|   图 1
 胆囊在三个部位的 VTI 图像(a)胆囊底、(b)胆体和(c)胆囊颈部,胆囊颈部有 E1 级粘连。VTI:虚拟触摸成像
 
 
   图 2
 术中胆囊体和胆囊底无粘连视图
 
 
   图 3
 (a)胆囊结石和胆囊淤泥的超声图像,壁厚 4.5 毫米。 (b) 胆囊底部 VTI 图像,无粘连,胆囊体部有粘连。VTI:虚拟触摸成像
 
 
   图 4
 术中视图显示胆囊体与十二指肠粘连 (*),胆囊底部无粘连
 
 
   图 5
 (a) 胆囊体部 VTI 图像,胆囊壁僵硬 (b) 胆囊颈部 E2 粘连。 VTI:虚拟触摸成像
 
 
   图 6
 胆囊颈部粘连的术中图像(包含图片、插图等的外部文件。
 
 
   图 7
 (a) 胆囊结石的超声图像(b 和 c)胆囊体部和颈部两处粘连 E2 的 VTI 图像。VTI:虚拟触摸成像
 
 
   图 8
 胆囊体部和颈部粘连网膜的术中图像(包含图片、插图等的外部文件。
 
 
   图 9
 III b 类病例显示胆囊微结石的超声图像,胆囊壁增厚 3.3 毫米
 
 
   图 10
 同一患者的 VTI 图像,胆囊体部三处粘连,粘连致密,E4 级。VTI:虚拟触摸成像
 
 
   图 11
 胆囊体部粘连致密的术中视图。(包含图片、插图等的外部文件。
 
 
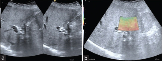
   图 12
 ADS III c 类患者(a)超声图像胆囊收缩且有结石 (b) VTI 图像上可见 E3 粘连。VTI:虚拟触摸成像
 
 
   图 13
 同一患者的术中图像显示胆囊被埋藏粘连
 |