规则

丁香叶与你快乐分享

微信公众号

管理员微信

服务时间:8:30-21:30

站长微信/QQ

← 微信/微信群

← QQ

Copyright © 2013-2026 丁香叶 Powered by dxye.com  手机版 
快速回复 返回列表 返回顶部